神经鞘瘤是一种比较常见的良性颅底肿瘤,起源于沿小脑和脑干的脑神经鞘。常见的是第8脑神经前庭神经鞘瘤(又称听神经瘤)和第5脑神经三叉神经鞘瘤。
三叉神经鞘瘤严重吗?三叉神经鞘瘤一般预后较好。但如果肿瘤体积较大、位于脑干旁压迫到脑干,手术难度系数和面临的风险则也是十分巨大的,对于神经外科医生都是不小的考验。
INC世界神经外科顾问团成员William T.Couldwell教授在其《Skull Base Tumors:Surgery Perspective》论文中分享了这样一则压迫脑干的巨大三叉神经鞘瘤全切手术案例。

脑干旁巨大三叉神经鞘瘤手术全切过程
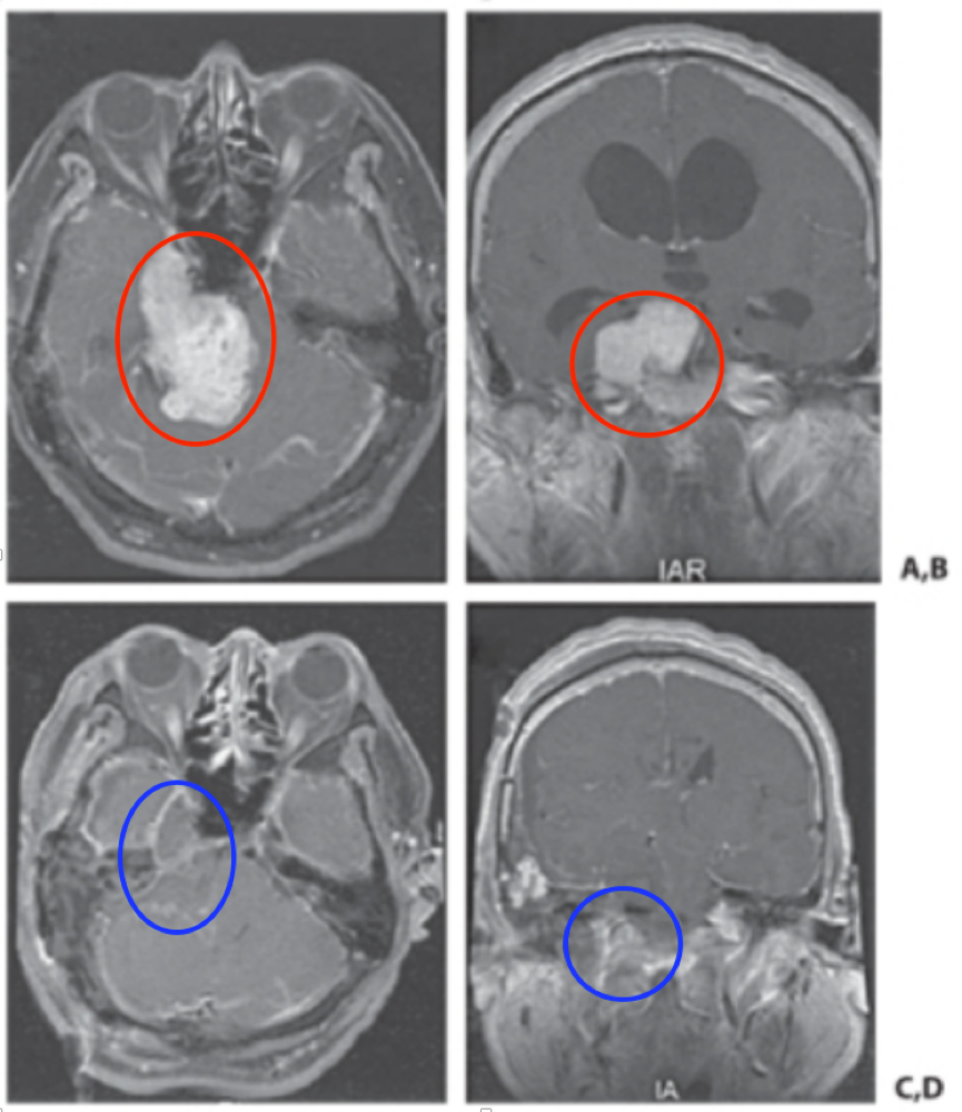
术前情况:一名54岁男士因越来越严重的走路不稳、突发眩晕发病,后就医发现脑干旁长了一个巨大的三叉神经鞘瘤,术前MRI肿瘤呈现为“哑铃型”。
手术过程:由于肿瘤压迫到脑干,且横跨前、中颅窝,手术挑战极大,易损伤神经或者肿瘤残留。一次性全切手术难度和风险加大数倍,患者询问了多家医院,其均表示难以治疗。
后在William T.Couldwell教授及其手术团队的共同合作努力下,最终确定了以岩骨联合入路来实现肿瘤的完全切除,患者的三叉神经鞘瘤得以顺利全切,术后MRI显示完全切除。

(A、B)术前MRI显示一个巨大的三叉神经鞘瘤伴脑干压迫,(C,D)术后MRI显示完全切除。
术后情况:患者没有出现术中副作用,术后无明显并发症,3年后复查无复发。
得了三叉神经鞘瘤如何应对?
三叉神经鞘瘤的首次治疗选择尤为重要,如果选择了欠妥当的治疗手段,不但不能解决患者的病痛,还会增加后续治疗的难度。治疗策略主要是根据患者的年龄、症状的类型与严重程度、以及肿瘤的大小所决定。
早发现早治疗也十分关键,因为当三叉神经鞘瘤长大后,会增加手术难度,同时也会对周围组织造成压迫,从而进一步产生相关症状,比如面瘫、走路不稳、听力下降等等。
对于体积较大的三叉神经鞘瘤,手术还是很具有挑战性,这是用于三叉神经的解剖特点所决定的。三叉神经起源于脑干,跨越多个颅底孔道,分布范围深在,周围毗邻脑干、海绵窦、颈内动脉及多条颅神经。三叉神经鞘瘤手术方式包括前方入路、侧方入路、后方入路、硬膜下入路、硬膜外入路及硬膜间入路,术式较为复杂,须根据肿瘤的大小及部位等因素决定,一般对手术设备及主刀医生的技术要求较高。
Couldwell教授:颅底肿瘤手术的未来
对于颅底肿瘤手术,William T.Couldwell教授表示,颅底肿瘤经常与周围的神经血管结构密切相关,这使得完全切除变得困难。由于颅底肿瘤可以扩展到邻近的腔室,颅内和颅外结构都可能受累。因此,需要一种多学科的方法来进行治疗。

由于过去二十年来显微外科技术、现代颅底入路、电生理监测和神经影像学等方面的进步,许多曾经被认为无法获取和无法切除的肿瘤可以通过保留神经结构安全地切除。
显微手术应用颅底技术最大限度地提高了手术视野,最大限度地减少了脑萎缩,为解剖提供了多个手术角度。
近年来,无框架立体定向术和内镜技术的应用进一步促进了现代颅底手术的发展。
颅底肿瘤手术切除的主要目的是在治疗患者病理的同时保持神经功能。最终的目标是以最小的发病率和死亡率的全肿瘤切除。
- 文章标题:三叉神经鞘瘤严重吗?压迫脑干的巨大肿瘤全切记录
- 更新时间:2025-11-02 11:23:42
400-029-0925


