枕骨大孔区的脑肿瘤长期以来一直是外科医生的难题,他们不仅面临诊断困难,还面临危险肿瘤切除的技术障碍。历史上,手术往往以呼吸衰竭和死亡告终。例如,在1954年的一系列研究中,74名患者中有34名术后死亡,大多数是由于呼吸衰竭。然而,随着核磁共振成像和显微外科技术的出现,以及对局部解剖学的了解,外科手术的结果有了很大的好转。

枕骨大孔区出现了一系列恶性和良性肿瘤。它们总共占全部脊柱肿瘤的5%和颅内肿瘤的1%。将枕骨大孔区的全部肿瘤分为轴内、髓外和硬膜外肿块是有用的。每一个位置都与一组特定的肿瘤和不同的位置关系相关联,这就提出了独特的外科手术考虑。
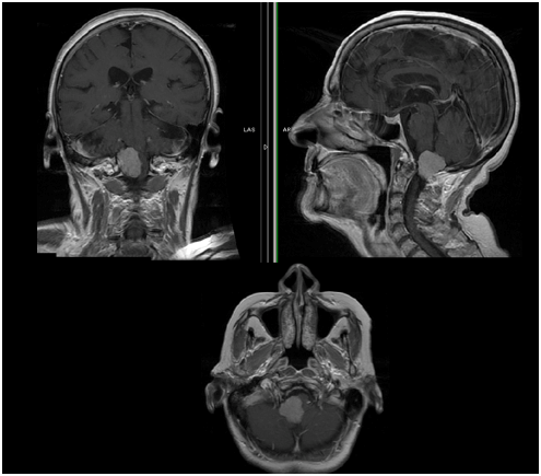
超过90%的枕骨大孔区肿瘤是髓外硬膜内肿瘤,较常见于与脊髓相关的腹外侧。这些肿瘤大多数是脑膜瘤和神经纤维瘤,前者比后者更常见。轴内肿瘤(如脑干胶质瘤)和硬膜外肿瘤(如脊索瘤)占枕骨大孔区肿瘤的不到10%。
这些肿瘤的外科治疗结果多年来有了很大的好转,因为随着前沿的显微外科技术、术中监测和枕骨大孔解剖的详细知识的出现,这些病变可以进行顺利的外科切除。考虑到枕骨大孔区的不同病理解剖结构以及各种手术方法的优缺点,外科医生需仔细选择合适的手术方法。
枕骨大孔区肿瘤历史:手术方法不断好转,死亡率降低
hallpeau在187410年一次报道了枕骨大孔区肿瘤,当时的病例报告是一名50岁的妇女,她表现为痉挛性上肢无力,并发展为伴有脑干体征的四肢瘫痪。病人较终死于呼吸衰竭。尸检发现枕骨大孔肿瘤,“小栗子大小”,压迫两侧脊髓外侧索。
虽然早期手术切除枕骨大孔肿瘤的尝试遭遇了灾难性的后果,埃尔斯伯格和施特劳斯成功地切除了一名36岁的妇女的枕骨大孔脑膜瘤,她表现为布朗-塞卡德综合征。尽管术中有几次呼吸衰竭,但病人术后神经功能完全恢复。在1929年的报告中,一次对枕骨大孔肿瘤进行了系统的评估。
在他们1938年的经典论文中,库欣和艾森哈特根据枕骨大孔肿瘤的主要解剖位置和相关的临床症状,将其分为颅脊髓孔肿瘤和脊髓孔肿瘤。此后,文献报道了数例枕骨大孔肿瘤患者,其预后逐渐好转。
枕骨大孔区脑膜瘤是枕骨大孔区肿瘤中比较常见的一种脑瘤。枕骨大孔区肿瘤的相对少见性掩盖了其临床重要性。与其他中枢神经系统肿瘤相比,枕骨大孔区肿瘤很少发生:它们仅占全部脊柱肿瘤的5%和全部颅内肿瘤的1%。仅考虑脑膜瘤,发生在枕骨大孔区的仅占脑膜瘤的1.2%至3.2%。
枕骨大孔区脑膜瘤如何治疗?显微外科手术顺利全切,延长生存期
枕骨大孔区脑膜瘤由于其位置、与神经轴和下颅神经以及与椎动脉(VA)和分支的密切关系,无疑是一种具挑战性的病变。此外,当发现这些肿瘤时,由于其生长速度慢、进展缓慢、诊断困难,从一个症状开始间隔时间长,在这个水平上蛛网膜下腔宽,这些肿瘤往往很大。众所周知,其他几个因素与较高的发病率相关,如肿瘤位置、肿瘤侵袭性、硬膜外扩张、VA包膜、蛛网膜鞘缺失以及复发病灶的粘连。
在处理脑膜瘤病变时,对偶发性脑膜瘤的自然史及其评估性生长因子的了解重要。大多数IDM随着时间的推移保持稳定,因此可以通过密切跟进保守管理。当病变出现症状或持续生长时,建议进行介入治疗。为了达到完全切除的目的,显微外科手术是优选治疗方法。GKRS是一种替代治疗选择,适用于医疗条件差的老年患者。当今神经外科手术技术飞速发展,以高科技显微镜、术中核磁、术中神经导航等多台高科技复杂仪器辅助下的显微外科手术以其微创、顺利性高、准确高效等优势在神经外科领域内备受青睐,而巴特朗菲教授正是这一领域较为擅长的国际颅底肿瘤手术教授。
INC国际神经外科医生集团旗下国际神经外科顾问团(WANG)成员、国际神经外科联合会(WFNS)教育委员会主席、国际颅底肿瘤手术教授德国Helmut Bertalanffy(巴特朗菲)教授关于枕骨大孔区脑膜瘤的论文交流:Microsurgical management of ventral and ventrolateral foramen magnum meningiomas

在巴特朗菲教授一篇关于枕骨大孔腹外侧脑膜瘤手术切除的论文中很好地证实了显微外科手术切除腹侧及腹外侧大孔脑膜瘤是一种顺利、值得的手术方法。该论文报告了19例经背外侧枕下入路手术的大孔脑膜瘤患者的经验,每一个病例中都实现了肿瘤的完全切除,通过案例术后效果跟踪,巴特朗菲教授强调了这些病变的显微外科手术切除意义包括两个重要方面,一是基于每个患者的显微解剖细节能够有细致和个性化的术前手术方案定制,这使得手术的顺利性和准确度大大提高,二是在过去的5年里,这些病例都没有死亡,也没有神经并发症,这种效果不论是对于医生还是对于患者来说,无疑都是振奋人心的。
对于想出国看病、追求更好治疗效果的神经外科患者,INC作为一个专注于神经外科领域的专家学术交流的医生集团。除了不断组织多场国际规格神经外科学术交流,推动国内外优质神经外科专家之间的互动交流外,对于想寻求国际颅底肿瘤手术教授巴特朗菲教授及其所在医院的国际前沿治疗的脑膜瘤患者,可通过INC国际神经外科医生集团获得国际远程咨询及出国治疗的相关帮助。
- 文章标题:枕骨大孔区脑肿瘤的较大挑战:枕骨大孔区脑膜瘤的治疗
- 更新时间:2020-03-03 20:33:51
400-029-0925




