视力减退就是眼睛出了问题吗?
一位60岁的陈女士所遭受的困扰,她被视力减退折磨将近2年了。起初陈女士以为自己岁数大了,所以没有在意。
可是后来,去医院进行了相关的检查,才发现问题不在眼睛上,原来是脑子里长了肿瘤。这到底是怎么回事?
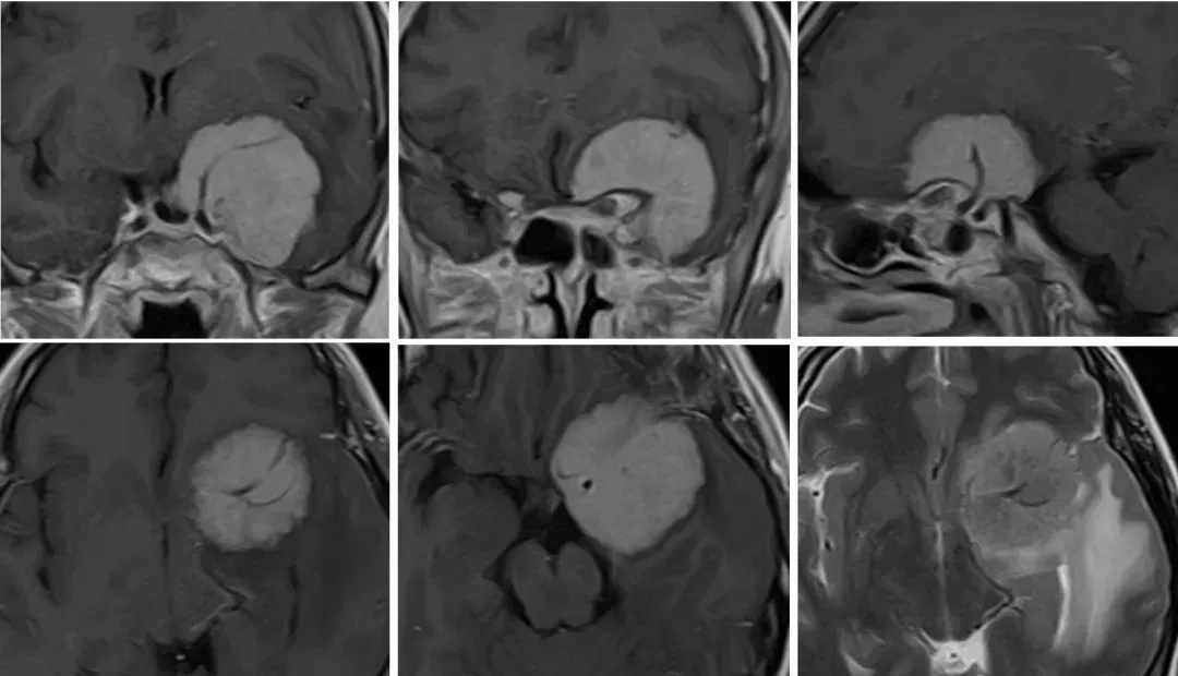
视力不断下降,以至于右眼失明,仅残存微弱的光感。经医生检查发现,陈女士“视力下降、视力减退明显伴视野缺损”,被确诊为前床突脑膜瘤,且肿瘤比较大。
什么是前床突脑膜瘤?它引起的视力减退又有什么特点?
前床突脑膜瘤(anterior clinoidal meningioma,ACM),即蝶骨嵴内侧型(床突型)脑膜瘤,通常归类于鞍旁脑膜瘤或蝶骨嵴脑膜瘤,起源部位很难确定,有时会与起源于鞍结节、鞍膈、视神经管的脑膜瘤相混淆。ACM通常位于前床突及蝶骨嵴内侧1/3,由于肿瘤倾向于向前床突及蝶骨嵴外侧延伸,巨大ACM会侵犯颈内动脉及其分支、海绵窦等重要血管结构,同时肿瘤与视神经、动眼神经的紧密关系更增加了手术难度。尽管颅底显微外科技术进展迅速,但如何完整、安全地切除ACM对于神经外科仍然是一个巨大的挑战。
INC国际神经外科医生集团旗下世界神经外科顾问团(WANG)的专家成员等共同撰写的【前床突脑膜瘤的外科治疗:EANS共识】中,也进行了详细的阐述。
前床突脑膜瘤临床表现
·常见的临床表现是视觉障碍和头痛。
一般情况下,当出现了视力问题,首先想到的是眼睛是不是出了问题。而前床突脑膜瘤引起的视力下降,通常是由于随着肿瘤的增大,压迫视神经,相应的神经功能也会逐渐减退。从开始的视物模糊、渐进性发展为光感消失、甚至只能看见手指,以至于失明。
其他临床症状通常与肿瘤的大小及其波及部位有关:
·肿瘤延伸至海绵窦区域可能导致相关的颅神经病变。
·肿瘤延伸至颞中窝,可压迫颞叶引起癫痫发作,甚至可压迫脑干,导致偏瘫。
·部分伴有明显的蝶翼骨质增生的患者可能伴有眼球突出和眶痛。
与所有脑膜瘤一样,前床突脑膜瘤在女性中更为常见。
前床突脑膜瘤诊断
术前CT可以检测肿瘤内钙化的存在,预测手术时是否会出现更坚固和纤维状的肿瘤。骨CT还可以添加关于肿瘤起源部位骨质增生的有用信息,该部位的骨质增生程度从轻微到严重不等。此外,它还提供了关于前床突解剖、其气化、颈动脉床突孔的存在和周围骨结构的重要信息。现在常规进行对比增强MRI,以研究肿瘤与周围解剖结构、视管和眶上裂侵犯、血管包裹和海绵窦侵犯的关系。肿瘤体积测量通常有助于顺序评估非常小的肿瘤的手术适应症,也有助于评估手术和/或放射治疗的疗效。
文献支持使用完整的术前神经放射学检查,包括MRI、CT扫描、CTA和/或MRA。高质量的T2和T1成像技术(CISS和VIBE)可用于增加视神经管和海绵窦内肿瘤扩展的可视化。在目前的实践中,可以在选定的情况下考虑DSA。(C级)

为什么要进行神经眼科评估?
由于肿瘤与视神经的密切关系,绝大多数患者(>60%)在诊断时视力受损。常见的症状是单眼视力缓慢下降(>80%的病例),超过三分之二的患者表现为已经严重受损的视力。潜在的病理生理机制除了与肿瘤压迫有关外,还与慢性缺血有关。术前视觉状态、症状持续时间、病变大小和对颈内动脉(ICA)及其分支的粘附性已被证明是术后视觉结果的重要决定因素。不到一半的患者(48%,95%CI 38.6–57.4%)在前床突脑膜瘤手术后观察到综合视力改善。这可能是由于肿瘤与视神经血管形成的密切关系以及与术中操作影响到视神经。
考虑到视力损伤的发生率很高,我们建议在手术前和手术后3个月(如果有新的缺陷,则更早)进行详细的神经眼科检查,包括视力、视野检查、视眼底镜检查和光学相干断层扫描(OCT)。(C级)
前床突脑膜瘤分类
根据对手术结果和对肿瘤起源部位和肿瘤与颈内动脉及其分支的粘附性的观察,即肿瘤和血管之间是否存在蛛网膜界面(蛛网膜界面是否存在取决于肿瘤起源的部位及肿瘤与颈动脉池外的很短的硬膜内颈动脉段的关系),Al-Mefty将前床突脑膜瘤分为三型。这种分类已被广泛接受。
Al-Mefty提出关于前床突脑膜瘤的分型。
Ⅰ型:近侧起自颈内动脉池末端的、直接包绕颈内动脉的蝶骨嵴内侧脑膜瘤归为Ⅰ型;Ⅰ型前床突脑膜瘤位于蛛网膜外,更容易与颈内动脉相粘连,手术更难切除,肿瘤的次全切除和复发率更高。
Ⅱ型:起源于床突的幕上部分、肿瘤与颈内动脉间有蛛网膜者为Ⅱ型;Ⅱ型肿瘤被动脉池周围蛛网膜包裹,这阻止了与颈内动脉外膜之间紧密粘连。这使肿瘤更容易与颈内动脉壁分开,也更容易做到全切除,复发率较低。
III型:起源于视神经孔区域并向视神经管延伸,与颈内动脉间有珠网膜相隔,但和视神经、视交叉间无蛛网膜相隔。由于它们在视神经管区域内的生长模式,这些肿瘤在早期就有症状,在它们变得很大之前就被诊断出来,这与I型和II型肿瘤不同。
注意:决定切除质量和术后并发症的主要因素似乎是肿瘤与血管外膜和海绵窦浸润之间的密切关系。鼓励在描述肿瘤时考虑这些细节。(C级和专家意见)。
前床突脑膜瘤外科技术
前床突磨除技术
前床突磨除技术是目前治疗前床突脑膜瘤的重要技术之一,具有显著优势,脑膜瘤的早期断流术、早期视神经减压、减少视觉通路的操作以及ICA和视神经的早期识别,减少了损伤这些结构的可能性。此外,除了增加从颈内动脉腔中切除肿瘤的途径外,它还可以提供进入颈内动脉床状段的途径,用于近端控制。
硬膜外前床突切除术的适应症和优势有:
INC旗下世界神经外科顾问团成员,Dolenc入路创始者、海绵窦手术开拓者Vinko Dolenc教授等人在1985年首创硬膜外前床突切除术联合远环游离的新型硬膜切口术,Dolenc入路成为处理蝶-岩-斜区病变的高效、安全的手术入路。


图:1983年的第一篇文献——Dolenc技术的提出
1.在硬膜外间隙对蝶骨嵴内侧部和前床突进行充分骨质磨除,硬脑膜起到了保护硬膜内神经血管结果的作用。
2.对于有适应症的病变,磨除的技术和范围很少有变异。
3.该技术尤其适用于蝶骨嵴内侧型脑膜瘤,术中早期即可实现控制肿瘤基底和视神经减压的目的,可切除肿瘤浸润化的前床突,而对视神经的早期减压也可减少在处理肿瘤主体过程中对神经的牵拉损伤。
4.该技术也是经硬膜外中颅底入路处理海绵窦病变的步骤之一。
硬膜内前床突切除术的适应症和优势有:
1.该技术需要切除的前床突骨质较少,但磨除骨质时,有损伤周边硬膜内结构的风险。
2.对于有适应症的病变,磨除的技术和范围有很大的选择性。
3.该技术适用于眼动脉和床突旁动脉瘤的夹闭,磨除范围可根据实际需要而定。由于直视硬膜内结构,故可避免导致动脉瘤术中破裂的操作。前床突部分切除术在处理近端后交通动脉瘤时也是必须的。
肿瘤质地一致性是影响肿瘤全切的一个众所周知的决定因素
由于肿瘤与颈内动脉、其分支和视神经的密切关系,这一因素对可切除性有很大影响。主要是纤维化和/或钙化的肿瘤因此构成了重大的外科挑战,并且很容易成为次全切除的决定因素。
海绵窦侵袭性肿瘤可以全切吗?
脑膜瘤的理想治疗方法是安全全切。然而,在颅底并不总是可行的,尤其是对侵入海绵窦的肿瘤。在1/3的前床突脑膜瘤中,海绵窦的侵袭是限制切除范围的主要因素之一。系列报告说,次全切复发率约为60%,而全切除术的复发率约为5-10%。尽管在1980年代,Vinko Dolenc教授开拓性的对海绵窦进行显微解剖学研究之后取得了巨大成就,但侵犯海绵窦的肿瘤的总切除率与术后神经缺损和死亡率仍高。

图:1985年的第二篇文献,是整个Dolenc入路体系非常重要的一篇,提出了硬膜外前床突切除术,以及特殊的硬膜切开、远环打开的方法,此为Dolenc入路的核心步骤,可以避免海绵窦区病变手术时引起的颅神经、血管损伤,减少并发症。
为了减少治疗后的神经功能缺损,最近关于侵犯海绵窦的病变的建议提倡联合治疗,依靠计划的次全切除术和辅助立体定向放射外科(SRS)治疗腔内残留肿瘤。
文献支持采用颅底入路进行手术,其基本原理是减少脑内回缩,避免与外侧裂相关的并发症,并对肿瘤进行早期断流和早期对受累视神经进行减压。该方法可以根据肿瘤的大小、解剖结构和大小进行调整。(C级)
前床突脑膜瘤术后放疗注意
立体定向放射治疗(SRS)是治疗斜坡脑膜瘤术后海绵窦残留肿瘤的一种很好的方法,因为它避免了海绵窦手术的发病率。(B级)。当残留肿瘤与视神经的距离太近(C级)时,可以考虑分次放射治疗(FRT)和低分割放射治疗(HRT)。
生活质量评估
视觉相关生活质量是前床突脑膜瘤手术的首要考虑,应给予更高的优先权。应告知患者潜在的视觉功能结果,包括讨论视力恶化的可能性。评估与健康相关的生活质量是前床突脑膜瘤患者管理的一项推荐要求,应在治疗前后进行评估。
前床突脑膜瘤严重吗?手术难度大吗?
大型前床突脑膜瘤是从前床突起源的,通常压迫并包裹附近的神经血管结构,如颈动脉和视神经。部分可能会长到蝶骨嵴内侧区域并与蝶骨嵴内侧脑膜瘤相混淆;当床突脑膜瘤生长到非常大时,它们可能波及到鞍旁区域,在其前后和中外侧延伸,在这种情况下,肿瘤可以横向延伸到海绵窦或向后延伸到后床突和岩斜区。

大多数经验丰富的外科医生都认为它是具挑战性的脑膜瘤之一,因为它们多包绕颈内动脉(ICA)及其分支大脑中动脉(MCA),并侵入海绵窦和视神经管。在很多情况下,肿瘤与颈动脉紧密黏附,因此即使在经验丰富的手中也很难完全切除肿瘤。
▼前床突解剖结构——前床突前外下方是眶上裂(视:视神经沿着前床突的内上方穿行、动眼:动眼神经过程沿着前床突起的上外侧走行、滑车及展神经从此经过),前外与蝶骨小翼连接,前内与视神经管顶部后缘连接,内侧有颈内动脉(前床突和中床突间形成的骨桥与视柱构成一小孔,即颈内动脉穿突孔),外下侧有海绵窦(位于蝶骨体两侧)。以下图自Vinko V.Dolenc



- 文章标题:前床突脑膜瘤正在“蚕食”你的视力,如何才能挽救“失去的光明”?
- 更新时间:2024-11-29 16:36:52
400-029-0925


