1922年,神经外科之父哈维·库欣写道:“迄今为止,在整个外科领域,没有什么比成功切除脑膜瘤并随后恢复功能更令人满意的了。”将近100年后,这些话仍然适用。尽管脑膜瘤被认为是一种良性疾病,但它的出现与局灶性神经缺陷、癫痫发作和生活质量下降有关。如今的脑膜瘤手术和神经外科先驱Harvey Cushing那个时代相比已经完全不可同日而语。

镰旁脑膜瘤是一种常见的脑膜瘤,位于大脑纵裂,起源于大脑镰。与矢状窦旁脑膜瘤不同的是,镰旁脑膜瘤可完全被脑皮质覆盖,可突破大脑镰并常常呈双侧生长。与矢状窦旁脑膜瘤类似的是二者均最多见于上矢状窦中1/3(冠状缝与人字缝之间)。库欣将大脑镰脑膜瘤定义为起自大脑镰,完全由皮层覆盖,不累及上矢状窦,然而,临床上许多大脑镰脑膜瘤都累及矢状窦。
镰旁脑膜瘤通常深埋在脑实质中,这使得手术视野不能充分暴露,再加上中央沟静脉位置的影响,导致手术很困难。这种复杂性增加了术后并发症或严重后果的发生风险。因此,精准的术前评估也显得尤为重要。
大脑镰旁脑膜瘤如何诊断?怎么治疗?
大脑镰旁脑膜瘤诊断
和矢状窦旁脑膜瘤类似,镰旁脑膜瘤的临床表现主要取决于其沿大脑镰生长的部位。
中央沟附近的肿瘤可引起癫痫发作或对侧肢体感觉及运动障碍。
如果肿瘤累及优势半球辅助运动区(SMA)可引起语言障碍。
大脑镰前1/3肿瘤体积可以长到很大并引起认知障碍、头痛、视物模糊或视乳头水肿。
大脑镰后1/3肿瘤可引起视觉障碍,如同向偏盲或者幻觉。
镰旁脑膜瘤偶尔也会引起脑内、硬膜下或蛛网膜下出血。
如果患肿瘤位于人字缝与冠状缝之间,则会显著增加肢体感觉障碍或肌力障碍的发生风险。
罕见情况下肿瘤可仅引起单一的对侧下肢无力。注意不要与脊髓神经根受压引起的功能障碍相混淆。上运动神经元体征(可能很细微)以及肌无力分布范围(与个别神经根受压引起的肌群受累无关)可用于两者的临床鉴别。
大脑镰旁脑膜瘤评估
磁共振(MRI)可见双侧半球间以大脑镰为基底伴脑膜尾征的轴外肿瘤。T2加权像可用于评估大脑前动脉末端及其分支的分布。脑实质水肿意味着软脑膜受侵犯,与术后神经功能障碍相关。
MR或CT静脉造影可用于评估上矢状窦受侵犯或闭塞程度以及明确大的矢状窦旁桥静脉及其属支位置。这些静脉的位置可用于指导手术入路,以确保在大脑半球间获得足够的手术空间抵达肿瘤。体积较大的肿瘤经常包绕胼周动脉及胼缘动脉,术前应行CTA鉴别这些被包绕或推移的重要血管。
需要与镰旁脑膜瘤鉴别的病变主要有转移瘤、骨软骨瘤及软骨肉瘤。

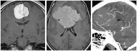
图2.不同体积的镰旁脑膜瘤。CTA显示胼周动脉及胼缘动脉被体积巨大的肿瘤包绕。
大脑镰旁脑膜瘤手术目标
镰旁脑膜瘤大多埋藏在大脑半球纵裂中,位置较深,肿瘤较小时一般不引发明显的临床症状。因此,确诊时肿瘤体积通常相当大。尽力全切肿瘤,降低手术并发症的发生率和肿瘤复发率,是神经外科医生追求的目标。随着现代检查技术的进步和神经外科显微镜的发展,镰旁脑膜瘤手术治疗的安全性和有效性得到了显著提高。
大脑镰旁脑膜瘤肿瘤大、易复发,如何破解全切难题?
CASE 1
退休女士巨大脑膜瘤长在大静脉窦、大脑镰旁能手术吗?
术者:INC德国巴特朗菲教授
病情回顾:年过花甲的退休老师王女士本应安享晚年,却因为患上“左侧额部大脑镰旁脑膜瘤”饱受愈演愈烈的头痛、癫痫、肢体无力的折磨,保守治疗已经令她痛苦不堪,可是由于肿瘤靠近大静脉窦和运动功能区,手术难以全切,易复发,且术后致瘫风险很大(60-100%不等)。咨询国内医院虽然表示可以治疗脑膜瘤,但是每个医院给出的结论都不一样,而且多数表示位置不好,很难完全切除,容易出现后遗症和复发。
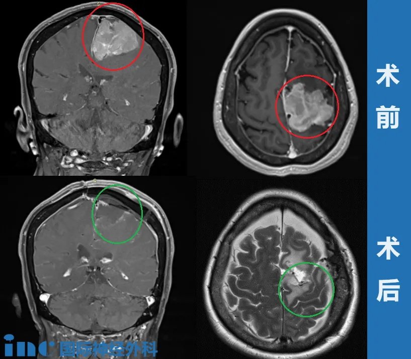
治疗过程:经过多次筛选和考量,王女士找到INC德国巴特朗菲教授。术前MRI显示左侧大脑镰旁巨大脑膜瘤,钙化和瘤周压迫、水肿效应明显。
手术过程——左侧额叶到额顶叶旁矢状面的成骨性环锯术和显微外科脑膜瘤切除术;自体骨膜移植的硬脑膜成形术。手术成功,肿瘤全切、矢状窦成功重建、运动功能区无损伤。术后影像显示肿瘤肉眼下全切,可见局部组织缺陷,水肿效应存在,被压迫正常脑组织缓慢复位。


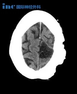
▼术后5年CT影像

术后第二天下午,王女士就能在医院护理人员的搀扶下进行走路康复训练。术后没有打抗生素,而且术后几天就可以独自走路,无需陪同。术后一周多已经恢复得和正常人一样,精神状态很好,可以在医院内自由散步,术后两周王女士顺利出院回国。
大脑镰脑膜瘤首刀、伽马刀后多发恶化,第二刀如何安全全切
术者:INC德国巴特朗菲教授
病情回顾:四十多岁赵先生因突发癫痫就医,家人带其MRI检查后发现大脑左额镰旁脑膜瘤,立即在国内某知名医院进行部分切除。术后需要反复伽马刀治疗,没想到3年后脑膜瘤恶化复发为多发脑膜瘤,复查核磁显示大脑镰前段基本均受累,并有大脑镰右侧肿瘤生长,矢状窦被累及,左侧额部凸面硬脑膜多处肿瘤生长。
治疗过程:多方查询赵先生在病友圈了解到INC德国巴特朗菲教授,于是决定咨询教授能否能够切除颅内多发脑膜瘤,在得到教授肯定的答复后,立即前往德国接受巴特朗菲教授手术。
在术中iMRI、术中神经导航等设备的辅助下,巴特朗菲教授为赵先生实施了手术,大脑镰旁及矢状窦旁的肿瘤被完全切除,并保护了正常的脑组织结构。赵先生术后第二天下床进行康复锻炼。神经功能无任何异常,术后13天步行出院。
▼赵先生术前术后MR对比

大脑镰旁脑膜瘤复发的可能原因及其治疗
对于大脑镰旁脑膜瘤,如果手术后肿瘤残留在原发部位,肿瘤会重新生长。一个原因是肿瘤深埋在大脑半球皮层下,实现根治性切除较难,这又导致肿瘤从基底复发;另一个原因是脑膜瘤本身具有侵袭性和多中心生长等生物学特性,特别是对于间变性、非典型性和恶性脑膜瘤。脑膜瘤复发的首选治疗仍是手术,术后治疗可辅以放疗。当然,影响手术与否,重要的核心因素还是:主刀医生的手术能力。
参考资料:
Parafalcine Meningioma.The Neurosurgical Atlas
Youmans Neurological Surgery
- 文章标题:大脑镰旁是哪个位置?脑膜瘤长在这里手术难度大吗?
- 更新时间:2024-11-24 17:52:19
400-029-0925



