在中国某个小城的一个班级里,有一个很奇怪的情况,在这个班上的男孩全都剃成了光头。原来是因为这个班级的老师邰慧,因为被诊断患了脑膜瘤,经过开颅手术,使她失去了一头秀丽的长发,孩子们为了安慰老师,便一起剃成了光头陪伴老师。
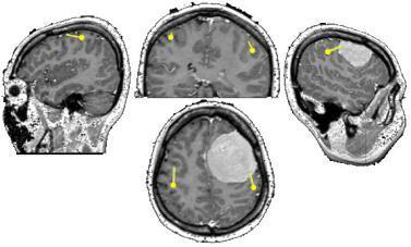
在2018年,邰慧老师因头痛、眩晕等症状,去医院检查,结果被诊断为脑膜瘤。脑膜瘤是颅内二常见肿瘤,是起源于脑膜及脑膜间隙的衍生物,大多数是良性肿瘤。国际颅底肿瘤手术教授巴特朗菲教授表示,如果将脑袋比作一个鸡蛋,颅骨相当于鸡蛋壳,脑膜就相当于蛋壳内衬的那层膜。但与鸡蛋不同的是,脑膜往往有好几层,由外向内为硬脑膜、蛛网膜和软脑膜;三层膜合称脑膜,其是重要的,主要保护人体大脑。

而脑膜上的脑膜瘤,不仅会对脑膜造成伤害,而脑膜瘤会压迫脑组织,根据其起源部位不同,受累的结构也不同,会引起相应的一些症状,如压迫到颅神经,可能引起颅神经症状,压迫视神经,可能引起视力下降,压迫嗅神经会引起嗅觉缺失,位于功能区,可能会引起肢体的偏瘫,压迫“生命中枢”脑干,还可能造成患者死亡。所以脑膜瘤即使为良性,及时治疗也是需的。
老师不愿离开讲台和孩子,选择假期手术
由于邰慧老师脑膜瘤比较严重了,对她影响已经比较大,医生说她可能从此告别讲台。那一刻,邰慧心如刀绞,因为她舍不得熟悉的三尺讲台,更舍不得与她朝夕相处的孩子们。到底是否因病离开27年的讲台、离开朝夕相伴孩子们,邰慧老师经过痛苦的抉择,较终决定利用中秋和国庆假期时间进行治疗。
对于脑膜瘤的治疗,巴特朗菲教授表示,其优选方法手术切除。随着显微手术技术的发展,脑膜瘤的手术效果不断提高,使大多数病人得以治愈。手术的目的是切除全部脑膜瘤及其来源的膜,其手术治疗原则尽可能的切除肿瘤,同时保护周围脑组织结构与功能的完整。另外巴特朗菲教授表示,对于脑膜瘤患者来说,如果有的肿瘤比较小,或者生长在脑组织深部,就需要衡量手术的风险。如果手术风险比较大,还不如暂时观察,维持现状。定期复查CT或核磁,评估肿瘤的生长速度后再处理。另外,有的脑膜瘤的生长速度本来就比较慢,不很快给患者带来不适,也不要立马手术。而是要尽可能保持较好的生活状态,暂时观察。如果肿瘤有增大,或者有进展,或者出现相关症状,要尽早手术。
上手术台前,邰慧老师提前写好了遗书
9月,邰慧被抬上生死难料的手术台。手术前,她给还在上高二的女儿写了一封长长的遗书,嘱咐女儿要考上理想大学;她还委托当医生的弟弟,如果有一天她不在了,弟弟有权代她捐献遗体,有权代她将眼角膜捐献给需要光明的孩子们。还好经过两天两夜昏迷,开颅大手术两天后,邰慧苏醒了。
虽然颅内手术风险较大,但是经过医学的不断发展,术中核磁、DTI、术中神经导航等高复杂现代化设备的发展,脑膜瘤手术风险并没有想象中的大。INC国际神经外科医生集团旗下组织国际神经外科顾问团成员、国际神经外科教授Sebastien Froelich教授表示,脑膜瘤是常见的颅内肿瘤,对于神经外科医生来说,这是一种很平常的手术,现在做脑膜瘤手术的技术已经很高,手术很成熟,其成功率可以达到90%以上。虽然脑膜瘤手术成功率很高,但是手术切除率才是其中的关键因素,脑膜瘤切除的程度是影响脑膜瘤复发的一位重要因素。切除级别越高,患者的预后才会越好,其复发率才会更低。另外Sebastien Froelich教授表示,在手术时,还需要将带脑膜瘤的病态脑膜一起切除掉,否则继续复发的几率很高。
手术后,老师戴假发重回讲台,孩子剃光头陪伴
由于脑膜瘤位于颅内,其开颅手术需要把头发剃掉才能更好地进行,于是邰慧老师一头长发及腰的头发便与她告别了。在返校前,邰慧买了几顶假发。“怕吓着孩子们,不想让大家看到我剃光头的样子,也不想大家看到手术后的伤疤。”邰慧老师说。
邰慧戴着假发站上了三尺讲台,怕捂着伤口,邰慧只能勤换假发或戴帽子来“遮掩”。几天后,邰慧的班里有个男孩剃了光头。男孩经过邰慧身边的时候,悄声说了句“邰老师,你不用戴假发也可以,我陪你一起长头发”。这句话打动了邰慧,她没想到孩子们会这么细心和体贴。更意想不到的是,接下来的几天,班里的男孩子们陆陆续续地剃了光头,二个、三个……十多个“光头男孩”出现在邰慧的班级里。 眼下,邰慧已经长出了齐耳的头发,孩子们也要在7月份毕业,即将升入初中。回望这段经历,邰慧仍旧动容。她说,就像是“种下爱,也得到了爱”,她坚守在孩子们身边,但孩子们也给了她重生的力量。
- 文章标题:女教师脑膜瘤手术后失去秀发,全班男孩剃光头陪伴
- 更新时间:2023-07-15 19:28:51
400-029-0925




