脑膜瘤是由覆盖大脑和脊髓的膜层而不是脑组织本身引起的肿瘤。肿瘤通常会持续数年而不是数周或数月,并且可以通过手术切除。从生物学上讲,大多数脑膜瘤是良性的,但有些可能具有侵略性且难以治疗,是当它们围绕神经(例如视神经,影响视力)或血管(例如从大脑排出血液的大鼻窦)时。脑膜瘤有残留就恢复发吗?在一项研究中,手术切除的脑膜瘤几乎有一半在20年后复发。这就是为什么需要定期监视的原因。尽管脑膜瘤患者远远不会完全“走出困境”,但在定期进行脑成像检查时,您可以过上正常的生活。相关阅读:一个万幸的选择--脑膜瘤患者德国治疗记
如果外科医生不能完全切除脑膜瘤怎么办?
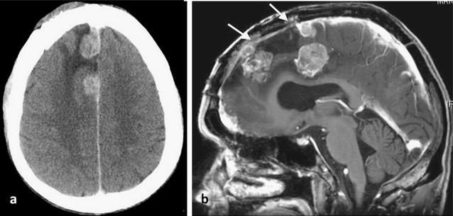
脑膜瘤手术后,您的外科医生将在手术后几天内安排术后扫描。该扫描有助于确保将肿瘤及其附着的膜(硬脑膜)完全清除。(如果不取出硬脑膜,可能会引起新的脑膜瘤。)
完全清除脑膜瘤和硬脑膜是避免复发的更佳方法。但是,即使完全切除了原始肿瘤,脑膜瘤在15年后仍会复发的概率为24%至32%。在大约95%的复发中,新的脑膜瘤在与以前相同的位置上生长。
在某些情况下,无法完全切除或切除。如果未完全清除脑膜瘤肿瘤,则很可能在10到20年内重新生长。
脑膜瘤切除程度和复发的那些关系
评估复发的更佳方法是1957年的Simpson分级系统,该系统用于评估切除的完整性,该系统评估静脉窦的侵袭,相邻硬脑膜中的肿瘤结节以及脑膜内皮细胞对骨的浸润是复发的主要原因。辛普森将切除范围归类为:1级,完全切除;2级,硬脑膜附着物完全凝结清除;3级;完全切除,硬脑膜不凝结,无累及的窦或骨肥大的切除;4级,小计切除;和5级减压活检。

辛普森所指的复发率分别为1级9%,2级16%,3级29%,4级39%和5级100%。
从那以后,其他人使用辛普森分级系统分析了他们的序列,并得出结果表明,还有更多因素可以引起复发的考虑。颅骨切开术部位周围残留的肿瘤性硬脑膜细胞被认为是这些因素之一。另一项研究支持硬脑膜上残留的脑膜瘤细胞可能是某些病例复发的原因,因为在没有脑膜瘤的患者中未发现这些细胞。评估复发的另一个重要因素是肿瘤周围脑水肿。水肿可能与脑膜瘤的侵袭性有关。由于新血管形成的增加,血管内皮生长因子已与复发外观相关。复发的另一个可能因素是组织病理学检查中有丝分裂的数量增加,这与肿瘤恶性肿瘤有关。细胞增殖的指标,例如Budr(溴脱氧尿苷),MIB-1 / Ki-67和MMP-9(基质金属蛋白酶)已与脑膜瘤恶性肿瘤相关。一些外科医生支持保留在蛛网膜中的肿瘤细胞负责肿瘤的再次出现。
如表所示,在全部研究中复发百分率都不相同。

脑膜瘤复发率不同研究之间的比较
在我们的研究中,总复发百分比为21.5%。术后三年的复发率为22.9%,五年为23%,十年为25.5%。
根据Simpson评分系统,复发率在切除范围内具有显着意义(p <0.01)。对于全切除病例,观察到复发率为13.8%。切除不完全的患者总复发率为46.7%(2级:29.6%,3级:56.3%,4级:51.3%,5级:100%)。
我们的结果显示,与每个切除级别的Simpson复发率相比,下降显着。我们仅可以假设研究所的外科医生的手术记录不准确,并且外科医生高估了每种情况下的肿瘤切除程度。另一方面,如表所示,与其他研究相比,我们的系列具有相似的复发率。
脑膜瘤的等级与复发机率有什么关系?
高达90%的脑膜瘤为1级。这意味着在显微镜下,肿瘤细胞呈惰性(缓慢生长),并且肿瘤没有扩散。非典型或间变性脑膜瘤倾向于累及大脑。它们可以复发并且还可以具有坏死(肿瘤内死细胞的重要),这是恶性特征。这些肿瘤由快速分裂的细胞组成,说明它们的快速复发。复发两次以上的脑膜瘤更可能是较高的等级。有些甚至可能是恶性的。
脑膜瘤复发管理
INC国际神经外科医生集团表示:脑膜瘤一旦复发,基本与治疗初始肿瘤相同的选择:监测,通过相同或不同方法重复进行手术切除,立体定向放射疗法( SRT)或放射外科手术(SRS),辅助医学疗法,或者在许多情况下,这些疗法的某种组合。决策过程应根据患者的年龄,合并症,复发部位,肿瘤组织学以及他们先前的手术和非手术治疗来个性化。例如,先前曾没有使用SRT或SRS的情况下已消沉的具有颅神经或血管投资的脑膜瘤,现在表现出进行性生长,可能较好单独使用SRS或SRT进行治疗。相比之下,逐渐发展的,先前已行手术的鞍旁脑膜瘤(通过侧入入路)伴有新的脑干压迫,较好采用鼻内斜肌骨减压和肿瘤减灭,然后进行影像学检查和/或SRT来治疗。在一些具有多种合并症和侵袭性,高侵袭性颅底脑膜瘤的患者中,已经有合理的手术治疗和SRS / SRT,可以考虑采用更多未经证实的疗法,例如化学疗法或激素疗法(例如米非司酮)。对患者来说,理解手术和SRS或SRT的放射线切除术是标准且行之合适的治疗颅底脑膜瘤的合适疗法也是很重要的,其他疗法如化学疗法和激素疗法也被认为是实验性的。在这些具有挑战性的患者中,给予适当的期望至关重要。
- 文章标题:脑膜瘤有残留就会复发吗?
- 更新时间:2020-01-07 17:16:45
400-029-0925


