胶质瘤,是一种起源于大脑正常胶质细胞的肿瘤。那么胶质细胞又是什么呢?如果把神经元比作各类“植物”的话,胶质细胞就是孕育植物的土壤,即,广泛分布于中枢和周围神经系统的支持细胞。

而丘脑胶质瘤,顾名思义,是一种以丘脑内或靠近丘脑的初级生长中心为特征的胶质肿瘤。这些肿瘤少见,只占儿童和年轻人脑瘤的一小部分。
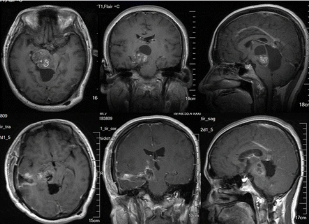
那么,丘脑又是什么呢?丘脑上的肿瘤容易治吗?
丘脑是位于脑干上方的成对结构,是身体和大脑皮层(大脑表面)之间传递感觉信息的主要处理和传递中心。它还在运动和调节睡眠状态、意识和意识方面起作用。丘脑靠近侧脑室和三脑室(脑脊液或CSF在其中流动)。两个丘脑通过穿过大脑中线的纤维相互连接。正是通过这些连接,丘脑胶质瘤可以频繁地交叉累及双侧大脑(双侧丘脑胶质瘤)。

虽然任何胶质细胞(星形细胞、少突胶质细胞或神经节细胞)都能引起丘脑胶质瘤,但多数来源于星形细胞,被称为星形细胞瘤。星形细胞瘤进一步细分为侵犯程度:
神经胶质瘤分级
I级肿瘤,也称为幼毛细胞性星形细胞瘤(JPA),是良性的,预后较好。它们是焦点,这意味着它们有明确的边界。
II级肿瘤也被认为是良性的,但更具有浸润性或弥漫性。虽然I级和II级肿瘤被称为低级别肿瘤,但II级肿瘤有望较终转变为III级星形细胞瘤。
III级(间变性星形细胞瘤)和IV级(多形性胶质母细胞瘤)的肿瘤侵袭性更强,可归为恶性肿瘤。
至于丘脑上的肿瘤容易治吗? INC国际神经外科指出,丘脑胶质瘤优选治疗方式便是手术切除,而丘脑胶质瘤位置深在、周围结构复杂,是全部中枢神经系统肿瘤中难度较高的手术之一。以往,在CT和核磁共振,特别是核磁共振问世之前,整个脑胶质瘤手术处于“黑暗时代”,因为无法准确定位。CT和核磁共振的问世大大提高了手术的成功率。
而对于丘脑胶质瘤,由于其不同部位、位置很深,所以在90年代以前,以前由于技术的限制没法做到全切,或者全切后死亡率高。一般都不赞成的手术切除,而是主张做个活检,接下来做放化疗,造成丘脑胶质瘤预后一直不好。随着医学的不断进步,到了90年代,由于显微技术和影像技术等的发展和进步,以及一些新辅助技术的应用,手术成功率和切除率大大提高,手术成了丘脑胶质瘤的优选。特别是在国际神经外科专家的手术下,即使是三级丘脑胶质瘤,也都能得到较好的治疗,比如国际颅底肿瘤手术教授巴特朗菲教授、国际神经外科学院(WANS)主席William T. Couldwell教授、国际神经外联合会(WFNS)颅底手术委员会主席Sebastien Froelich教授、国际神经外科学院院长James T. Rutka教授,他们的胶质瘤手术具有切除率较高、治愈率较高、复发率较低的特点。
丘脑胶质瘤生存期
一般经过手术切除,丘脑胶质瘤生存期一般多少呢?生命的长短,相信这是每个患者都关心的问题。相关文献对111例丘脑胶质瘤手术结果统计,其中低、高级别肿瘤患者的中位生存期分别为40个月和12个月。低度肿瘤患者1年和3年生存率分别为94.7%±3.6%和57.7%±8.1%,高于高级别肿瘤1年和3年生存率(43.2%±7.5%和6.8%±3.8%);P < 0.001)。与仅行部分切除或活检的患者相比,行全切除或次全切除患者的中位生存期更长(分别为28个月和12个月)。接受全/次全切除的高级别肿瘤患者的中位生存期比仅接受部分切除或活检及辅助治疗的患者长5.5个月(分别为14.5个月和9个月)。所以手术切除率是重要的,像在国际盛名神经外科专家巴特朗菲教授、William T. Couldwell教授、Sebastien Froelich教授、James T. Rutka教授等细致手术下,相信患者会得到更好的治疗,更长的生存期。
那么,国内胶质瘤等脑瘤患者如何得到以上国际神经外科专家的亲自咨询呢?幸运的是,这些国际盛名的神经外科专家,他们不仅限于本国患者的治疗,更是愿意救治全国际的病患。巴特朗菲教授、William T. Couldwell教授、Sebastien Froelich教授、James T. Rutka教授等国际盛名神经外科教授,他们都是INC国际神经外科医生集团旗下组织顾问团成员,而中国患者想要得到他们的咨询,仅需要通过INC中国上海代表处,就可以通过国际远程咨询得到他们的咨询意见,或咨询到他们的手术名额。
- 文章标题:较难手术之一的丘脑胶质瘤,手术后生存期有多长?
- 更新时间:2021-03-12 22:59:42
400-029-0925




