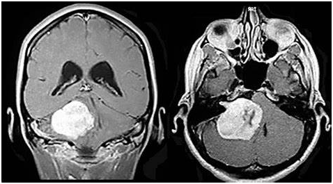
听神经瘤是一种颅内肿瘤,起源于八脑神经,称为前庭耳蜗神经,存在于内耳道或小脑桥角,位于后颅窝的颞骨岩部。它起源于由细胞构成的神经髓鞘。它从八脑神经的前庭部分开始。听神经瘤是根据大小来分类的。小肿瘤指的是小于1.5 cm的肿瘤。雪旺氏瘤属于1.5~2.5 cm的大小组。听神经瘤大于2.5 cm。
听神经瘤的平均大小是多少?
听神经瘤的平均大小一般不超过1.5厘米,属于不完整的小体积类群。这是因为听神经瘤是一种生长缓慢的肿瘤,通常是在各种脑部研究和尸检中偶然发现的。
听神经瘤有三种生长模式。一种模式是肿瘤没有生长或生长缓慢。二种是生长缓慢的肿瘤,生长速度小于0.2cm/年。三种类型是快速生长的肿瘤,其生长速度超过>1cm/年。
听神经瘤的一线治疗是等待和观察。需要持续的随访来监测肿瘤的生长速度和扩散。手术治疗也是可行的,成功的不完全治疗。由于位置困难,人们使用各种不同的方法来达到肿瘤的位置。常用的入路有经迷路入路、乙状窦后入路和中颅窝入路。

手术后听力能够恢复吗?
听力取决于听神经瘤中涉及的各种因素,首先它取决于肿瘤的大小,大的肿瘤通常与听力丧失有关。手术治疗可能能也可能不能恢复听力。不同的手术入路对术后听力预后有不同的影响。
较常用的方法是经迷路入路在大多数情况下都与听力丧失有关因为它考虑了整个肿瘤它也会带走听神经。通常是在使用这种方法之前,听力就已经丧失了。降低听力损失的努力可以在肿瘤的边缘尺寸上进行。
乙状窦后入路在听力恢复方面预后较差。这种方法的解剖过程缓慢,前庭耳蜗神经损伤严重,是导致术后听力丧失的主要原因。
中颅窝入路是治疗听神经瘤的较佳入路,是挽救患者听力的较佳途径。这意味着对周围组织的较小程度的解剖和肿瘤的精确切除可以帮助挽救听力。此外,这种方法也用于小肿瘤,由于较少涉及相关神经,也对听力有影响。这种方法通常会对切除较大的肿瘤和残留的部分肿瘤组织造成损害。所给方法的使用取决于病人的要求和外科医生的技能。
现代听神经瘤手术的目标是:肿瘤全切;围手术期死亡率低于1%;严重的颅脑并发症发生率低于1%;原有听觉功能、面神经保全率大于95%;术后住院7-10日;术后2个月恢复正常工作生活。要想达到以上目标,以下因素必不可少。
1、手术医生和手术团队的选择:鉴于听神经瘤位置的不同性,局部粘连重,手术难度大、风险高,这需要手术医生做到对血管、神经解剖知识的熟练掌握,需要手术团队甚至多学科协作制订周密的手术方案,手术时更考验的是主刀医生实打实的技术功力。
神经外科领域内,专擅听神经瘤手术切除、拥有较高程度听力、面神经保留率的国际教授以国际神经外科联合会(WFNS)颅底手术委员会主席法国Sebastien Froelich(弗劳力士)教授、国际神经外科学院院长美国William Couldwell(库德维尔)、国际神经外科联合会(WFNS)教育委员会主席德国Helmut Bertalanffy(巴特朗菲)教授较具代表性,他们目前都是INC国际神经外科医生集团旗下国际神经外科顾问团的成员。其中,德国Helmut Bertalanffy(巴特朗菲)教授则能在完整切除听神经瘤基础上,做到听神经、面神经功能的95%以上保留。
2、手术体位至关重要:恰当的手术体位不仅可以预防压力相关性损伤,还能巧妙利用重力牵引,扩大手术通道,缓解术者疲劳。目前国际上,听神经瘤有两大主流的手术体位,包括侧卧位和半坐位。其中,半坐位具有相对优势,目前在欧洲德国比较常见,但其对麻醉团队、手术团队、硬件设施都提出了较高要求,从全国际角度来看,具备摆放这个体位条件的神经外科医院并不多。而德国INI国际神经科学研究所对这个体位的摆放和麻醉团队的配合得熟练和擅长,更会熟练处理由于这个体位导致的术中状况。
3、前沿手术设备保障:要想保障手术切除的顺利顺利进行,一些国际前沿的手术设备和相关器械关键,比如术中神经导航、术中神经电生理监测等的辅助应用将对神经外科手术效果帮助较大。就拿术中神经电生理监测来说,它是利用神经电生理技术,在手术中对有可能引起损伤的神经通路进行肌电、诱发电位或脑电监测,客观显示患者脑、脊髓、颅神经功能的实时状态,不仅可以减少或避免神经结构的损伤,还可以辨别不易识别的特定神经结构和界限,从而避开重要的神经结构,或者及时修正手术步骤,降低或防止长期性神经损伤。
结论
听神经瘤通常为小型脑瘤,生长缓慢,症状轻。如果手术切除的大小已经超过了其他的治疗方式带来的预后,病人应该选择这种治疗策略。治疗听神经瘤的效果也取决于医院现有的技术和外科医生的知识。在小型肿瘤中可以保留听力,手术后使用助听器可以支持听力,但切除肿瘤远比保留一侧耳朵的听力重要得多。
- 文章标题:听神经瘤的平均大小和术后听力恢复情况如何?
- 更新时间:2020-03-24 19:07:04
400-029-0925




