听神经瘤(AN)又称前庭神经鞘瘤,是一种良性肿瘤,起源于前庭耳蜗神经的耳蜗部分,即八脑神经。听神经瘤少见,大约每10万人中就有1人患有听神经瘤。每年大约有2500个听神经瘤新病例被诊断出来,并且在较近几年发病率有所上升。它在女性中比男性更常见,常见于30-60岁年龄组。

前庭耳蜗神经从内耳到桥脑,负责听觉和身体的平衡。听神经瘤起源于覆盖神经的许旺细胞,是一种生长缓慢的肿瘤。因为它起源于八脑神经,所以是良性脑瘤。它通常发生在内耳道,并缓慢生长和扩展到脑干。听神经瘤的确切病因尚不清楚,目前发现的与听神经瘤相关的危险因素2型神经纤维瘤病,这是一种常染色体显性遗传疾病,约占听神经瘤病例的5%。
听神经瘤不太常见的症状有哪些?
毫不奇怪,随着钆增强MRI变得越来越普遍,听力正常的人发现的听神经瘤也越来越多。此外,肿瘤大小与听力状态相关性较差,因为大肿瘤患者可能听力正常,而小肿瘤患者可能在患耳中完全失聪。单侧耳鸣的存在是一个充分的理由,以评估个人的声音肿瘤。虽然耳鸣较常见的表现是听力丧失,但也有少数听神经瘤患者(约10%)在没有相关的主观听力损失的情况下寻求单侧耳鸣的治疗。
摘要在听神经肿瘤病人中,眩晕和不平衡是不常见的症状。旋转性眩晕(运动或跌倒的错觉)并不常见,在小肿瘤患者中偶尔可见。另一方面,不平衡(不稳定或不平衡的感觉)在较大的肿瘤中更常见。总的来说,如果仔细询问,大约40-50%的听神经瘤患者报告有平衡障碍。然而,只有不到10%的患者出现平衡障碍。前庭神经纤维的损害速度显然慢到可以补偿的程度。
在诊断时,50-60%的患者存在头痛,但只有不到10%的患者以头痛为主要症状。头痛似乎变得更常见的肿瘤大小增加,并成为一个突出的特点,谁发展的阻塞性脑积水相关的一个大的肿瘤。
大约25%的患者会出现面部麻木,在出现时比面部虚弱更常见。涉及牙齿、颊粘膜或面部皮肤的客观感觉减退与较大的肿瘤有关,但客观检查无法证实的主观感觉减退常见于中、小型肿瘤。角膜反射的减少通常比客观的面部感觉减退发生得更早、更普遍。虽然大约50-70%的大肿瘤患者客观地表现出面部感觉减退,但他们常常不知道,而且这是少见的临床症状。
面神经中的运动纤维可以适应大的拉伸,只要它发生得慢,而且比三叉神经的感觉纤维更能抵抗损伤。面部无力是少见的(< 1%),面部无力与一个小或中等大小的肿瘤有关,应该引起怀疑,它不是听神经瘤。其他诊断应考虑包括面部神经瘤,血管瘤,脑膜瘤,肉芽肿,动静脉畸形(AVM),或脂肪瘤。大肿瘤(> 4cm)可通过扭曲和阻塞四脑室来阻碍脊髓液通过脑室系统的流动。在本世纪的前几十年,75%的患者表现为脑积水。
听神经瘤的更佳治疗方法是什么?
由于其生长缓慢和非恶性的特性,这些肿瘤不需要任何形式的治疗。生长有时会变得缓慢,以至于人们往往在没有任何症状的情况下存活了一生,而在尸检中发现肿瘤。有时病人为其他目的接受脑部检查,偶然发现听神经瘤,而病人完全没有与肿瘤相关的症状。在这些情况下,一线治疗是等待和观察。需要持续的跟踪来监控一线的增长率和扩展。在门诊的基础上,病人每隔半年或一年定期被要求检查肿瘤的生长情况和在这段时间内出现的任何相关症状。
如果肿瘤变得足够大,需要治疗,那么手术干预是一种常见的治疗方式,以去除听神经瘤,也是一种成功的治疗形式。由于位置困难,人们使用各种不同的方法来达到肿瘤的位置。常用的入路有经迷路入路、直肠乙状结肠入路、颅中窝入路
较常用的方法是经迷路入路,因为它具有切除整个肿瘤的可行性。虽然,它与听力损失的较大情况下,是这种方法的副作用。中颅窝入路是治疗听神经瘤的更佳方法,因为它意味着周围组织的较小剥离。但是,这种方法通常会对切除肿瘤造成的影响,如果切除的是较大的肿瘤,可能会留下一些肿瘤组织。在乙状窦后入路中需要等待解剖,以确保肿瘤的完全切除。
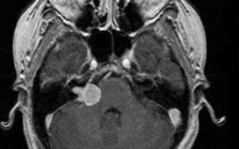
INC国际神经外科医生集团听神经瘤案例一则


手术情况总结:
1、左侧图示(红色)患者术前核磁:右侧桥脑小脑角区见一类圆形占位性病变,边界清楚, T2WI高信号,其内信号欠均匀,增强扫描后病变呈明显强化,同侧桥脑小脑角池扩大,内听道扩大,四脑室轻微受压。
2、右侧图示(蓝色)患者术后核磁:术后肿瘤切除干净,做到了全切全切,核磁未见占位性病变。与术前对比明显可见肿瘤完整切除,较大限度减少复发可能。
3、患者术前情况:右耳耳鸣3个多月,听力下降,头昏头痛加重。面肌抽搐、舌头、牙龈和脸有麻木感觉,无法正常生活。
4、患者术后情况:术后1周出院,术后2周面神经功能House-Brackman分级1级。面神经保留,没有面瘫,听力保留。术后9个月随访,恢复很好,能够正常生活。
5、手术总结:听神经瘤切除手术规模较大的挑战是确定90%以上切除率的同时,既不损伤听神经、听力,也不损伤面神经,不会发生面瘫。以上肿瘤全切术由巴特朗菲教授操作,术后听力保留较好,且无面瘫。这样的手术效果堪称,这样的技术手法和水平即使是国际神经外科医院案例中也可以作为教科书级别的案例。
结论
非症状性听神经瘤患者常采用等待治疗。初期治疗应以对症缓解为目标,给予患者支持。听力可以通过使用助听器来控制早期症状或手术后。
如果手术切除的大小已经超过了其他的治疗方式,如果病人选择这种选择。治疗听神经瘤的各种方法也取决于医院现有的技术和外科医生的知识。在小型肿瘤中,听力是可以挽救的,但切除肿瘤比挽救听力更重要。
对听神经瘤的更佳预防措施是避免辐射暴露和尽早报告儿童父母的已知遗传疾病。
- 文章标题:听神经瘤不太常见的症状有哪些?如何治疗?
- 更新时间:2021-03-23 14:19:00
400-029-0925




