2022-06-03 00:45:43
2022-06-02 23:53:16
2022-06-03 00:10:29
2022-06-03 00:09:15
2019-06-03 00:16:00
2022-06-03 00:07:38
2022-06-03 00:08:23
2019-06-03 00:20:00
2022-06-03 00:26:35
2019-06-03 00:15:00
听神经瘤一厘米需要做手术吗?术后多久听力恢复正常?听神经瘤,又称为前庭神经鞘瘤,是一种起源于听神经鞘膜的良性肿瘤。对于一厘米大小的听神经瘤...
听神经瘤会面部麻木吗?调养恢复期多久?听神经瘤,也称为前庭神经鞘瘤,是一种起源于听神经鞘的良性肿瘤,通常生长在内听道区域,靠近脑干和小脑。...
听神经瘤术后多久可以干体力活了?需要注意什么?听神经瘤手术后的体力活动恢复时间因人而异,主要受手术方式、手术并发症、个人健康状况和康复进程...
做完听神经瘤手术嘴歪怎么恢复?可以看手机吗?听神经瘤手术后的嘴歪通常是由于面神经受压或手术过程中受到干扰所致的面瘫表现,这种情况在听神经瘤...
听神经瘤手术后面瘫能恢复正常吗?针灸治疗合适吗?听神经瘤是一种发生在听觉神经上的良性肿瘤,它的生长可能会对邻近的神经结构造成压迫,导致一系...
复发性较大听神经瘤手术全切案例:较大听神经瘤手术治疗具挑战性,因为此类患者通常表现为多发性颅神经缺损和脑干受压或颅内高压症状。治疗岩骨严...
听神经瘤 是一种颅内肿瘤,起源于八脑神经,称为前庭耳蜗神经,存在于内耳道或小脑桥角,位于后颅窝的颞骨岩部。它起源于由细胞构成的神经髓鞘。它...
听神经瘤 是由八颅神经前庭部分的雪旺氏细胞引起的良性肿瘤。这就是为什么肿瘤通常被称为前庭神经鞘瘤的原因。它影响负责听力和平衡的神经。这解释...
当大多数人得知自己患有听神经瘤时,他们也被告知这个肿瘤可能涉及控制面部运动的面神经。患者开始可能会很难理解听觉神经(八根,或听神经)与面...
听神经瘤(更准确地称为前庭神经鞘瘤,也称为声学肿瘤)是由听觉和平衡神经产生的良性生长。这种神经,被称为八颅神经,通过一条小的内耳道从脑干...
听神经瘤术后面瘫如何恢复?首先可采用多种分级系统或量表对面神经功能加以评估。目前通常采用House Backmann(HB)面神经功能分级系统(表1),分别于...
听神经瘤手术后面瘫多久能恢复?作为一种颅内常见肿瘤,听神经瘤往往要通过手术进行切除,那么我们应如何评判一台手术是否成功...
听神经瘤 切除术后的听力恢复:急诊手术的意义 Hearing restoration after resection of an intracanalicular vestibular schwannoma: a role for emergency surgery?(听神经瘤切除术后...
一般来说,对于听神经瘤术后发生暂时面神经麻痹的患者,味觉紊乱或眼干的主诉并不少见。如果知道面神经没有受损,不必立即修复面神经,因为其功能有可...
听神经瘤2年后面瘫恢复,由于听神经瘤生长位置的不同性,手术一旦有所闪失,即可能造成面神经损伤,也就是医学术语上所说的面瘫。目前有许多面神经...
面神经的近端与远端振幅比是评估术后神经功能较敏感的指标,当与副神经的刺激相结合时,肌电图监测可以确定适当的麻醉深度。听神经瘤手术期间的面...
听神经瘤注意事项,面神经管或颅内肿瘤,在手术切除治疗过程中,可能导致面神经损伤,导致眼睛不能闭合、争吵倾斜等表现。这给患者带来了较大的身...
1面瘫。 NF2患者生存时间长,生存质量也值得关注。听神经瘤的主要并发症是面瘫和听力丧失。NF2患者多为双侧疾病,面瘫和听力丧失问题更为突出。对于...
1、面瘫 NF2患者生存时间长,生存质量也值得关注。听神经瘤的主要并发症是面瘫和听力丧失。NF2患者多为双侧疾病,面瘫和听力丧失问题更为突出。对于...
听神经瘤开颅手术后多久能恢复正常?听神经瘤开颅术一般需要1-2周才能恢复。皮肤切口可在1周左右拆线,脑水肿可在2周左右恢复正常。如果患者有并发症...
为了能够得到良好的治疗和恢复,以及为不同程度的预后效果做好心理准备,在不幸患了听神经瘤后,我们应了解听神经瘤面瘫的九大必知问题。...
肿瘤切除程度与面神经保护也有的关系,如果不幸术后出现面瘫,或者术前面瘫情况在术后没有得到好转,应该如何重建面神经功能呢?本期我们将带您了...
听神经瘤是临床神经外科中常见的后颅窝肿瘤。它主要起源于听觉神经,即耳蜗神经。它起源于听觉神经,会损害神经。在手术过程中,它会加重对听神经...
得了听神经瘤是什么感觉?从一开始的耳鸣、头晕或感觉耳背、面瘫,到突然发现原来是患有听神经瘤,会未及时合适治疗残留并发症,这对每个热爱生活...
耳鸣是听神经瘤常见的临床表现,约占70%,以高频音为主,促使人暴躁、焦虑,易发脾气,严重影响工作和生活中的人际关系,顽固性耳鸣在听力完全...
术后面瘫恢复过程中,面肌运动恢复良好者,约有一半患者在术后3-6个月出现恢复症状。术后1个月出现恢复迹象者,40%可达到完全恢复;而当术后4-6个月以...
肿瘤切除程度与面神经保护也有的关系,如果不幸术后出现面瘫,或者术前面瘫情况在术后没有得到好转,应该如何重建面神经功能呢?本期我们将带您了...
听神经瘤术后面瘫的处理方案制定取决于多方面因素,重点需评估面神经的解剖完整性、面瘫已发生的时长、面瘫的严重程度及神经电生理监测结果等,并...
听神经瘤术后眼睛模糊需要多久恢复? 听神经瘤需要手术治疗,因为药物治疗是无用的。如果术后眼睛模糊,考虑是视神经损伤或术后脑血管痉挛。 脑血...
听神经瘤术后面瘫的处理方案制定取决于多方面因素,重点需评估面神经的解剖完整性、面瘫已发生的时长、面瘫的严重程度及神经电生理监测结果等,并...
随着技术的发展和相关手术设备的进步,听神经瘤手术的成功衡量标准已演变为“尽可能全切”、“不面瘫”、“保留听力”三要素并存——这对神经外科...
对于听神经瘤的治疗,临床医生通常将保留面听功能作为选择治疗指征和方式的重要参考因素,充分考虑肿瘤部位、生长速度,以及患者面听神经功能情...
听神经瘤手术后恢复期 听神经瘤手术后恢复期大概在一到两周左右。 听神经瘤是神经外科常见的良性肿瘤,发生在听神经鞘上。手术后1-2周即可恢复。首...
听神经瘤术后面瘫能恢复正常吗? 听神经瘤术后发生面瘫的概率是大的,是体积较大听神经瘤,术后患者常有不同程度的面瘫,而患者术后面瘫是否能够恢...
听神经瘤术后多久恢复? 听神经瘤手术恢复期约为两周。 听神经瘤是一种常见的良性肿瘤,通常通过手术切除治疗。对于听神经瘤,术后三天内较容易急...
听神经瘤术后面瘫能恢复正常吗? 听神经瘤术后面瘫是可能恢复正常的。听神经瘤术后更容易出现面瘫,是大型听神经瘤,术后患者往往有不同程度的面瘫...
听神经瘤手术后面瘫多久能恢复? 如果听神经瘤手术后面瘫能恢复,一般会在三个月到六个月内恢复,但并非全部人都能恢复正常。 听神经瘤生长在听神...
听神经瘤手术后病人自述 听神经瘤患者自述:一直以来,听力不保、面瘫是听神经瘤手术两大可怕的后遗症,这是因为听神经瘤长在前庭耳蜗神经上,邻近...
听神经瘤开颅手术后多久能恢复正常? 听神经瘤开颅术后,患者一般需要3到6个月才能恢复,但具体因人而异。 听神经瘤是由听神经鞘异常生长引起的颅内...
听神经瘤手术多长时间可以洗头?能恢复好?听神经瘤手术后可以洗头的时间会因患者的具体情况而有所不同。通常情况下,医生会建议患者在手术后的一...
听神经瘤手术后会复发的几率大吗? 听神经瘤手术后复发的可能性主要取决于肿瘤是否可以完全切除。如果全切除肿瘤,一般不会复发。然而,对于肿瘤体...
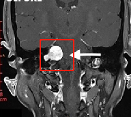
听神经瘤又称前庭神经鞘瘤,起源于八脑神经鞘,是颅内肿瘤中发病率较高的三大良性肿瘤,约占桥脑角肿瘤的80%90%。患者以听力下降、耳鸣、眩晕、耳痛...
听神经瘤手术后头晕多久恢复?听神经瘤手术后的恢复时间因人而异,头晕的持续时间也会因患者的具体情况、手术方式、肿瘤大小以及个体差异而不同。...
听神经瘤手术后恢复期现头晕?听神经瘤手术后出现头晕是一种比较常见的症状,并且在手术后的恢复期是正常现象之一。头晕可能是由手术过程中的麻醉...
听神经瘤手术后多久恢复正常说话?听神经瘤手术后的恢复速度因个人情况而异,患者通常需要时间才能恢复正常说话。下面介绍听神经瘤手术后恢复正常...
MRI的发展和普及增加了小的听觉的神经瘤(ANs)检测的几率。目前,小型听神经瘤的3种治疗方案分别是影像随访观察(等待扫描)、放射外科和/或肿瘤切除。通...
听神经瘤手术后面神经恢复要多久?听神经瘤手术后的面神经恢复时间因个体差异而异,取决于多种因素,包括手术切除的范围、神经损伤的程度、个体的...
听神经瘤手术后听力能恢复吗 听神经瘤手术后听力是否能恢复,需要根据具体情况进行分析。若患者患有听神经瘤,建议积较遵医嘱进行相应的治疗,同时...
听神经瘤术后听力会恢复吗?多久?听神经瘤手术后听力恢复的可能性和恢复的时间跨度因个体差异、肿瘤大小、位置、术前听力状况以及手术过程中对听神...
听神经瘤手术后面瘫的恢复时间因个体差异而异。恢复时间取决于手术的难度、面部神经损伤的程度以及个体的康复能力。听神经瘤手术后面瘫多久可以恢...
听神经瘤手术后能否恢复听力并无定论。手术会尽力保护听力,但对于大型瘤体,可能需要切除听神经和内耳结构,导致不可避免的听力损失。听神经瘤手...
听神经瘤手术多久可以恢复正常?听神经瘤是一种发生在听神经旁的肿瘤,它会对神经和听力功能造成程度的损害。手术是目前常用的治疗方法之一,但手...
听神经瘤手术多久恢复正常人了?听神经瘤手术后的术后恢复时间因个体差异和手术情况而异。一般情况下,完全恢复到正常状态可能需要数周到数个月的...
听神经瘤术后能恢复吗?听神经瘤手术后,患者的恢复能力以及所需恢复时间因个体差异、手术方式、肿瘤大小、位置、术中神经保护措施的合适性以及是否...
链接/Links: 北京天坛医院 | 首都医科大学宣武医院 | 复旦大学华山医院神经外科 | 脑胶质瘤 | 脑海绵状血管瘤 |