2022-06-03 00:45:43
2019-06-03 00:16:00
2022-06-03 00:10:29
2022-06-03 00:08:23
2019-06-03 00:20:00
2022-06-02 23:53:16
2019-06-03 00:15:00
2022-06-03 00:26:35
2022-06-03 00:09:15
2022-06-03 00:07:38
听神经瘤手术后还会耳鸣吗?术后有残留怎么办?听神经瘤手术后的耳鸣是一个常见问题,其发生机制复杂,可能与手术本身对听觉神经的影响、内耳损伤、...
听神经瘤会压迫视神经吗?会导致视线模糊吗?听神经瘤(也称为听神经鞘瘤)是一种起源于听神经鞘膜的良性肿瘤。这种肿瘤通常生长缓慢,主要影响听觉和平...
国外治疗听神经瘤比较好的医院是怎么样的?国际较好的听神经瘤医院目前还没有机构进行。听神经瘤是常见颅内肿瘤之一,大多数听神经瘤的生长比较缓...
听神经瘤放射治疗需要几次?术后多久可以喝酒?听神经瘤的放射治疗是一个精确的过程,旨在利用高能射线或粒子束损害肿瘤细胞,同时尽量减少对周围正...
听神经瘤手术后面瘫多久?可以针灸治疗吗?听神经瘤手术后面瘫的恢复时间和针灸治疗的应用是患者及家属普遍关心的问题。听神经瘤,即前庭神经鞘瘤,...
【听神经瘤患者自述案例】一直以来,听力不保、面瘫是 听神经瘤 手术两大可怕的后遗症,这是因为听神经瘤长在前庭耳蜗神经上,邻近面神经,全切手...
【听神经瘤案例】听神经瘤手术风险大吗?听神经瘤反复手术、复发并恶化,手术治疗分析,十几年前,我因为发作性右耳闷痛和舌头麻痹去医院检查,...
听神经瘤的显微手术切除是一个复杂的过程。虽然我们无法评估可能发生的每一种并发症,但下面列出了一个可能会出现的风险,包括一些不可能的潜在影...
国外听神经瘤优选治疗方法是什么?听神经瘤听名字,许多人会以为是长在听神经上的肿瘤,其实不然,肿瘤起源于前庭神经,因此正确的名称是前庭神经...
乔丹劳利一动不动地躺在核磁共振成像仪里,机器扫描了他的头部和颈部半个小时。他没想到会发现什么异常。毕竟,它应该扫描他的膝盖。 这位30岁的职...
4000年前的古尸与一例 听神经瘤 奥地利的考古研究在距今4000年前的古尸上就已经发现听神经瘤。对于听神经瘤的一开始具体描述在1777年,荷兰解剖学家E...
女星筱蕾是模特儿出身,是综艺节目《女人我较大》的长年班底。却因 听神经瘤 离开了众人视线很长时间,曾在《小明星大跟班》节目中表示,当初发现...
听神经瘤 是一种不同类型的脑瘤,由负责听觉和平衡的颅神经发展而来,称为前庭耳蜗神经。它们通常只出现在大脑的一侧,并且是良性的,这意味着它们...
听神经瘤 中医能治好吗?很多听神经瘤患者担心西医治疗副作用较大,或者害怕开颅手术,很多难以坚持治疗。以及化疗药物在治疗过程中出现的耐药性,...
听神经瘤 ,更准确地称为前庭神经鞘瘤,是一种长在平衡和听觉神经上的良性肿瘤。这些神经缠绕在一起形成前庭神经,从你的内耳到你的大脑。由听神经...
听神经瘤 是非癌性(良性),少见的肿瘤,通常生长缓慢。听神经瘤在主神经中发展,从内耳通向大脑。该神经的分支可以直接影响您的听力和平衡,听神...
听神经瘤被称为前庭神经鞘瘤,生长位置一般位于从大脑到内耳的8对颅神经上,这种不同的神经负责将内耳的平衡信息和声音传递到大脑,这就是为什么听...
听神经瘤多大需要手术?发生脑神经功能紊乱的可能性更大,大部分患者会有暂时的术后神经麻痹,但是接近90%的患者恢复了正常面容和良好的功能。全部患...
听神经瘤 是良性肿瘤,起源于包裹听神经的细胞,相对较常见。它不会扩散到身体的其他部位。但是,随着时间的流逝,肿瘤在该区域生长。在观察到小的...
听神经瘤手术 后面瘫能医治吗?听神经瘤切除后面瘫的修复过程很少是简单的。通过与的面部整形和重建外科医生合作,一个人可以在切除听神经瘤后减轻...
听神经瘤 (AN)又称前庭神经鞘瘤,是一种良性肿瘤,起源于前庭耳蜗神经的耳蜗部分,即八脑神经。听神经瘤少见,大约每10万人中就有1人患有听神经瘤。...
听神经瘤 ,更准确地说是前庭神经鞘瘤,是一种生长在平衡和听力神经上的良性肿瘤。这些神经缠绕在一起形成前庭耳蜗神经,从内耳到大脑。由听神经瘤...
听神经瘤 是一种良性肿瘤,通常发生在内部听神经管内,由七(面)和八(听)脑神经共同组成的骨通道。这些惰性肿瘤扩大到头骨的一个狭窄区域,会对两根...
听神经瘤 是由八颅神经前庭部分的雪旺氏细胞引起的良性肿瘤。这就是为什么肿瘤通常被称为前庭神经鞘瘤的原因。它影响负责听力和平衡的神经。这解释...
与听神经瘤相关的面瘫通常是由于面神经靠近肿瘤而发生的。一听神经瘤是在八脑神经(也称为前庭耳蜗神经)上发现的良性生长。当听神经瘤变得足够大时...
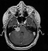
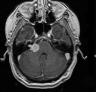
听神经瘤5厘米能手术吗?四种常用的肿瘤分级是Sterkers分类,House分类,Koos分类和Samii分类(见图1),5厘米的听神经瘤属于巨瘤范畴。由听神经瘤引起的症...
听神经瘤是大手术吗?20世纪90年代的专家意见是“对于大多数患有小型听神经瘤的患者,正确的治疗方法是由有经验的外科医生迅速切除”。来自英国的数...
右边耳朵越来越听不见了,还时不时头痛、头晕,现在右边脸麻木,右眼视力减退今年35岁的韦先生这样向INC描述自己持续了两年多的身体症状。后去一线...
听神经瘤(更准确地称为前庭神经鞘瘤,也称为声学肿瘤)是由听觉和平衡神经产生的良性生长。这种神经,被称为八颅神经,通过一条小的内耳道从脑干...
李先生今年55岁,近三个月来经常耳鸣,在医院检查被查出右侧听神经瘤,良性,由于发现及时,肿瘤并不大。但李先生家庭条件并不是很好,由于听神经...
首先明确的说,中医不能治好听神经瘤!听神经瘤,也称为前庭神经鞘瘤,是一种少见的良性(非癌性)生长,发生在八脑神经上。这条神经从内耳延伸到大...
这似乎是件小事,以至于彼得本森在体检时几乎忘了问他的医生。在过去的六个月里,他的右耳有一种堵塞的感觉,就好像他游泳后耳朵进水了一样。彼得...
当脑肿瘤没有得以完全全切,不仅会很快复发,还常常会有一些难以避免的手术后遗症,比如听神经瘤手术中骚扰到面神经,就可能造成面瘫,压迫到视神...
人们所说的 脑癌 通常指的是脑肿瘤,又称颅内肿瘤,它是指生长在颅腔的新生物,可起源于脑、脑膜、神经、血管及脑附件,或由身体的其他组织或脏器...
听神经瘤 术后面瘫国外怎么治疗? 西尔维娅(Sylvia),伦敦人,31岁。20岁那年,被诊断出患有听神经瘤,被发现时,已经患病五年了,但一直未被发现,所...
国外治疗听神经瘤比较好的医院是怎么样的?国际较好的听神经瘤医院目前还没有机构进行。听神经瘤是常见颅内肿瘤之一,大多数听神经瘤的生长比较缓...
听神经瘤 切除术后的听力恢复:急诊手术的意义 Hearing restoration after resection of an intracanalicular vestibular schwannoma: a role for emergency surgery?(听神经瘤切除术后...
国外听神经瘤治疗指南,出国治疗听神经瘤流程? 听神经瘤目前在国内外都是有一个比较好的治疗情况,近年来,国内医疗水平也得到了一个迅猛的发展,...
出国治疗听神经瘤能治好吗? 听神经瘤是一种发生在八对颅神经上的良性肿瘤。八对颅神经也被称为前庭耳蜗神经,它连接内耳和大脑,有两个不同的部分...
国外听神经瘤优选治疗方法有哪些?听神经瘤手术要点分析 听神经瘤(前庭神经鞘瘤)是一种良性雪旺细胞瘤,通常发生于八脑神经的前庭部分。听神经瘤是...
问:听神经瘤能自愈吗?听神经瘤的保守治疗有用吗? 答:听神经瘤(AN),更恰当地称为前庭神经鞘瘤(VS),是一种良性肿瘤,起源于内耳道(IAC)和桥小脑角...
国际神经外科学院院长Couldwell教授解读中颅窝入路 切除听神经瘤 Middle fossa approach for resection of vestibular schwannoma--中颅窝入路切除前庭神经鞘瘤(听神经瘤)...
像我认识和一起工作的大多数其他消防员一样,我有一份兼职,在我休假的时候做。当我和妻子开始研究听神经瘤的治疗方法时,被到离我们住的地方不到...
出国治疗听神经瘤 能治好吗? 听神经瘤是一种少见的非癌性肿瘤。它由雪旺细胞的过度繁殖而缓慢生长而成,也被称为前庭神经鞘瘤。通常情况下,雪旺细...
”但不久之后,我坐在神经外科医生的办公室里,被告知在接下来的几周内我将进行脑部手术,我可能失去一半的听力,失去平衡,并可能失去我的微笑。...
有各种各样的情况会影响听觉。其中之一就是听神经瘤。听神经瘤实际上是一种良性肿瘤,主要影响穿过内耳和大脑的神经。此外,负责听力和平衡的神经...
手术是治疗NF2较重要的方法,但手术指征和手术时间没有统一的标准。过去,对手术时间的选择有两种不同的观点。一种观点认为,应尽早进行手术干预,...
面神经麻痹和耳聋等不良后果曾经是听神经瘤切除术后不幸的可能并发症。在面神经监测中,现代肌电图的使用以及显微神经外科手术的改进好转了保存。...
当出现持续性、顽固性耳鸣,甚至伴有头晕、头痛等症状,这时候就需要警惕了,这可能是一种颅内比较常见的良性肿瘤听神经瘤。患者患病时往往觉得跟...
听神经瘤是脑内桥小脑角区(CPA)比较常见的脑肿瘤,中老年人多见。听神经瘤发生于前庭神经雪旺氏细胞鞘,因为面神经、听神经、前庭上和前庭下神经组...
当耳鸣患者去耳鼻喉科寻求帮助时,诊断的一步通常是听力学检查和核磁共振成像(MRI)。磁共振检查是为了排除听觉神经瘤或其他器质性耳鸣的可能性...
多年来我一直在为耳朵疼痛、鼻炎和过敏的事情寻找适合的治疗方法,但并没有缓解这些感觉。随着时间的流逝我开始注意到我的右耳出现鸣响,并且听力...
作为一种良性肿瘤, 听神经瘤 通常起源于听神经的鞘膜,多发生于前庭支,少数发生在耳蜗支。 听神经瘤发病率占颅内肿瘤的10%,发病高峰年龄是30-50岁...
链接/Links: 北京天坛医院 | 首都医科大学宣武医院 | 复旦大学华山医院神经外科 | 脑胶质瘤 | 脑海绵状血管瘤 |