2022-06-03 00:26:35
2022-06-03 00:10:29
2022-06-03 00:45:43
2022-06-03 00:08:23
2022-06-03 00:07:38
2022-06-03 00:09:15
2019-06-03 00:15:00
2019-06-03 00:16:00
2022-06-02 23:53:16
2019-06-03 00:20:00
30+岁的橙子先生大学毕业后白手起家创业终于有了事业小成,也期待着开始幸福的家庭生活,但是1年前突然出现左侧突聋耳鸣,医院做了检查提示有CPA区异...
MRI的发展和普及增加了小的听觉的神经瘤(ANs)检测的几率。目前,小型听神经瘤的3种治疗方案分别是影像随访观察(等待扫描)、放射外科和/或肿瘤切除。通...
简要病史:27岁的泽洋,一名阳光帅小伙,因味觉减退,右耳听力减退(患者自觉下降50%)、耳鸣、舌头、右脸麻木2个月,头颅核磁提示右侧听神经瘤,肿...
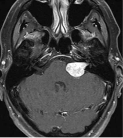
听神经瘤起源于听神经鞘,也叫听神经鞘瘤、前庭神经鞘瘤,是临床中常见的脑瘤疾病。肿瘤本身为良性,容易治疗不完全、反复复发及出现耳聋、面瘫、...
听神经瘤或前庭神经鞘瘤是一种施旺细胞的良性肿瘤,较常见于前庭神经。听神经瘤的早期症状是什么?大多数表现为进行性听力损失,突然的单侧听力损...
轻微耳聋很难引起人们的注意,即便偶尔被留意到,病人也常常因为工作过累、休息不好等理由而放松了警惕。海伦娜伯顿上大学的二年,听力逐渐下降。随...
盘点听神经瘤的早期症状与咨询方式,为听神经瘤病患带来更放心的治疗选择——的医生可以在为患者切除肿瘤的同时保留听力、远离面瘫...
59岁的李阿姨近三年来一直有耳鸣、听力下降的症状,刚开始一直以为是上了年纪了耳背很正常,谁知道这半年多来眩晕也找上了门。儿女看她被折磨的苦...
1面瘫。 NF2患者生存时间长,生存质量也值得关注。听神经瘤的主要并发症是面瘫和听力丧失。NF2患者多为双侧疾病,面瘫和听力丧失问题更为突出。对于...
耳鸣\听力下降有可能是听神经瘤,如果出现耳鸣、听力下降,这可能就是身体向你发出的疾病信号,请要加以重视,及时就诊。因为这些听神经瘤的临床症...
听神经瘤起源于听神经鞘,也叫听神经鞘瘤、前庭神经鞘瘤,是临床中常见的脑瘤疾病。肿瘤本身为良性,容易治疗不完全、反复复发及出现耳聋、面瘫、...
听神经瘤或前庭神经鞘瘤是一种施旺细胞的良性肿瘤,较常见于前庭神经。听神经瘤的早期症状是什么?大多数表现为进行性听力损失,突然的单侧听力损...
简要病史:27岁的泽洋,一名阳光帅小伙,因味觉减退,右耳听力减退(患者自觉下降50%)、耳鸣、舌头、右脸麻木2个月,头颅核磁提示右侧听神经瘤,肿...
MRI的发展和普及增加了小的听觉的神经瘤(ANs)检测的几率。目前,小型听神经瘤的3种治疗方案分别是影像随访观察(等待扫描)、放射外科和/或肿瘤切除。通...
30+岁的橙子先生大学毕业后白手起家创业终于有了事业小成,也期待着开始幸福的家庭生活,但是1年前突然出现左侧突聋耳鸣,医院做了检查提示有CPA区异...
链接/Links: 北京天坛医院 | 首都医科大学宣武医院 | 复旦大学华山医院神经外科 | 脑胶质瘤 | 脑海绵状血管瘤 |