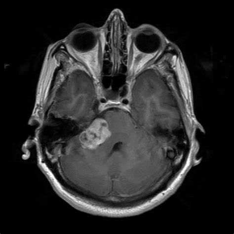
自18世纪一次发现听神经瘤以来,显微外科手术已取得进展。从那时起,在麻醉、显微镜的结合、医疗器械和神经监测系统的发展等方面都取得了进步,以帮助肿瘤切除和优化病人的治疗结果。听神经瘤相对少见,估计发病率为每年每10万人1.1例,生长速度变化不大,但一般生长缓慢。由于听神经瘤通常不会危及生命,临床医生需要考虑患者的长期后果,不仅要考虑手术结果,还要考虑影响生活质量(QoL)的结果。显微外科手术是的治疗方法之一,还包括观察和立体定向放射治疗。

头晕--术后持续的不平衡会导致较差的生活质量,这在其他研究中很常见。一项研究确定头晕是显微外科手术后患者生活质量的较重要驱动因素,据报道,头晕要么是眩晕,要么是全身不稳,要么是轻度头晕。这并不奇怪,因为头晕和不平衡会导致听神经瘤以外的患者生活质量差。这些患者报告了更高程度的功能障碍和较差的情绪。尽管人体天生具有前庭神经补偿的能力,但仍有相当数量的患者报告在显微外科手术后出现长期(8-10年)头晕和失衡。更严重的治疗后头晕和失衡与手术前出现的致残性头晕、年龄增加和体力活动减少有关。手术前和术后头晕之间的关系可以确定是否存在迟发性或较差的中央前庭代偿或其他不可代偿的头晕原因,如晕厥前期。
头痛--头痛的存在与较差的生活质量心理健康分数独自相关。有研究表明,头痛是继头晕之后影响不良生活质量的二大因素。患有慢性头痛的人患慢性疼痛、抑郁和焦虑的可能性是正常人的两倍。据报道,乙状窦后入路有更糟糕的头痛结果。据推测,这可能是由于纤维性硬膜粘连、颅内骨尘、枕神经损伤、脑脊液泄漏和肌肉痉挛。硬脑膜的紧密闭合(防止脑脊液渗漏和无菌性脑膜炎)导致神经支配丰富的脊神经肌肉纤维粘附在硬脑膜上,这些纤维的牵拉导致疼痛和头痛。
面瘫--结果表明,面神经功能恶化与生活质量呈线性关系。面部恢复技术可以导致的美学和功能的好转;然而,由于4-6个月的肌肉萎缩可能导致较差的功能结果,因此有必要尽早进行这种干预。两年后,运动终板几乎完全退化,神经移植无效。这强调了在术前管理面神经预期和在术后处理面神经功能以协调早期康复以优化生活质量的必要性。
听力损失--听神经瘤(前庭神经鞘瘤,VSs)患者经常出现感音神经性听力损失,这通常是隐匿性或渐进性的。然而,高达26%的患者可能会出现突然的听力丧失,这对外科手术提出了重要的挑战。突然听力下降被归因于肿瘤压迫导致迷宫动脉痉挛或闭塞,通常用皮质类固醇治疗。术前听力差或无法使用的患者通常不尝试听力保护手术。
传统上,较大的肿瘤伴随面神经的附着或伸展,通常采用近全切除的方法来处理,以优化脑神经功能,降低治疗后的发病率。较近的一项研究发现,近全切除组患者的心理健康评分明显低于行全切除的患者,这可能是由于残余肿瘤的持续存在造成了潜在的心理健康损害。为此,手术全切和提高生活质量如何平衡成为神经外科医生的较大挑战。
听神经瘤手术挑战:听力保存和面神经保存
手术:面神经保存
听神经瘤手术如果切除了面神经,手术后会让患者面瘫。美国犹他大学医院神经外科教授William T. Couldwell教授表示,可以使用电生理监测来提高对面神经的保存率。在手术过程中不断监测面神经的状态,以降低手术切除听神经瘤的并发症发生率。电生理监测向外科医生提供反馈,允许神经识别、描绘其过程,以及通过在损伤发生之前发出神经活动干扰信号来保护神经干。美国犹他大学医院拥有着国际治疗听神经瘤的各种前沿仪器、技术,William T. Couldwell教授能熟练应用各种现代化高科技手术设备,而这些前沿设备也确实起到了大的作用,在William T. Couldwell教授的听神经瘤显微手术下,其面神经基本都得到了保存。
手术:听力保存
传统上,保留手术后的听力比面神经表现更有挑战性。造成这种差异的确切原因尚不清楚。也就是说,听神经瘤的手术切除治疗面神经和听神经是温和的。同样的外科治疗,而面神经保留率在90%以上,乙状窦后入路后听力保留在30%-50%之间。法国巴黎Lariboisiere大学医院神经外科教授兼主席、经内镜及颅底手术的国际高手Sebastien Froelich教授也支持了以上的结论。在Sebastien Froelich教授显微外科手术下,只要是3cm以下的听神经瘤,教授的手术基本均为这些患者保留了面神经。而听力保留率就相对低一些,只有患者术前听力没有损伤,Sebastien Froelich教授都能为其保留听力,而对于听力损伤的听神经瘤患者想保留听力,教授虽然也能做到,却表示难度确实大的多。
听神经瘤手术,想要完整的保留听力和面神经,不仅对中国神经外科医生来说困难重重,在国际范围内,也是一个大的难题,只有少数神经外科医生能做的好。比如Sebastien Froelich教授(法国)、William Couldwell(美国)、巴特朗菲教授(德国)这些国际神经外科的专家,然而想要得到他们的治疗并不容易,一般患者是难以咨询到的,而且出国也是麻烦和困难重重。
幸运的是,Sebastien Froelich教授(法国)、William Couldwell(美国)、巴特朗菲教授(德国)都是中国INC(International Neurosurgeon’ Circle)的教授,INC国际神经外科医生集团作为专注于神经外科领域的专家学术交流的医生集团,除了持续致力于促进和加强中外神经外科技术和学术的交流与合作,还将为国内有需要的脑肿瘤(包括听神经瘤、脑膜瘤、垂体瘤、胶质瘤、脑海绵状血管瘤等)提供必要的出国治疗协调服务。
- 文章标题:显微外科手术治疗听神经瘤患者的长期生活质量
- 更新时间:2020-02-28 20:15:59
400-029-0925




