“而立之年确诊四脑室肿瘤,从一开始的恍惚(还没反应过来),到恐惧重度焦虑(连续几天整夜未眠),再到再到选择手术。然而没有想到手术并不是结束——术后3个月,术前没症状,术后出现了双侧面瘫,还有复视。面瘫麻木,甚至影响说话。期间出现过视力下降,现在还有复视,就是看远处会出现平行的两个影像。”四脑室肿瘤手术为何会出现这样的并发症?还能恢复吗?
四脑室肿瘤严重吗?为何会导致面瘫、复视?
大脑并不是实心的大脑中的空隙称为脑室。大脑半球内有侧脑室,三脑室、四脑室。三脑室和侧脑室借助室间孔相通,三脑室借助中脑导水管和四脑室相通,四脑室向下是小脑延髓池,再向下延续为脊髓中央管。各脑室之间相互连通,里面有循环的脑脊液,可以保护中枢免受震荡。


四脑室(fourth ventricle)是人脑中四个相连的充满液体的腔室之一,形似帐篷,位于延髓、脑桥和小脑之间,上通中脑导水管,下接脊髓中央管。它还借一个正中孔和两个侧孔与蛛网膜下腔相通。四脑室从脑导水管(侧导水管)延伸到外胚叶,充满脑脊液(CSF)。
四脑室肿瘤的临床表现
首先产生脑脊液循环受阻,肿瘤向脑室周围扩延侵犯或使其周围组织受压时,即产生相应的临床症状,主要为颅神经受损症状。
由于这个原因,四脑室肿瘤的特征是ICP增加的症状(头痛、恶心、呕吐);小脑损伤的症状,特别是共济失调、故意震颤、小脑构音障碍;以及脑神经功能障碍(从V到XII—Ⅴ三叉神经、Ⅵ外展神经、Ⅶ面神经)。运动和感觉障碍不太常见,可能发生在肿瘤增大和扩散的情况下。

根据研究,较常见的症状是头痛(33–全切),恶心呕吐(38–全切),复视(26.9–33.3%),步态障碍(33–全切),视力障碍(9.8–29%),头晕(15.4–66.7%),延髓综合征(1–50%),感觉和锥体障碍(7–69.2%)和精神状态的变化(2–17.2%)。
四脑室肿瘤的手术治疗
四脑室肿瘤的种类很多,较常见有⽑细胞性星形细胞瘤、髓母细胞瘤、室管膜瘤、⾎管母细胞瘤和表⽪样肿瘤。肿瘤可造成脑积⽔,临床症状多样。造成梗阻性脑积水手术原则是打通脑脊液的循环通路,较大限度切除肿瘤,防止脑干损伤。目前外科手术也是四脑室肿瘤的优选治疗方式,由于四脑室解剖复杂,是生命中枢所在区域,与脑干的关系变异程度较大(简单推挤→浸润脑干),因此,尽管相对于三脑室肿瘤而言手术难度较低,切除四脑室肿瘤对外科医生来说仍然是一个挑战,术中每一步操作都对术后恢复产生重要影响。
1、小脑损伤:部分患者会长期残留平衡障碍,表现为蹒跚步态、走路不稳等,部分患者会出现程度的缄默或构音障碍;
2、感觉障碍:若在切除肿瘤过程中,对周围脑神经或神经核团造成影响,四脑室底呈菱形,桥脑与延髓的神经核团多与此相毗邻,如延髓的舌下神经核、迷走神经背核、耳蜗和前庭神经核;桥脑的面神经核、三叉神经运动核和三叉神经感觉核等。如果伤及神经,术后患者可能会出现面瘫、复视等感觉障碍;
3、梗阻性脑积水:若手术中局部出血或发生粘连性蛛网膜炎,可能会造成较为严重的头痛、恶心、呕吐及视乳头水肿等症状;
4、其他后遗症:包括反复发生呕吐,或者由于伤口愈合不良,形成局部积液及反复脑脊液感染等炎症表现。
四脑室肿瘤可以顺利全切吗?
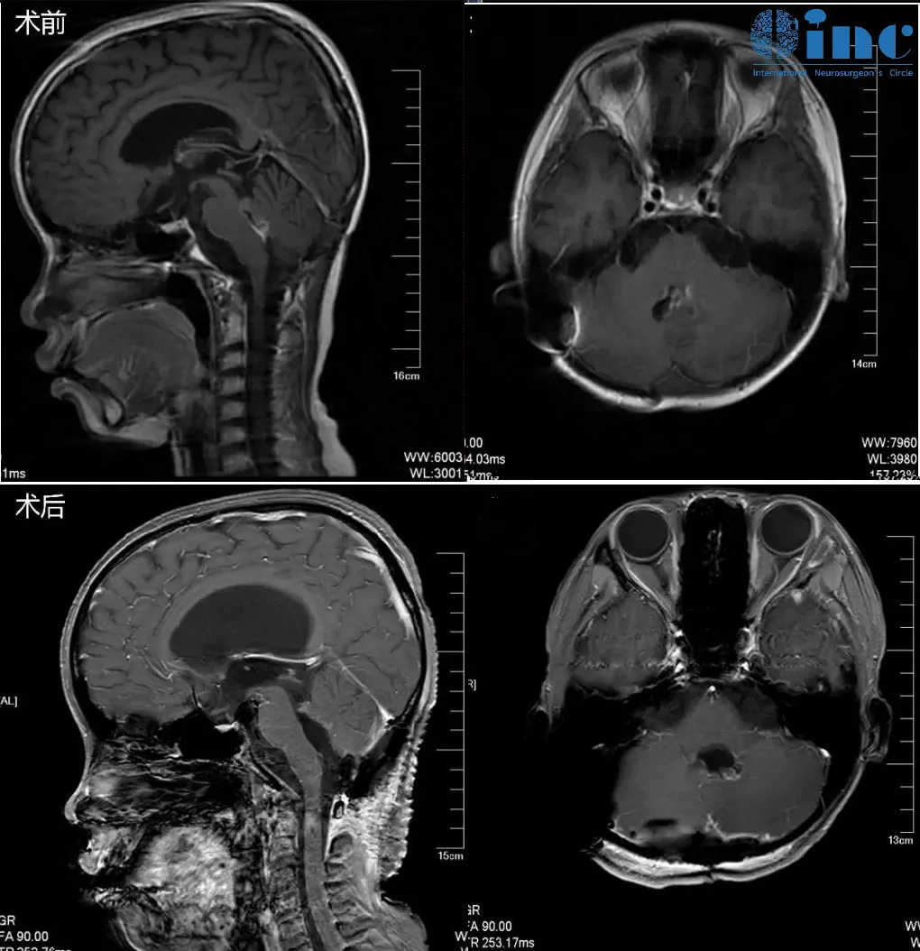
10岁男孩周周,患有四脑室肿瘤的他,一开始开颅手术后面瘫、复视、吞咽困难以及走路不稳;放疗后复查出现脑积水,行分流术;再次复查,胶质瘤复发……绝望之际找到了INC德国巴教授国内示范手术,终于获得了顺利全切、无新发手术并发症。
不明原因地头痛呕吐,当地医院检查发现颅内占位性病变,伴梗阻性脑积水。经过进一步的评估,周周被诊断为可能患有脑干及四脑室的肿瘤。

自此,开始了周周长达一年的抗击脑瘤之路。一开始在当地进行开颅手术时,“术中一过性心率下降,只能停止操作……由于在操作时肿瘤与脑于关系密切、边界不清,作为呼吸心跳中枢脑干,如果继续手术下去,很可能这个幼小的的生命就会发生呼吸心跳骤停、将带来毁灭性的结果。手术只切除了小部分肿瘤而结束。”
术后,周周的头痛和呕吐症状得到了缓解,但他却出现了面瘫、复视、吞咽困难以及走路不稳等症状,这对于年龄较小的周周来说可能是一次较大的身体和心理的考验。由于面瘫,周周脸只能一直板着,本来以为他是这么严肃,没想到他是没法笑……
术后一个月,周周接受了放射治疗,希望能够进一步控制和预防肿瘤的复发。然而,在随后的复查CT中发现他仍然有脑积水,在急诊全麻下行“右侧脑室腹腔分流术”。
后定期复查磁共振检查,近期一次检查提示小脑蚓部占位,结合病史,考虑胶质瘤复发可能伴幕上脑积水。
虽然周周的行走能力、吞咽功能较术后好转,但仍有复视和面瘫症状,完全无法微笑,做出表情。“如果一开始手术能够在更前沿的地方做就好了。”
巴教授综合查阅患者病历后,为孩子做了详细的评估。
“有明确的手术指征,手术的目的是完全切除肿瘤。手术治疗是可能的和有必要的。我可以提供在苏州提供这个手术。等待更长时间也许是可能的,但这对孩子没有任何好处;相反,它可能会给肿瘤继续生长的机会。”

巴教授远程咨询回复截图
▼在苏州大学附属儿童医院,巴教授已经顺利为周周顺利完成手术,顺利全切四脑室肿瘤。


“感谢巴教授!感谢INC的!感谢苏州儿童医院的大力支持!今天收到了较好的消息,手术效果很好,可以出院了,王王任说了一句可以长期生存是我听医生说的较动听的话!真的是很激动的,别说能养活一百年了,能看着长大陪我们变老,一个正常人的生活就好。今天感受了一下喜较而泣,真是感谢你们做的全部努力,才能让我感受到儿子生的希望。”
——10岁脑干及四脑室肿瘤患儿父亲
▼顺利出院前一天周周父母向INC工作人员发来感谢

▼术后2天,巴教授到病房探视小病人

从悲观绝望,只求儿子多陪他们几年;到喜较而泣,孩子获得了新生,可以像正常人一样长期生存,这是父母听到的较动听的话。
无症状的四脑室肿瘤需要手术吗?
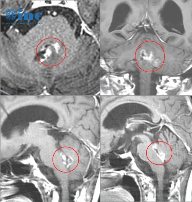
41岁的荣女士2022年11月出现腹泻、呕吐、头晕等症状,就诊于当地医院,行颅脑CT检查,提示无异常,遂对症保守治疗,慢慢好转。没想到过了一个月常规体检时,颅脑磁共振提示四脑室占位性病变。四处咨询了很多医生,从北京到香港,但问诊的结果总是让她无法满意。“手术风险大、保守治疗”这样的话,荣女士已经听了太多。难道医学如此发达的今天,无法找到一位对于治疗有信心的医生吗?为了得到更好的治疗,荣女士开始搜寻关于治疗疑难位置脑瘤的国际专家,此时INC巴教授进入了荣女士的视野。这场来自德国的视频咨询,也将为荣女士带来新的治疗选择和生机。

▼可以先观察一阵不做手术吗?手术风险大吗?
巴教授远程评估:肿瘤就会越来越大,并且肿瘤会越来越深入脑干内部。直到有一天,会达到无法来做手术治疗的地步,这就是我为什么建议你尽快做手术,而不是选择等待。
为了保护脑干在这个位置的神经功能(主要是六颅神经和七颅神经,即是眼球外展和面神经功能),手术切除应该是在合理的范围内。我很肯定,在保护神经功能的前提下,能得到90%以上的切除率。
▼巴教授远程邮件回复截选

总结
近年来,随着神经影像学的进步,术中神经导航、神经电生理监测、术中超声、术中核磁、功能核磁、DTI的应用以及显微神经外科技术的进步,这些“手术禁区”内的神经外科疾病被一一攻克,根据患者不同情况也衍生出了很多各具特色的手术技术,全切手术效果也得到了质的提高。
总之,四脑室肿瘤虽然位置疑难,但是并非不治之症,但手术的预后与手术时机的把握和抉择有很大的关系,巴教授曾说过“Sooner is better”,尽快手术能够争取更好的预后,而在能力范围内较好的医生为自己主刀,是争取更好的预后和生活质量的保障。
- 文章标题:四脑室肿瘤术后竟会致面瘫、复视?顺利切除手术有多难?
- 更新时间:2024-04-22 15:29:59
400-029-0925



