不少人都有不慎摔倒的经验,但竟然“摔”出脑肿瘤?到底是摔倒去检查意外发现脑瘤,还是因为脑瘤导致意外摔倒?我们又应该如何去区别呢?出现这样意外发现脑瘤情况,该怎么办呢?
2024年2月8日,林女士(化名)带着儿子小迪在外旅游。“孩子在床上跳来跳去,当时玩得很开心,我们也就没有太在意。后来孩子突然哭了,才发现是摔倒了。因为当时头仰着躺在床上的,我们也没在意,孩子也时常会这样子。到晚上11点多,他睡觉的时候一直说头痛,当时考虑可能是因为睡晚了,所以也没在意。到了2天早上他还是说头痛。我们就在近期的儿童医院拍了CT,当时因为是小年夜,急诊的医生看CT也没发现这个问题。后面又找其他医生,才说可能是颅咽管瘤……”
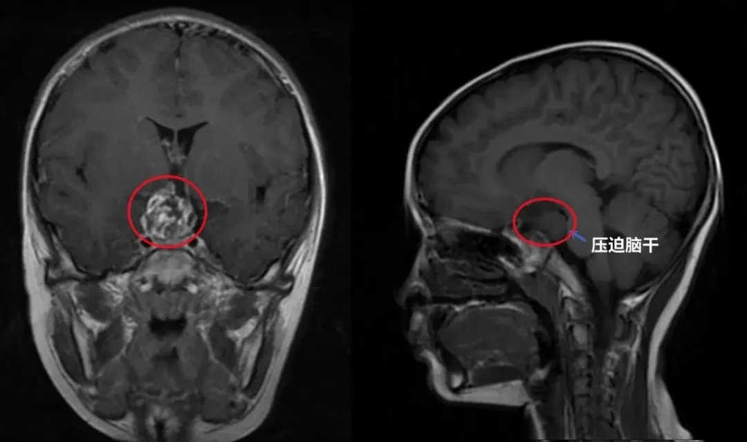
▼鞍区肿瘤,颅咽管瘤,和周围大血管动脉关系紧密


虽然小迪此前并没有发现任何相关症状,但林女士回想孩子一直以来生长略显迟缓,虽然在正常范围内,但实际身高还是比同龄人略矮一点点。而且,小迪年前就表示眼睛酸,要一直揉眼睛,当时母亲以为作业多、灯光不好等因素导致的,也并没有太在意。林女士也说道:现在想想,我觉得可能跟这个有点关系的,可能肿瘤压迫到了。
也许,小迪的肿瘤可能在很早就形成了,好在颅咽管瘤属于良性长得比较慢,而且幸运的是在还没有出现明显的症状时就被意外发现,只要能及时顺利全切,预后情况也会较好,这也是不幸中的万幸。2024年3月28日,小迪得到成功示范手术。

“他没住ICU,当天就出来了。巴教授出来的时候说:Perfect!我一听就激动得不得了。另外一个医生在旁边说,垂体柄保留的很好,我就觉得就很放心。”,等候在ICU外的小迪妈妈听到巴教授手术成功的好消息。
点击查看小迪成功治疗故事:“我们做了正确的决定”——7岁男孩颅咽管瘤术后即刻清醒、垂体柄保留
然而,但在更多的案例中,由于儿童年龄小,往往不能自主、清楚地表达身体不适,像一些食欲减退、不愿意久站或者肢体活动障碍等首发症状往往不被家长重视,或当作其它疾病进行治疗。当孩子出现明显的临床表现时,颅内肿瘤已得到充分生长,压迫症状也比较重,可能错过了黄金治疗时间,或治疗选择有限从而降低生存期和生活质量。
“如果当初我们早点重视孩子这个症状就好了……”当确诊自家的孩子得了脑肿瘤,很多家长总是这样后悔不迭。当然提前发现也是幸运,肿瘤还没有导致小迪出现明显的症状。除了小迪,INC接触过很多因为意外摔倒,偶然查出神经外科疾病的患儿。
6岁男孩——脑干-延髓毛细胞星形细胞瘤
2020年初,年仅4岁的天天开始出现了些异常的症状。父母注意到,一向吃嘛嘛香的他在吃饭时出现呕吐。“可能只是受凉了”,他们并没有太过在意。一次意外摔倒受伤,天天在父母的陪同下在当地医院就医,诊断结果显示:脑干占位性病变。

术前核磁影像
一家人都懵了,本以为只是个很简单的小问题,完全没有心理准备。这时他们才反应过来前几个月孩子出现的无端呕吐可能就是肿瘤压迫到脑组织引发的症状。

幸运的是,天天经过INC国际神经外科医生集团旗下国际神经外科顾问团成员巴特朗菲教授手术后,肿瘤达到近全切的结果,术后三天查房交流清晰、肢体抓握能力正常、术后食欲正常,术后两个多月,孩子正常回归学校。

点击阅读完整案例:【INC巴教授示范手术】6岁男孩脑干胶质瘤近全切、无肢体瘫痪,术后2月顺利回归校园
3岁男孩——脑干胶质瘤
2024年2月底,3岁男孩浩浩因为后脑部不慎遭受撞击偶然查出脑干占位性病变。发现肿瘤后,浩浩并没有任何不适的感觉,只是父母发现发现孩子右手相较之前力气下降,行走时右脚力气不足。这种情况也很常见,由于处于成长期的儿童表达症状还较为困难,因此很多儿童颅内肿瘤是被偶然发现的。
▼浩浩术前影像

一查出来,浩浩母亲便开始多地寻医,她知道,孩子的情况不能等,也等不了。爱子心切,得知巴教授来华消息后,尽快联系了INC,巴教授表示“偏向于浩浩是局灶性肿瘤,自己可以全切全切”,咨询当天他们就决定咨询了这次巴教授天坛医院示范手术机会。从咨询巴教授到决定手术仅仅用了1天!从查出脑干病变到成功手术也仅一个月时间。
2024年4月8日,年仅3岁的男孩浩浩,成功接受了较大脑干中脑肿瘤示范手术。手术后1天,浩浩已经顺利出ICU,转入普通病房,状态很好。父母在尽快交流了孩子的视频,并再次发来感谢。“谢谢巴爷爷!”稚嫩清脆的声音从视频里传出,通过小小的手机屏幕瞬间温暖了大家的心。我们可以看到活泼爱动,聪明伶俐的浩浩在妈妈的温柔耐心引导下,动动手、动动脚,用手比一下1、2、3、4、5,清楚的回答2加3等于5……

“我们一家感谢INC和巴教授,让我一颗提心吊胆的心终于放下,感谢巴教授救了我儿子,我儿子的状态好很多了。教授的神来之手救了太多人,INC也帮了太多人。谢谢巴教授妙手回春,谢谢大家!”

如今浩浩已经顺利出院,那个可爱活动的宝宝在摆脱了脑肿瘤后又回来了,亲爱的浩浩、为你点赞,继续加油!
很多儿童脑肿瘤“发现即晚期”,往往是由于忽视了孩子早期可能出现的一些或微小或常见的症状,任由肿瘤发展恶化,直到出现很明显的症状时才重视或到医院就诊,可能错过了黄金治疗时间,或治疗选择有限从而降低生存期和生活质量。我们总是不禁为很多原本可以早期发现早期治疗获得很好治疗效果的患者感到可惜,我们如何避免“发现即晚期”?
因此,在日常生活中,家长要多关注孩子的身体和心理变化。如果孩子出现不正常的呕吐、头痛、头颅增大、视力障碍、复视、癫痫、生长发育异常、多饮多尿、情绪问题等情况,要尽早规范就医,及时排除或发现可能出现的儿童颅内肿瘤病变。
- 文章标题:不慎摔倒,竟然“摔”出脑肿瘤?意外发现肿瘤是福还是祸?
- 更新时间:2024-04-30 09:14:32
400-029-0925




