“让孩子们比以前活得更好,活得更久,活得更有质量!”INC旗下国际神经外科顾问团(World Advisory Neurosurgical Group,WANG)的专家成员、国际神经外科学院前主席James T.Rutka教授如是说。目前,他所领衔的脑瘤研究实验室在研究脑肿瘤生长和侵袭的机制方面颇有成就。

Rutka教授:为国际小儿神外患者做出突出贡献
Rutka教授出生于加拿大多伦多,他曾在普林斯顿大学接受教育;1990年,其任职多伦多大学外科学系教授、系主任,此后一直在小儿神经外科的儿童医院工作,还创办了The Arthur and Sonia Labatt脑肿瘤研究中心;2006年,Rutka教授被授予国际微笑勋章,该奖项旨在表彰他对儿童的照顾和帮助。

作为国际神经外科杂志《Journal of Neurosurgery》现任主编,James T.Rutka教授在儿科外科手术、脑瘤分子生物学、癫痫手术和外科手术教育杂志上发表了逾500篇文章。2020年,美国神经外科医师协会(American Association Of Neurological Surgeons)肿瘤科获奖委员会将小儿脑肿瘤奖正式更名为“James T.Rutka儿科奖”,以纪念Rutka教授为孩子们做出的突出贡献。

作为国际小儿癫痫/脑瘤手术教授、加拿大多伦多大学儿童医院SickKids大外科主任、SickKids脑瘤研究中心主席,James T.Rutka教授为全国际的患儿家长们交流了他们研究成功。
Rutka教授谈小儿脑肿瘤的治疗
”脑干和小脑位置是儿童脑肿瘤常发位置。当涉及到儿童脑肿瘤的诊断和治疗时,我们仍然有许多未解决的问题。不幸的是,直到今天,有太多的孩子因为这种疾病离开,这就是为什么我一直把重点放在研究上,试图提高我们治疗儿童脑肿瘤的能力。
我是James Rutka,多伦多大学外科学系主任,我也是儿科神经外科医生。这里是加拿大多伦多大学儿童医院SickKids,我在这里工作32年了。
我们的团队致力于儿童神经外科疾病的治疗,是脑瘤患儿,所以这些年来,由于我们取得的进步,我们对这些孩子的治疗已经发生了较大的变化。实际上,30年前我开始临床实践的是我们做的是大手术,大暴露。儿童的康复面临着相当大的挑战,因为当时我们没有今天的治疗方法。

我可以说,现在我们正在使用机器人和激光以微创的方式来帮助患有脑瘤的儿童,所以他们的恢复速度比过去要快得多,并发症的发生率要低得多,生活质量也要高得多。
在我们对髓母细胞瘤生物学的理解中的一项成就是将这种侵袭性的儿科恶性肿瘤分为四个主要的亚型。这些子类型包括:WNT、SHH、3组和4组髓母细胞瘤。不同的亚型是基于在每个亚组中不同的常见的周期性遗传改变。
这改变了我们治疗骨髓瘤患儿的方式。我们现在不再把它们当作一个肿瘤来治疗我们把它们当作不同的肿瘤来治疗,我们现在能够使用靶向治疗的策略让孩子们比以前活得更好,活得更长,活得更有质量。
DIPG
DIPG,通常是一种致命的诊断。幸运的是,根据我们过去10年的研究工作。特别是在过去的5年里,我们已经能够证明这个不同肿瘤的问题在于我们无法将所需的药物化疗进入脑干。
我们已经开发了一种新的策略,使用核磁共振引导聚焦超声,使我们能够穿透血脑屏障,使这些之前被阻止进入脑干的药物能够直接进入肿瘤,并有望为这些儿童带来更好的预后。这是一项新的临床试验,我们希望在未来6个月内在儿童医院推出。我一直在随访这些病人,从他们的婴儿期一直到他们的青春期,即使他们已经出院。
磁共振引导聚焦超声(MRgFUS)的使用和纳米粒子治疗的使用。我们之前在这两方面都有研究经验,现在我们正在对患有DIPG的儿童使用MRgFUS,而且我们已经在这项研究中招募了国际上一批病人。点击文章查看Rutka教授磁共振引导聚焦超声(MRgFUS)技术详情:不开颅、药物直达脑干胶质瘤—INC国际教授Rutka磁波刀临床试验进行中..

我也收到了这些家庭寄来的手写信,他们倾诉了孩子们的的经历,他们是如此感激他们在这里得到的全部治疗和照顾。当他们18岁的时候,他们以良好的状态毕业,这真是太棒了。这条治疗之路,我们一直陪伴着、照顾着他们。当和他们说再见之后,我们知道他们的生活已经改变了。虽然他们还有很长的路要走,这让我们感到满足,我们在此取得了较大的成就。
SickKids的Arthur与Sonia Labatt脑瘤研究中心是加拿大较大的颅脑疾病研究基地,INC国际神经外科顾问团成员、国际神经外科学院前主席James T.Rutka教授目前是该脑瘤研究中心的带头人。来自国际各地不计其数的脑瘤及癫痫儿童曾在这里获得了更佳的救治。
Rutka教授精彩儿童案例交流
13岁男孩“打败”了脑胶质瘤
13岁的艾文来自加拿大的一个小镇上,原来的他是一位好学、懂事,脾气温和的乖男孩,可是两年来,他常常觉得自己头晕、浑身乏力,做什么事情都打不起精神,记忆力也明显下降,而且特别容易发脾气。
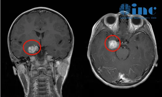
之后,艾文父母带着孩子来到了SickKids就诊,在核磁共振成像扫描下,可以清晰地看到艾文脑内左枕叶部肿瘤占位,后经影像学分析,考虑为左枕叶毛细胞性星形细胞瘤。原来改变这的元凶是艾文患了“脑胶质瘤”。
艾文的主刀教授James T.Rutka教授表示,对于艾文这种位于有利位置的低级别胶质瘤的治疗方法是手术全切除,术后生存期可长达50年之久,相当于完全治愈。在大多数情况下,即使病变位于脑干或丘脑等疑难复杂的位置,只要能达到全切,低级别胶质瘤的治愈率通常都很高。

(艾文的左枕叶毛细胞性星形细胞瘤术中影像分析)
经过James T.Rutka教授手术团队的讨论,他们决定对艾文使用无框架立体定向术和术中神经导航手术,以确保他的病变完全切除。,手术结果得偿所愿,全切除也意味着良好的预后。
目前,孩子已经回归了正常学习、生活的轨道,他没有被脑肿瘤压垮,Rutka教授带给他的成功治疗让他没有了患病时候的怪脾气,而是变得越来越懂事了,用艾文父母的话说——“孩子得到了很大的成长”。
7岁男孩战胜颞叶肿瘤复发
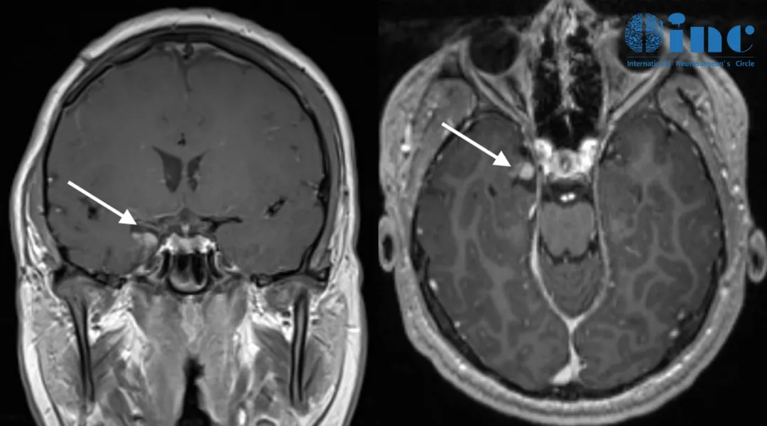
Jimmy一开始接受外科手术时只有7岁,内侧颞叶肿瘤使他在复杂部分癫痫发作时会出现严重的意识障碍和精神症状,他会短暂地失去意识,四肢抽搐,还会不断重复自己癫痫发作前的动作,流口水、吞咽、走路等,这些使他无法正常生活和学习,因此选择接受外科手术。开颅行经侧裂入路为其行切除手术,术后7年均未发作。

术前影像

手术七年后复发影像
在手术切除后,Jimmy享受了七年的宁静时光,但在他14岁那年癫痫再次发作,检查发现他的内侧颞叶肿瘤出现了小的残留病变,周围可能也是致痫灶,这些导致了癫痫复发,如不及时治疗,可能会逐渐回到术前状态,再次陷入癫痫的“梦魇”,但Jimmy这次不愿再次接受开颅手术,他希望能尽快完成治疗重返校园。
一家人找到国际儿童脑瘤教授INC Rutka教授,Rutka教授与Jimmy及其家属进行了深入沟通,教授认为Jimmy的残余肿瘤不足3cm,适合采用一项微创技术——激光间质热疗(LITT)来消融病变。教授表示术后Jimmy可以很快出院,不会影响正常的学习和生活,与Jimmy一家达成共识后,教授立即为其制定了周详的微创治疗方案。由于Rutka教授团队对于整个LITT技术已经有丰富的经验,Jimmy的手术很成功。

术后二天他就出院了,智力和生长发育也未受到任何影响,经过短暂的休养后他重返校园。近期的随访显示他的癫痫没有再次发作,如今的他正在享受校园生活。
7岁癫痫女孩迎来“曙光”
Lena早在3岁时就开始了癫痫发作,此后,每年会发作几次,但病情发展缓慢。当她7岁时,每天癫痫发作多达150次。癫痫让她连一些简单的动作也做不到,例如走路、说话和进食,更不用说踢足球和做啦啦队队员了,而这些都是小女孩梦寐以求的。
几年时间内,Lena已经尝试了无数的药物治疗,但没有多大效果,癫痫仍是反复。然后,家人带她来到SickKids就诊,对于Lena的病情,SickKids包括James T.Rutka教授在内的癫痫治疗团队表示,这种难治性癫痫药物治疗很难发挥作用,相信脑深部电刺激(DBS)可以帮助到Lena。
DBS可以通过传感电较检测癫痫发作活动并提供电刺激以防止癫痫发作,对于不适合病灶手术切除以及药物治疗的患者,刺激的目标包括丘脑核,如丘脑前核ANT中央核束旁核复合体和海马等。
说,Lena在接受DBS手术后确实癫痫发作情况有了明显好转,现在Lena对于未来的生活正在慢慢恢复信心。这是一项治疗癫痫、帕金森等神经系统疾病的新技术,越来越多的研究证明了其合适性。一家人都对此满怀期待。
Rutka教授——国际儿童脑肿瘤治疗先行者
Rutka教授作为国际儿童脑肿瘤教授,James T.Rutka教授对胶质瘤、纤维瘤、颅咽管瘤、室管膜瘤具有多年的临床经验,擅长激光间质热疗(LITT)、清醒开颅术及显微手术。目前的研究重点为儿童脑瘤和癫痫的外科治疗。

加拿大James T.Rutka教授
国际神经外科学院院长(2011-2014)
美洲神经外科学院院长(2012)
美洲神经外科医师协会主席(2010-2011)
国际神经外科杂志《Journal of Neurosurgery》主编(2013年至今)
多伦多大学外科学系教授、系主任(1999年至今)
多伦多大学儿童病院、亚瑟和索尼亚拉巴特脑瘤研究中心主任(1998年至今)
加拿大勋章(Order of Canada,2016年)
“国际微笑勋章”(International Order of Smile)(2006年)
- 文章标题:国际儿童神外教授:让孩子们比以前活得更好,活得更久,活得更有质量!
- 更新时间:2024-05-17 13:41:28
400-029-0925



