2019-05-31 13:13:00
2022-06-01 14:18:35
2022-05-31 13:00:16
2022-06-02 23:40:56
2019-05-31 13:36:00
2022-06-02 14:08:15
2019-05-31 13:04:00
2022-05-31 10:21:09
2019-06-01 11:18:00
2019-05-31 13:22:00
脑干胶质瘤末期能治好吗?能活几年?脑干胶质瘤是一种起源于脑干的神经胶质细胞的肿瘤,由于脑干在人体中扮演着调控基本生命功能(如呼吸、心跳)和神经...
脑干胶质瘤后期痛苦吗?如何缓解?脑干胶质瘤是一种位于脑干内的肿瘤,脑干是大脑中极其重要的部分,负责控制许多基本的生命功能,如呼吸、心跳、睡...
脑干胶质瘤边界模糊吗?没有切除干净怎么办?脑干胶质瘤的边界确实常常表现为模糊。这主要是由于脑胶质瘤在形态学上呈浸润性生长,弥漫于相应的脑组...
儿童脑桥胶质瘤后期能正常生活吗?还能治好吗?脑桥胶质瘤,尤其是弥漫性脑桥胶质瘤,是儿童中常见的脑干胶质瘤类型。这类肿瘤生长在脑桥区域,脑桥...
脑桥胶质瘤要去什么样的医院看?不及时治疗会死吗?脑桥胶质瘤是一种较为复杂的脑部肿瘤,其治疗需要高度专业化的医疗团队和先进的医疗设备。 一、脑...
【德国脑干胶质瘤案例】我庆幸,各种努力我都尝试过了,现在总算有了一个相对较好的结果,此生终将也无憾了!今年60岁的陈老先生带着患有4级弥漫型脑...
一次无悔的选择让7岁的辰辰重回健康,顺利摘除了累及脑干的较大胶质瘤,谈到主刀医生INC德国巴特朗菲教授,辰辰的父母充满了感激,也希望借2021年教...
神经胶质瘤是具有与神经细胞即神经胶质细胞相似性质的肿瘤的总称。胶质细胞是与神经元(神经元)一起构成大脑的神经元,但约90%由神经胶质细胞组...
视神经胶质瘤有治愈的案例吗?2018年7月,INC国际神经外科医生集团接到一个咨询电话,年仅5岁的儿童患视神经 胶质瘤 病情严重,访遍国内神经外科医院...
【宝宝胶质瘤案例】俗话说,孩子的事情,再小也是大事。孩子是父母的宝,孩子身上出现的任何问题,都牵动着父母的心。虽然现代医学已经发达,很多...
胶质瘤 是颅内常见的脑瘤,约占全部颅内肿瘤的40%-50%左右。不仅常见,而且 脑胶质瘤 跟一颗毒瘤一样,它的每一个特点都散发出恐惧的味道,每一个标签...
【21岁女孩得脑干胶质瘤成功案例】正在校读书的21岁花样少女小林不幸患了脑干胶质瘤,为了确诊,先是做了单纯穿刺活检病理为(左桥脑)弥漫性中线胶...
基底节区 胶质瘤 ,是指生长在基底节区或附近的胶质瘤。基底节(basal ganglion)又称基底核(basal nucleus),位于近大脑半球底部的白质中,是大脑半球深部较大...
弥漫性中线胶质瘤是原发性的中枢神经系统(CNS)肿瘤。原发性中枢神经系统肿瘤根据肿瘤位置、瘤种、肿瘤扩散程度、遗传发现、患者年龄和手术后剩余肿...
脑瘤,是属于中枢神经系统肿瘤的一种,因大脑是人体较其重要的组织器官,其致死率和致残率高于其他部位肿瘤。尽管近年医疗技术不断进步,但中枢神...
神经胶质瘤 是一种来源于大脑中神经胶质细胞的肿瘤,胶质细胞负责维持和滋养神经细胞。与其他类型的癌症一样,神经胶质细胞的癌症按类型和严重程度...
胶质母细胞瘤(GBM)是成人常见的恶性脑肿瘤,许多在较初治疗后几个月内复发,并在2年内出现致命进展。在使用5-氨基乙酰丙酸的荧光、神经导航和术中磁...
【赴德治疗脑干胶质瘤案例】八月的时候生病了,原以为人生会戛然而止,抱着较虔诚较奢侈的期待,也做了较坏的打算上了手术台,较后的结果是翻盘成...
各种临床研究证明,面对胶质瘤、脑膜瘤、颅咽管瘤、脊索瘤等部分恶性脑肿瘤,硼中子俘获疗法(BNCT)具有的临床效果。 由于硼中子俘获疗法允许一次...
少数已知的预后因素(大多数因素本身具有高度相关性)的差异,例如年龄,病情状态,肿瘤大小/位置,手术切除的程度以及组织学亚型,不足以解释这些...
多形性胶质母细胞瘤(GBM)是发生于人类中枢神经系统的恶性肿瘤。脑胶质瘤为何会发生转移?高级别脑胶质瘤复发并转移到脊髓如何治疗...
功能区胶质瘤手术全切案例简要病史:16岁女孩艺文(化名),因癫痫反复发作、肢体无力就医,检查出大脑左顶叶深部占位性病变。由于癫痫发作频繁,...
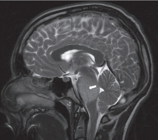
一名6岁的女童在视力检查出现问题后被转介到眼科。经检查,她的左眼视力下降(20/80)和色觉(仅限控制板)。右眼视力和色觉正常。她有一个低振幅,高频摆...
丘脑具有独特的解剖结构,因而,显微外科手术切除具挑战性。对于丘脑胶质瘤的患者而言,手术是否可行和顺利?有哪些治疗方案...
按照欧洲EANO、美国NCCN以及国内的中枢神经系统肿瘤治疗规范,手术切除肿瘤一直是一线治疗手段。对于恶性度高的颅脑肿瘤,即便手术不能全切除肿瘤,...
恶性胶质瘤 是成人较常见的原发性脑瘤。它表现出对脑实质的广泛侵犯,从而逃避了目前常规化疗、放疗和手术的多模式治疗模式。尽管这种多模式治疗方...
【脑瘤治疗案例汇总】INC曾接诊的这四个真实的疑难脑瘤手术案例或许正能解答大家的这些疑问。就这些案例患者而言,术前教授都曾给到他们明确的可以...
质子治疗,其实就是一种放疗手段,将质子作为带正电荷的粒子,以较高的速度进入人体,由于其速度快,在体内与正常组织或细胞发生作用的机会较低,...
使用(18)F-FDOPA进行PET成像可对胶质瘤相对于周围组织的代谢进行体内评估。(18)F-DOPA成像的高灵敏度使其可用于许多临床应用...
Q:胶质瘤患者有必要出国治疗吗?国际治疗费用大概在多少? A:当级别高一些的胶质瘤乃至其他脑肿瘤患者遇到国内治疗效果不理想或是建议保守治疗、...
【赴德治疗胶质瘤案例】较大胶质瘤压迫脑干,7岁男孩远赴德国一次手术确定顺利全切脑瘤,脑干是人的生命中枢,如果这个生命中枢被肿瘤纠缠。手术,...
多形性胶质母细胞瘤(GBM)是成人中常见的具侵袭性的原发性脑肿瘤。为巩固手术效果通常需要术后放化疗,恶性脑胶质瘤多长时间放化疗一个周期...
16岁学生基底节胶质瘤案例回访:恰同学少年,风华正茂;书生意气,挥斥方遒做完手术,我像重新活了一次!我梦想踏上西藏这片神奇的土地,亲自用双...
问:毛细胞型星形细胞瘤严重吗?如何治疗? 答:儿童毛细胞型星形细胞瘤(JPA)是一种少见的儿童期 脑肿瘤 。毛细胞型星形细胞瘤严重吗?在大多数情...
CAR-T细胞疗法治疗脑胶质瘤,CAR-T疗法是一种新型细胞免疫治疗方法。CAR是一种由胞内信号传导区、跨膜区和胞外抗原结合区3部分组成的人工融合蛋白,其...
髓源性控制细胞是什么(脑胶质瘤治疗),髓源性控制细胞的概述和分类。髓源性控制细胞于1978年一次发现于脾脏,它是一组来自骨髓的免疫控制细胞。通常...
相比胃癌,肝癌,肺癌等常见恶性肿瘤,脑胶质瘤相对少见,不被大众熟知,然而却是较常见的原发性颅内肿瘤,治疗难度大,致残、致死率高。专家表示...
四级胶质瘤较长寿命?胶质瘤治疗方法有哪些? 四级胶质瘤较长寿命?胶质瘤治疗方法有哪些?高等级胶质瘤(HGG),是胶质母细胞瘤(GBM)是成人较常见和较...
【脑干海绵状血管瘤案例】33岁男性,突发肢体无力、面瘫3周,意大利当地医院诊断为脑干胶质瘤,患者被告知go home,lay down,do nothing,you will die in 10 days(原...
胶质瘤能治好吗? 在过去的30年里, 胶质瘤 的治疗变得更加多元化,临床试验表明手术后辅助化疗能提高患者的生存率。不幸的是,这种治疗干预的进展对...
大多数恶性脑瘤生长迅速,较易复发,轻者神经功能丧失,重者瘫痪甚至危及生命,且预后比较差。比如胶质瘤中恶性程度较高的一种胶质母细胞瘤(GBM)...
【丘脑胶质瘤手术全切治疗案例】简要病史:一个59岁罗马尼亚女士,大约四个月前开始出现头部右侧和右脚麻木感,视力模糊/有雾感,以及右手的一些细...
一直以来,患有BRAF V600E突变的儿童胶质瘤在目前的放化疗策略下预后较差。 为此,INC国际神经外科顾问团成员、国际神经外科前主席、加拿大多伦多大学...
胶质瘤免疫治疗面临的机遇和挑战。近几十年来,胶质瘤的治疗方法没有明显突破。免疫治疗的出现给胶质瘤的治疗带来了新的希望,但也面临着诸多挑战...
这些标准在很大水平上依赖于医学和放射影像学上的疾病进展,其定义是指病灶大小或出现任何新病灶>20%的增大。虽然中枢神经系统转移瘤现在开始被纳入...
硼中子俘获疗法(BNCT)是基于硼-10(天然元素硼的非放射性成分)被低能量(0.025 eV)热中子辐照时发生的核俘获和裂变反应。这导致产生高线性能量转移(LET)粒子...
脑胶质瘤是由于大脑和脊髓胶质细胞癌变所产生的、较常见的原发性颅脑肿瘤。年发病率约为3-8人/10万人口。 现代影像学检查是诊断的重要手段,其中磁共...
基于AVF3708g(BRAIN研究)和NCI06⁃C⁃0064E两项Ⅱ期临床试验研究的结果,美国FDA于2009年一次批准BEV用于复发胶质母细胞瘤(rGBM)的治疗。2013年美国临床肿瘤...
链接/Links: 北京天坛医院 | 首都医科大学宣武医院 | 复旦大学华山医院神经外科 | 脑胶质瘤 | 脑海绵状血管瘤 |