2019-05-31 13:13:00
2019-05-31 13:22:00
2022-06-02 14:08:15
2019-05-31 13:36:00
2022-06-02 23:40:56
2019-05-31 13:04:00
2022-06-01 14:18:35
2022-05-31 10:21:09
2022-05-31 13:00:16
2019-06-01 11:18:00
小儿脑干胶质瘤是低级别严重吗?能不能做手术?脑干胶质瘤在儿童中是一种罕见但严重的脑肿瘤,其严重性主要取决于肿瘤的组织学级别、位置、以及对脑...
小儿视神经胶质瘤术后能活多久?小儿视神经胶质瘤是一种发生在儿童视神经或视交叉区域的肿瘤,通常是低级别的星形细胞瘤,与神经纤维瘤病Ⅰ型(Neur...
小儿视神经胶质瘤术后注意事项?小儿视神经胶质瘤术后,为确保患儿能够顺利康复,需要注意多个方面的事项。以下是对这些注意事项的详细说明: 一、...
小儿视神经胶质瘤术后护理措施?小儿视神经胶质瘤术后护理是确保患儿顺利康复的重要环节。由于患儿年龄较小,身体恢复能力有限,因此术后护理需要更...
小儿视神经胶质瘤恶性肿瘤?小儿视神经胶质瘤,一种影响儿童的神经系统肿瘤,通常起源于视神经或视交叉区域,可能对视觉功能造成严重影响。判断其是...
BRAF V600E突变参与了约10%-20%的小儿胶质瘤和一小部分成人HGGs的病理发生过程。多数儿童低级别胶质瘤中有BRAF基因的异常突变,包括点突变、融合突变。...
剂量学研究表明,质子治疗可以降低低级别胶质瘤(LGG)儿童未受损伤组织的中、低剂量辐射。因此我们回顾了174名21岁的非转移性LGG儿童的病历,这些儿童在...
由于小儿脊髓髓内低度神经胶质瘤在儿童人群中的低发病率,关于其治疗方法的争议不断,特别是初始手术切除所需的范围,辅助化疗与放疗(RT)的治疗,以...
神经节胶质瘤 是一种中枢神经系统的肿瘤,怀疑起源于错构瘤性神经胶质神经病变的常见前体细胞。组织病理学上,这些肿瘤由神经节细胞和胶质细胞组成...
INC之James T. Rutka教授认为小儿神经胶质瘤的切除手术结果主要取决于不同年龄的表现,肿瘤的位置,组织学和肿瘤切除程度。治疗应基于多学科方法,并且...
小儿脑胶质瘤的新分子靶点和治疗方法,前沿分子技术的杰出进步提供了大量数据,这些数据改变了我们对小儿脑肿瘤的分类和分类方式...
英文摘要:Primary intracranial anaplastic gangliogliomas are rare tumors in the pediatric patient group.Most of them present with symptoms of elevated pressure or symptomatic epilepsy.Extraaxial loc...
小儿脊髓髓神经胶质瘤:小儿常见肿瘤的不正常部位。神经节胶质瘤是儿童中枢神经系统的常见肿瘤,主要发生在颞叶,引起癫痫。脊椎神经节胶质瘤是少...
由于恶性胶质瘤仅发生在中枢神经系统内且少见远处转移的特点,因此可以作为基因治疗的靶点。所谓基因治疗就是采用适当的手段,将不同的基因导人肿...
原发性颅内间变性神经节胶质瘤在小儿患者中是少见的肿瘤。他们中的大多数表现为血压升高或症状性癫痫,巴特朗菲教授2021年2月将来华为国内患者解答...
胶质瘤 作为小儿脑瘤中较为普遍的一种,近几年一直在威胁着孩子的健康成长。近日,约翰霍普金斯大学金梅尔癌症中心在人体细胞和小鼠试验表明,与单...
Abstract Introduction:The treatment of low-grade gliomas(LGGs)in pediatric age is still controversial.However,most authors report longer life expectancy in case of completely removed cerebral gliomas.I...
小儿丘脑胶质瘤的治疗关键,许多研究表明,与不进行手术的患者相比,全切除术或全切除术可好转丘脑肿瘤患者的预后和生存率。随着时间的推移,随着...
小儿颅内原发性间变性 神经节胶质瘤 (Pediatric intracranial primary anaplastic ganglioglioma) 英文摘要: Background Primary intracranial anaplastic gangliogliomas are rare tumors...
原发性中枢神经系统肿瘤是儿科癌症相关死亡的主要原因,加拿大对于小儿低级别脑神经胶质瘤的治疗给出了实践标准,有重要的参考意义...
胶质瘤预后怎么样,婴幼儿高别胶质瘤发病率低,仅占神经原发肿瘤的8%~12%。年龄在0-19岁之间的高级别胶质瘤的年发病率只有0.85/100,000,没有性别差异。虽...
胶质瘤新发现:通过使用针对异常信号通路的靶向治疗来预防小儿胶质瘤的形成,根据发表在《发育细胞》(developmental Cell)杂志上的一项临床前研究,国立...
美国儿童和青少年原发性恶性和非恶性脑及其他中枢神经系统肿瘤的发病率约为每10万人年567例,脑瘤是全部儿童癌症中常见的死亡原因。图1:0-14岁儿童原...
脑瘤是儿童较常见的实体瘤,是儿童癌症相关死亡率的主要原因。儿童脑肿瘤的分布、病理、分子特征和治疗策略与成人相比有重要的差异...
原发性颅内间变性神经节胶质瘤是一种少见的儿童肿瘤。他们大多表现为血压升高或癫痫症状。轴外定位比轴向定位更常见。核磁共振检查中类似毛细胞性...
许多研究表明,与不进行手术的患者相比,全切除术或全切除术可好转丘脑肿瘤患者的预后和生存率。此外,外科手术可以帮助缓解症状,以减轻相关脑积...
遗传分析和甲基化分析均已显示出可洞察许多脑肿瘤的诊断和预后。然而,目前尚不清楚小儿低度神经胶质瘤中甲基化图谱的含义及其与遗传改变的相互作...
早期试验表明,BRAF和MEK控制剂对复发/难治plgg有疗效。缓解率很有希望,似乎优于化疗...
小儿胶质瘤整合诊断方法。2016版《WHO分类法》发表之前,儿童与成人胶质瘤的组织学诊断原则是一致的,但在临床实践中两者在生物行为和预后方面有很大...
小儿脑胶质瘤活检常见并发症,脑活检术整体并发症发生率较低,主要表现为出血及新生神经功能损伤。结果报告长期性神经功能障碍的发生率为2.4%,因手...
复发性肿瘤占位效应明显且一般状态良好的患者,优选手术,并结合其他治疗;一次治疗未进行TMZ联合放化疗的患者,采用标准化TMZ联合放化疗及辅助化疗...
儿童脑干胶质瘤是什么引起的? 儿童脑干胶质瘤的病因尚不清楚。 近年来的相关研究表明,基因突变与儿童脑干胶质瘤的发病率有关。此外,一些儿童脑...
视神经胶质瘤会复发吗? 视神经胶质瘤是根据患者肿瘤的大小、位置等情况进行综合分析。 临床上,视神经胶质瘤的治疗应通过放疗、化疗和手术切除进...
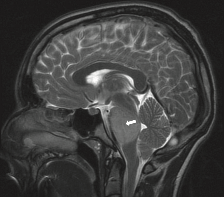
什么是小儿脑干胶质瘤 小儿脑干胶质瘤是一种由基因突变引起的神经纤维瘤病,该疾病早期通常没有明显症状,病情加重后可能出现面瘫和神经麻痹等症状...
小儿脑干胶质瘤的表现 儿童脑干胶质瘤的常见临床表现包括脑神经功能障碍、长束征和共济失调。具体表现为肢体痉挛性瘫痪、肌张力增加、腱反射亢进、...
小儿脑干胶质瘤能治好吗 小儿脑干胶质瘤并不能治好,胶质瘤是一种恶性肿瘤,还没有治愈的方法。 脑干胶质瘤,特别是儿童脑干胶质瘤,治疗难度很大...
小儿脑干胶质瘤如何护理 儿童脑干胶质瘤的护理措施包括心理康复、饮食安排合理、呼吸道通畅、病情变化密切关注。一旦恢复过程中出现异常现象,应及...
小儿脑干胶质瘤早期症状 儿童脑干胶质瘤早期五种症状,这种说法并不严谨。室管膜瘤是儿童脑干胶质瘤的常见类型,是起源于试管膜细胞的典型中枢神经...
小儿低级别胶质瘤是一种较为常见的儿童脑瘤,是由于胶质细胞(神经系统中的细胞类型之一)发生了异常增生形成的肿瘤。尽管被称为低级别,但这种瘤...
脑干胶质瘤失眠是什么原因 脑胶质瘤病人失眠、无法入睡,可能是精神过度紧张,也可能是肿瘤压迫神经引起的睡眠障碍,病人可通过药物和手术进行治疗...
脑干弥漫胶质瘤早期症状表现 脑水肿、颅神经功能障碍、言语障碍、行动障碍等都是脑干弥漫性胶质瘤的主要症状。具体分析如下: 脑水肿:脑干弥漫性...
小儿室管膜瘤治疗与预后情况 儿童常见的肿瘤是室管膜瘤,起源于脑室和脊髓中央管神经胶质细胞,年发病率为2.19-3.5/100万儿童。如何治疗儿童高发病率已...
脑干胶质瘤中药治疗好吗 脑干胶质瘤中药治疗还不能明确,具体的治疗方法请咨询主治医生。 中医治疗脑干胶质瘤是不可能的,因为中医治疗这种疾病的...
脑干胶质瘤2级偏瘫严重吗 脑干胶质瘤二级偏瘫严重。临床上,脑干胶质瘤二级症状一般为头痛、头晕、恶心、呕吐、四肢麻木无力。有些人还可能出现吞...
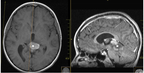
小儿脑干胶质瘤怎么诊断 儿童脑干胶质瘤可通过颅脑CT进行、磁共振和活检等检查和诊断。儿童通常会出现行走不稳、言语不清等症状。CT检测时,会发现...
脑干胶质瘤多久能确诊 胶质瘤检查的时间因人而异,取决于医院的资质。一般建议去医院一周左右,找出病因后再对症治疗。饮食和作息要有规律,少吃辛...
脑干胶质瘤可以靶向治疗吗 脑干胶质瘤可以靶向治疗。 脑胶质瘤的靶向治疗往往意味着这些患者可能需要使用一些药物来化疗胶质瘤。这些患者通常会因...
链接/Links: 北京天坛医院 | 首都医科大学宣武医院 | 复旦大学华山医院神经外科 | 脑胶质瘤 | 脑海绵状血管瘤 |