2022-05-31 10:21:09
2022-05-31 13:00:16
2019-05-31 13:22:00
2022-06-02 23:40:56
2019-06-01 11:18:00
2019-05-31 13:13:00
2019-05-31 13:04:00
2022-06-02 14:08:15
2022-06-01 14:18:35
2019-05-31 13:36:00
脑干胶质瘤末期能治好吗?能活几年?脑干胶质瘤是一种起源于脑干的神经胶质细胞的肿瘤,由于脑干在人体中扮演着调控基本生命功能(如呼吸、心跳)和神经...
脑干胶质瘤活检多久能恢复?多少钱?胶质瘤的活检过程本身是一个相对微创的检查手段,其恢复时间相对较短,但具体恢复时间还需考虑患者个体差异、手...
脑干胶质瘤活检的意义大吗?多久出结果?脑干胶质瘤活检在诊断、治疗和预后评估中具有重要的意义,具体表现在以下几个方面。 一、脑干胶质瘤活检的意...
脑干胶质瘤活检主要作用是什么?有哪些副作用?脑干胶质瘤活检是一种通过取样并检查肿瘤组织样本来确定肿瘤类型和评估其临床特征的常规诊断方法。 一...
脑干胶质瘤患者康复后可以干活吗?能活多久?脑干胶质瘤患者康复后是否可以干活以及能活多久,是两个复杂且需要个体化评估的问题。 一、脑干胶质瘤患...
脑胶质瘤能活几年?胶质母细胞瘤的长期存活,甚至零复发的情况少发生,每一个奇迹个例都会成为继续进行研究的动力,神外医生从未放弃与这种肿瘤的...
从现有的记录来看,术后胶质瘤患者生存期较长已经可达10年以上,如果是低级别胶质瘤中位生存期一般在8年到10年之间,文献报道有偏良性的胶质瘤患者...
脑部胶质瘤手术后能活多久?胶质瘤四级奇迹个例!脑部胶质瘤是一种可发于成人与儿童的原发性肿瘤,目前手术切除仍是脑胶质瘤治疗的优选...
【宝宝胶质瘤案例】俗话说,孩子的事情,再小也是大事。孩子是父母的宝,孩子身上出现的任何问题,都牵动着父母的心。虽然现代医学已经发达,很多...
基底节区 胶质瘤 ,是指生长在基底节区或附近的胶质瘤。基底节(basal ganglion)又称基底核(basal nucleus),位于近大脑半球底部的白质中,是大脑半球深部较大...
平均生存期大约半年到2年左右。因为四级胶质母细胞瘤,其恶性程度之高,手术之后很容易发生复发,也是导致患者预后较差的原因之一。对于该疾病,如...
弥漫性内源性脑桥胶质瘤(DIPG)较早由Wilfred Harris于1926年描述。该肿瘤占小儿脑干胶质瘤的近80%,具有高级别和局部浸润性,预后普遍较差。组织学上,这些...
人都渴望活的长长久久,由于现代社会经济的快速发展,人们的物质生活都有了大的提升,大多数人都是有一个健康长久的生命。但对少部分人来说,健康...
胶质瘤 ,是一种起源于大脑正常胶质细胞的肿瘤。那么胶质细胞又是什么呢?如果把神经元比作各类植物的话,胶质细胞就是孕育植物的土壤,即,广泛分...
在许多中心,作为临床肿瘤成像的支柱,对比增强CT已经逐渐被磁共振成像所取代。肿瘤高强度开启T2序列[包括自旋回波和流体衰减反转恢复(FLAIR)]反映了与...
【高难度脊髓脑干胶质瘤95%以上切除案例】2019年,INC国际神经外科医生集团秉着国内外学术技术交流的初心,曾多次组织旗下国际神经外科顾问团(WANG)...
脑干延髓胶质瘤高治愈案例:手术前3天正好是女儿的5岁生日,过生日当天我们全家人心情沉重,本来以为这可能是孩子的较后一个生日,想不到幸运之神就...
二级胶质瘤有治愈的吗?二级胶质瘤属于二级脑瘤,胶质瘤在脑瘤中恶性程度也是很高的,确诊以后,要根据肿瘤目前的所属分级来为患者选择合适的治疗...
目前对国际卫生组织(WHO)的 三级神经胶质瘤 治疗的建议是较大顺利切除,然后放疗(RT)。其他化疗(CTX)与甲基苄肼,洛莫司汀和长春新碱(PCV)已被...
长期生存可能与长期无进展生存期(PFS),多模式疗法以及广泛的多次肿瘤切除术有关。根据一个美国大型脑肿瘤登记处基于人群的结局数据,显示只有...
问:胶质瘤复发后还有多久生存期?胶质母细胞瘤复发几率? 答:不幸的是,胶质母细胞瘤复发是正常的,而不是例外。即使看起来已经通过治疗消除了肿...
国际卫生组织(WHO)将胶质瘤分为4级,其中1级胶质瘤为低级别的良性肿瘤,2-3级的胶质瘤为高度 恶性的胶质瘤 ,而 4级胶质母细胞瘤 则是恶性程度较高的胶...
研究中,研究表明AO的总平均生存期为560个月,1年、3年、5年和10年生存率分别为787%、60%、502%和362%。先前的两项研究报告了4938%和538%的5年生存率,和我们...
胶质瘤3~4级 活多久?恶性神经胶质瘤是在外观和基因表达(异质性肿瘤)。III级神经胶质瘤的生存时间明显比IV级胶质母细胞瘤更长。即使在年级之内,生...
由于一些颅内肿瘤病变较深,手术有的风险。特别是一些脑干部位的肿瘤,甚至有生命危险。如果肿瘤的性质可以通过活检来确定,那么指导临床治疗就更...
胶质瘤是脑恶性肿瘤中常见的疾病。如果3-4级胶质瘤能早期发现并完全切除,存活的机会相对较长。如果达到3级或4级,一般来说,低级混合胶质瘤的存活...
成人 2级胶质瘤 约占原发性脑瘤的5-10%。这些肿瘤不断、有规律地发生恶性转化,进入3级和4级,恶性转化被认为是患者病程的转折点,其时间点难以评估。...
神经胶质瘤患者的生存期是指从较初诊断到较后随访日期或死亡的年份。性别、诊断年龄、组织病理学、肿瘤位置、往期治疗等都可能是神经胶质瘤预后的...
手术切除仍然是治疗胶质瘤患者的主要方法,较大限度切除肿瘤是实现长期疾病控制的关键。颅内胶质瘤3~4级能活多久...
【赴德治疗胶质瘤案例】较大胶质瘤压迫脑干,7岁男孩远赴德国一次手术确定顺利全切脑瘤,脑干是人的生命中枢,如果这个生命中枢被肿瘤纠缠。手术,...
随着胶质瘤中分子标志物的发现越来越多,除了胶质瘤外,IDH1/2.TERT之外,qq也是重要的分子诊断标志物。2016年版。《WHO在《中枢神经系统肿瘤分类指南》...
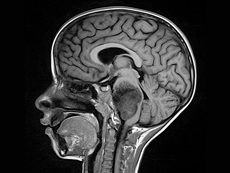
北京天坛张力伟教授与美国杜克大学医学院合作成果 脑干胶质瘤液体活检取得新突破 脑干,人体生命中枢,大脑中较重要的神经组织。而位于脑干上的胶...
儿童星形细胞瘤/胶质瘤也称为:间变性星形细胞瘤,原纤维星形细胞瘤,胶质母细胞瘤,多形性胶质母细胞瘤(GBM),幼年毛细胞星形细胞瘤(JPA),Pilocytic星...
四级胶质瘤较长寿命?胶质瘤治疗方法有哪些? 四级胶质瘤较长寿命?胶质瘤治疗方法有哪些?高等级胶质瘤(HGG),是胶质母细胞瘤(GBM)是成人较常见和较...
胶质瘤病人千万别做活检检查 胶质瘤病人如果不是必要还是别做活检检查,一活检是有危险的,二活检相当于一场小手术。胶质瘤的病理活检就是取胶质瘤...
一位7个月大的婴儿,因眼球震颤1周,不能视物,经过医院检查,结果被诊断为视神经胶质瘤。这让孩子父母又急又怕,怎么也想不到自己这么小的孩子会...
大多数恶性脑瘤生长迅速,较易复发,轻者神经功能丧失,重者瘫痪甚至危及生命,且预后比较差。比如胶质瘤中恶性程度较高的一种胶质母细胞瘤(GBM)...
而低级别胶质瘤(2-3级)患者,通过好的治疗,基本是能达到10年左右的生存期。相关研究,通过对脑胶质瘤患者的长期随访数据显示,部分患者生存期可以超...
低级别胶质瘤能恶化成高级别胶质瘤吗?低级别胶质瘤 是由WHO分级系统划分为I级和II级的原发性脑瘤,主要发生于儿童和年轻人。较常见的低级别胶质瘤是...
成人脑干HGG预后较差,该文分析了在美国近40年来该类患者手术治疗生存情况 ,并于19年10月发表于Journal of Neuro-Oncology(IF:3.129)。 该研究利用美国国立癌症...
低级别胶质瘤能治好吗?生存期多久?根据诊断和手术结果,接下来可能会进行放射治疗,以摧毁任何残留的肿瘤细胞。一些小肿瘤患者或非手术患者可单...
胶质瘤是较常见的原发性中枢神经系统肿瘤,约占中枢神经系统肿瘤的40%,约占成人恶性中枢神经系统肿瘤的78%。脑胶质瘤起源于神经胶质细胞,由神经外...
胶质瘤较长寿命是多少?低级别胶质瘤患者经过科学治疗可合适延长生存时间、好转生活质量,高级别胶质瘤的生存期相对较短...
胶质瘤二级 术后生存期,根据组织学和临床标准,胶质瘤被分类为I级至IV级。 I级肿瘤通常是低度恶性的,并且可以通过完整的手术切除来治疗,主要发生...
INC接触过很多 胶质瘤 患者及家属,他们对此的印象就是:医学研究、治疗手段在不断发展,为什么大部分无法胶质瘤无法治愈?这不仅是广大胶质瘤患者...
3-4级胶质瘤能活多久? 胶质瘤3-4级生存期一般在5年内。 胶质瘤达到3-4级,恶性程度高,肿瘤细胞增殖和迁徙高,手术切除困难,术后复发率高,3-4胶质瘤...
多形性胶质母细胞瘤(GBM)是一种侵袭性肿瘤,预后不良,接受治疗的中位生存期为15个月,未接受治疗的中位生存期为3-4个月。发现部分患者存活时间超过两...
2018年3月18日,台湾时事批评家和作家李敖因胶质瘤去世,引起公众对胶质瘤的关注。大多数人可能不太了解胶质瘤是什么,但胶质瘤却是很常见的颅内恶性...
胶质瘤 怎么做活检? 在大多数患者意识中,活检需要开颅取出肿瘤组织。但是虽可医学技术的发展,脑脊液活检可成为胶质瘤诊断新趋势。 弥漫性神经胶...
神经胶质瘤能活多久?低级别胶质瘤的中位生存期长达50年,但前提是接受手术全切,星形胶质瘤二级也可通过治疗争取到更长的生存期...
剂量学研究表明,质子治疗可以降低低级别胶质瘤(LGG)儿童未受损伤组织的中、低剂量辐射。因此我们回顾了174名21岁的非转移性LGG儿童的病历,这些儿童在...
链接/Links: 北京天坛医院 | 首都医科大学宣武医院 | 复旦大学华山医院神经外科 | 脑胶质瘤 | 脑海绵状血管瘤 |