2022-06-02 14:08:15
2019-06-01 11:18:00
2019-05-31 13:22:00
2022-06-02 23:40:56
2019-05-31 13:04:00
2022-05-31 13:00:16
2022-05-31 10:21:09
2019-05-31 13:36:00
2019-05-31 13:13:00
2022-06-01 14:18:35
脑干胶质瘤(brainstem gliomas,BSG)是一组起源于中脑、脑桥和延髓的胶质瘤总称。脑干胶质瘤本身的异质性、复杂性决定了它需要多学科参与进行综合治疗。目...
据Lancet子刊(Neurology)研究文章显示,较大规模脑肿瘤统计发现:在范围内,中国的发病及死亡人数双双一,脑瘤中较常见的恶性胶质瘤是34岁以下肿瘤患...
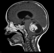
今年刚被美国大学录取、高大帅气的18岁小齐(化名)如何更好地治疗,始终困扰着小齐父母小齐在6岁时发现脑干中脑占位,提示囊肿可能,其后检查发现...
先天性胶质母细胞瘤是一个少见的实体,很少有报道。其位置、临床表现和影像学特征与成人GBMs相比有明显的不同,INC专家教你辨别儿童脑部胶质瘤的症状...
目前脑干胶质瘤专家的有很多,国内比较厉害的脑干胶质瘤专家有张俊廷、张力伟等等;国外治疗脑干胶质瘤的专家比较厉害的有德国巴特朗菲教授(Helmu...
【脑干胶质瘤案例】今年刚被美国大学录取、高大帅气的18岁小齐(化名)如何更好地治疗,始终困扰着小齐父母小齐在6岁时发现脑干中脑占位,提示囊肿...
脑干胶质瘤(brainstem gliomas,BSG)是一组起源于中脑、脑桥和延髓的胶质瘤总称。脑干胶质瘤本身的异质性、复杂性决定了它需要多学科参与进行综合治疗。目...
脑干胶质瘤根据影像学表现和临床相关性可分为四种类型:弥漫性、局灶性、外生性和颈髓性。儿童脑干胶质瘤经常是急性发作的,具有病史短、预后差的...
脊髓原发肿瘤比颅内原发肿瘤少10~15倍,占全部中枢神经系统原发肿瘤的2%~4%。脊髓胶质瘤的标准治疗方案包括切除、放疗以及联合切除和放疗。脊髓胶质瘤...
原发性颅内间变性神经节胶质瘤在小儿患者中是少见的肿瘤。他们中的大多数表现为血压升高或症状性癫痫,巴特朗菲教授2021年2月将来华为国内患者解答...
如何联系国外治疗 胶质瘤专家 ? 国内医疗资源有限的情况下,使得不少的患者选择 出国看病 。西方发达的医疗水平居国际,不论是药物的更新速度还是...
三分之二的患者存在脑积水,60%-75%的患者在出现症状时或初次治疗后不久就需要进行脑脊液分流手术。Rutka教授的丘脑胶质瘤治疗案例CT及MRI显示右侧丘脑...
成人脑干胶质瘤至少可分为三组:弥漫性、内源性的低级别脑干胶质瘤:恶性脑干胶质瘤;弥漫性低级别脑干胶质瘤弥漫性低级别脑干胶质瘤是成人脑干胶...
神经胶质瘤早期症状是什么?根据病理级别,划分为低级别的儿童神经胶质瘤应该怎么治?神经胶质瘤早期症状有哪些?儿童神经胶质瘤哪些专家治得好...
INC美国神外专家11月来沪现场咨询,国内 脑瘤 、脑血管病患者利好! 单就癌症5年生存率而言,中国不足31%,而美国则高达66%。这在某种程度上说明,对于...
上海儿童神经外科胶质瘤专家?胶质瘤是一种起源于神经胶质细胞的脑肿瘤,神经胶质细胞支持并滋养大脑中的神经元,而长在神经胶质细胞上的胶质瘤会严...
目前脑干胶质瘤专家的有很多,国内比较厉害的脑干胶质瘤专家有张俊廷、张力伟等等;国外治疗脑干胶质瘤的专家比较厉害的有德国巴特朗菲教授(Helmu...
2018年9月2日,一个名叫小叶(化名)的孩子呱呱坠地,在她发出一声啼哭的那一刻,仿佛全国际都温柔了起来,喜悦、兴奋瞬间占领了全家人的心,只想把...
先天性胶质母细胞瘤是一个少见的实体,很少有报道。其位置、临床表现和影像学特征与成人GBMs相比有明显的不同,INC专家教你辨别儿童脑部胶质瘤的症状...
丘脑胶质瘤(thalamic gliomas)是一组主要起源于背侧丘脑并可侵袭脑干、内囊、基底节区等重要功能区的脑胶质瘤总称。丘脑胶质瘤约占全部颅内肿瘤的1%...
脑胶质瘤是由于大脑和脊髓胶质细胞癌变所产生的、较常见的原发性颅脑肿瘤。我国的年发病率约为3-8人/10万人口。胶质瘤是较常见的脑瘤,具有发病多样...
国际儿童神外专家Rutka教授交流分子靶向治疗儿童胶质瘤治疗,聚焦超声(FUS)BBB损害是一种通过局部、可逆和顺利的BBB损害增强治疗药物进入大脑的新策略。...
目前已有许多关于影响高级别胶质瘤患者生存的临床评估因素的研究,大多数研究表明,肿瘤的切除范围、患者年龄、健康状态和肿瘤分级是独自的重要预...
在这条艰难的求医路上,一部分患者在了解到治疗的较大风险后选择了退却,然而另一部分患者认为国际范围内说不定还是有一些较个别的专家教授做起这...
有丘脑胶质瘤的儿童可能相对于大人来说会具有更明显的症状,是肿瘤开始压迫邻近的脑室,导致脑脊液流动受阻时,会产生明显的症状,通常以头痛和呕...
丘脑内含重要神经核团及传导纤维,是协调、整合来自身体各部分不同的传入冲动的重要中枢,丘脑起源的肿瘤约占颅内肿瘤的1%~5%,其中以胶质瘤较为常见。...
4年前,50多岁的刘女士出现走路不稳、口角歪斜等症状,去医院检查出右侧脑桥占位,脑干受压迫。后在国内某医院手术切除肿瘤占位,活检病理结果为弥...
据Lancet子刊(Neurology)研究文章显示,较大规模脑肿瘤统计发现:在范围内,中国的发病及死亡人数双双一,脑瘤中较常见的恶性胶质瘤是34岁以下肿瘤患...
今年刚被美国大学录取、高大帅气的18岁小齐(化名)如何更好地治疗,始终困扰着小齐父母小齐在6岁时发现脑干中脑占位,提示囊肿可能,其后检查发现...
链接/Links: 北京天坛医院 | 首都医科大学宣武医院 | 复旦大学华山医院神经外科 | 脑胶质瘤 | 脑海绵状血管瘤 |