2019-05-31 13:36:00
2022-06-01 14:18:35
2022-06-02 23:40:56
2022-05-31 10:21:09
2019-05-31 13:22:00
2019-05-31 13:04:00
2019-05-31 13:13:00
2022-05-31 13:00:16
2019-06-01 11:18:00
2022-06-02 14:08:15
脑干胶质瘤四级怎么办?手术治疗风险大吗?四级脑干胶质瘤(GBM)属于世界卫生组织(WHO)分类中具有非常高恶性的一类脑肿瘤,具有高度侵袭性,快速生长,易...
脊髓胶质瘤恶性4级严重吗?多久会有生命危险?脊髓胶质瘤恶性4级是一种极为严重的疾病,其恶性程度极高,生长迅速,且预后极差。 一、脊髓胶质瘤恶性...
儿童脑干4级胶质瘤怎么办?儿童脑干4级胶质瘤是一种高度恶性的肿瘤,其治疗难度较大,需要综合考虑多种因素来制定治疗方案。 一、疾病概述 儿童脑干...
弥漫性胶质瘤四级是一种恶性程度较高的脑部肿瘤,术后生存期受多种因素影响,包括患者身体状况、治疗方法、治疗效果以及家庭和社会的支持等。虽然...
弥漫性胶质瘤四级是一种恶性程度较高的脑部肿瘤,具体的生存期存在个体差异,受到患者自身情况、治疗方法以及治疗效果的影响。目前认为,通过合理...
脑胶质瘤能活几年?胶质母细胞瘤的长期存活,甚至零复发的情况少发生,每一个奇迹个例都会成为继续进行研究的动力,神外医生从未放弃与这种肿瘤的...
从现有的记录来看,术后胶质瘤患者生存期较长已经可达10年以上,如果是低级别胶质瘤中位生存期一般在8年到10年之间,文献报道有偏良性的胶质瘤患者...
摘要:有关胶母的8个必知事项 胶质母细胞瘤 (GBM)是一种较常见的脑部原发性癌症,临床也常简称胶母,是胶质瘤的一种,也称胶质瘤四级,约一半的胶...
脑部胶质瘤手术后能活多久?胶质瘤四级奇迹个例!脑部胶质瘤是一种可发于成人与儿童的原发性肿瘤,目前手术切除仍是脑胶质瘤治疗的优选...
神经胶质瘤是具有与神经细胞即神经胶质细胞相似性质的肿瘤的总称。胶质细胞是与神经元(神经元)一起构成大脑的神经元,但约90%由神经胶质细胞组...
平均生存期大约半年到2年左右。因为四级胶质母细胞瘤,其恶性程度之高,手术之后很容易发生复发,也是导致患者预后较差的原因之一。对于该疾病,如...
胶质瘤恶变这是其病理及分子基因组学本身的一大特点,此外有临床经验及研究表明放疗也有诱发胶质瘤恶变的可能(不过这种情况存在的很少),看看如...
长期生存可能与长期无进展生存期(PFS),多模式疗法以及广泛的多次肿瘤切除术有关。根据一个美国大型脑肿瘤登记处基于人群的结局数据,显示只有...
脑干作为神经外科领域的手术禁区,其切除难度之高、瘫痪/面瘫等手术风险之大,一直以来都是神外医生们面临的一大挑战。 当IV级 胶质瘤 长在脑干部位...
胶质瘤3~4级 活多久?恶性神经胶质瘤是在外观和基因表达(异质性肿瘤)。III级神经胶质瘤的生存时间明显比IV级胶质母细胞瘤更长。即使在年级之内,生...
胶质瘤是脑恶性肿瘤中常见的疾病。如果3-4级胶质瘤能早期发现并完全切除,存活的机会相对较长。如果达到3级或4级,一般来说,低级混合胶质瘤的存活...
手术切除仍然是治疗胶质瘤患者的主要方法,较大限度切除肿瘤是实现长期疾病控制的关键。颅内胶质瘤3~4级能活多久...
高级别脑部胶质瘤有独特的临床病程,包括早期认知和功能衰退、癫痫和神经功能缺失,全部这些方面不止让患者面临严峻的生存挑战,也对患者的生活质...
四级胶质瘤较长寿命?胶质瘤治疗方法有哪些? 四级胶质瘤较长寿命?胶质瘤治疗方法有哪些?高等级胶质瘤(HGG),是胶质母细胞瘤(GBM)是成人较常见和较...
大多数恶性脑瘤生长迅速,较易复发,轻者神经功能丧失,重者瘫痪甚至危及生命,且预后比较差。比如胶质瘤中恶性程度较高的一种胶质母细胞瘤(GBM)...
胶质瘤一二三四级的表现 胶质瘤分为一级、二级、三级、四级。脑胶质瘤的临床表现与胶质瘤的发生部位和大小密切相关。一级、二级属于低级胶质瘤,三...
此前,亚利桑那州参议员约翰麦凯恩被诊断出患有胶质母细胞瘤的消息为这种不同类型的脑肿瘤提出了严峻的挑战:55岁以上胶质母细胞瘤患者的5年生存率...
3-4级胶质瘤能活多久? 胶质瘤3-4级生存期一般在5年内。 胶质瘤达到3-4级,恶性程度高,肿瘤细胞增殖和迁徙高,手术切除困难,术后复发率高,3-4胶质瘤...
高级脑胶质瘤具有独特的临床病程,包括早期认知功能衰退、癫痫及神经功能障碍等,在全部这些方面,患者不仅面临着严峻的生存挑战,而且还会严重影...
美国的塞根罗伯茨今年三岁,是一个笑容满面,勇敢无畏的孩子。与一般小孩子不同的是,虽然她仅仅三岁,但已经成为了麦克伦南县游戏管理员,且得到...
胶质瘤复发后恶性程度会变高,三级胶质瘤复发可能变成四级。由于胶质瘤浸润生长,手术往往难以完全切除。由于它是一种放射性抗性肿瘤,对大多数化...
被WHO归类为脑胶质瘤四级的胶质母细胞瘤是一种原发性肿瘤,脑炎的发病率为每10万人中3.5至7.4人,同时患有两种疾病的情况实属少见...
脑胶质瘤的生存期 脑胶质瘤的生存期主要与胶质瘤的病理分类有关。一级胶质瘤恶性程度相对较低,细胞分化成熟,生长缓慢,与正常脑组织界限相对清晰...
胶质瘤4级长存活记录 四级胶质瘤,即胶质母细胞瘤,是全部胶质瘤病理类型中恶性程度较高的。目前,在手术切除、放疗、化疗等综合治疗条件下,多数...
胶质瘤一二三四级的表现 胶质瘤按世卫组织分级标准分为四级,一级为低恶性。预后良好的胶质瘤。IV级是较恶性的。预后较差的胶质瘤。I级为毛细胞星形...
胶质瘤Ⅳ等级,放疗化疗有意义。胶质瘤Ⅳ水平是恶性程度高的胶质瘤,如胶质母细胞瘤,具有很高的增值性和渗透性,会扩张并侵入周围正常的脑组织。...
胶质瘤3~4级活多久? 胶质瘤是脑恶性肿瘤中常见的疾病。如果3-4级胶质瘤能早期发现并完全切除,存活的机会相对较长。如果达到3级或4级,一般来说,低...
胶质瘤四级有多长时间,从发病到死亡 从发病到死亡发病到死亡的时间长短与肿瘤的位置、自身体质、治疗和病情的严重程度有很大关系,一般从六个月到...
四级母胶质瘤较长寿命 四级胶质瘤,即胶质母细胞瘤,是胶质瘤全部病理类型中恶性程度较高的一种。目前,在手术切除、放疗、化疗等综合治疗条件下,...
3-4级胶质瘤如果不手术能活多久呢?生存期仅为15个月。高级胶质瘤(HGG)是中枢神经系统(CNS)的肿瘤。它们是由大脑和/或脊髓转化细胞产生的实体肿瘤。它们...
胶质瘤是颅内较常见的恶性肿瘤。根据恶性程度,胶质瘤一般分为四级,其中三级和四级为恶性肿瘤。三级胶质瘤主要包括间变性星形细胞瘤和间变性室管...
脑胶质瘤一二三四级的症状表现,胶质瘤的症状主要有两方面的表现,一是颅内压增高和其他一般症状,如头痛、呕吐、视力减退、复视、癫痫发作和精神...
胶质瘤3~4级活多久?神经胶质瘤是一种起源于大脑或脊柱神经胶质细胞的肿瘤。胶质瘤约占全部脑肿瘤和中枢神经系统肿瘤的30%,占全部恶性脑肿瘤的80%。...
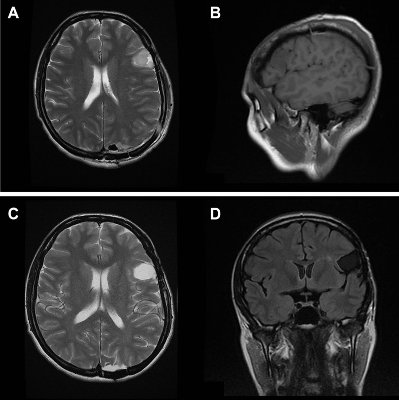
引言:2级胶质瘤(低级别胶质瘤)越来越多地在接受MRI检查的患者中被偶然发现。较近的研究数据表明,这种偶发的低级别胶质瘤是进展性肿瘤,经过临床转...
胶质瘤是一种肿瘤,对人体危害较大。胶质瘤的诊断可以根据其年龄、性别、发生部位和临床过程进行诊断,并估计其病理类型。除了根据病史和神经系统...
胶质瘤术后生存期 胶质瘤大多是浸润性生长,即使是低级胶质瘤也是侵袭性的,所以通过手术往往很难得到全切除术。除了个别类型外,术后放疗和化疗的...
胶质瘤四级能活多久? 如果胶质瘤是4级,它通常只能存活三到六个月。胶质瘤本身是一种恶性肿瘤,存活时间很短。如果患者一般身体状况差,心理素质...
胶质瘤3-4级能活多久? 胶质瘤是颅内较常见的恶性肿瘤。根据恶性程度,胶质瘤一般分为四级,其中三级和四级为恶性肿瘤。三级胶质瘤主要包括间变性星...
神经胶质瘤是中枢神经系统常见的原发肿瘤,在美国每年发病率约为每10万人6.6例。约50%的胶质瘤患者表现为WHO IV级(胶质母细胞瘤)。高级别脑胶质瘤患者的...
胶质瘤3~4级活多久? 胶质瘤是颅脑恶性肿瘤中常见的疾病。如果3-4级胶质瘤能在早期发现并完全切除,其生存机会相对较长。如果达到3-4级,一般来说,低...
胶质瘤已成为危害人类健康的重要杀手,无论其发病率如何。或死亡率相对较高,是一种常见的肿瘤。目前,医学上还没有明确的结论来解释该病的病因机...
胶质瘤一级术后生存期 如果一级胶质瘤手术完全切除,即完全切除,术后无需放化疗即可达到长期治愈效果,甚至不影响正常使用寿命。但如果切除不完全...
脑神经胶质瘤有良性和恶性,但脑神经胶质瘤恶性的可能性相对较大,因此一旦确诊,脑神经胶质瘤需要尽快通过手术治疗,术后病理检测。如果病理检测...
胶质瘤分级标准 根据其良恶性程度和胶质瘤的生物学表现,世卫组织对胶质瘤进行了大致分级。胶质瘤分为一级、二级、三级、四级。结合长期的临床经验...
胶质瘤4级还能救吗? 四级胶质瘤患者仍可接受治疗,少数四级胶质瘤甚至可存活五年以上。如果不治疗,建议积较治疗。 胶质瘤是人脑中较常见的原发性...
四级脑胶质瘤严重吗? 脑胶质瘤是由大脑和脊髓胶质细胞癌变引起的。胶质瘤的分期与大多数颅内肿瘤的分期一致。一般分为1.2.3.4级。1级是良性的。2级有...
胶质瘤4级能活多久? 对于4级胶质瘤,根据患者的不同情况。发现早晚和治疗的标准化程度不同,其生存期也会有所不同。常见情况如下: 1.如果患者不接...
链接/Links: 北京天坛医院 | 首都医科大学宣武医院 | 复旦大学华山医院神经外科 | 脑胶质瘤 | 脑海绵状血管瘤 |