我的故事充满遗憾,愿你们不会重蹈我的覆辙。我是一名43岁的女建筑师,遗憾的是,我能精心构筑建筑,却未能“构筑”好自己的人生——却错失了脑瘤治疗的“合适施工期”。
就在手术的6年前,我偶然查出患有低级别胶质瘤,当时肿瘤只有3cm³,医生建议保守观察。可它从未停止生长,六年时间悄然流逝,肿瘤已增大至11cm³……更令人心惊的是,随后仅仅五个月,它竟从11cm³迅猛增长到21cm³!我不得不面对手术。而沉重的打击来自术后病理——它已恶化为胶质母细胞瘤(4级),中位生存期,仅剩14个月。
“原来你这个建筑师也会生病?”
回忆起第一次做脑部检查,从医院回来,我整个人像被抽空了力气。好友来看我,带着心疼,也带点责备,轻轻问了这么一句。
“建筑师也是人,怎么就不会生病……”我低声回她。那时她只知道我因为头痛去了医院,还不清楚我是查出了脑瘤。
做建筑这一行,太忙了。工作起来我都觉得自己是一个不知疲倦的铁人——加班、充电、画图、改模型,日复一日,好像永远没有尽头。
她不是第一次劝我注意身体。可我总觉得自己还撑得住,一直以来身体也没什么大毛病。这份工作让我有成就感,但也让我对家人充满了亏欠。
直到她看见我没了往日的激情,才终于意识到——这一次,真的不一样了。
小小头痛,居然查出两种脑瘤
43岁,事业正处于高峰期的我,从没想过会罹患脑瘤,这个离我如此远的疾病。
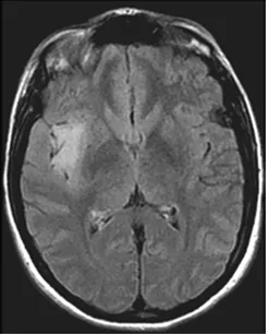
2008年5月,当我因剧烈头痛无法工作时,做了脑部MRI检查,显示一个小的动脉瘤以及右侧岛叶病变,提示可能是一个胶质瘤(图1)。此时的我只知道脑子里面长了东西,有一些恐惧,但是还没有真正意识到问题的严重性。

图1:2008年5月轴向FLAIR磁共振图像显示,右侧岛叶低级别胶质瘤,肿瘤体积为3cm³
动脉瘤是什么?胶质瘤又是什么?
当我还算冷静的问出这两个问题时,医生接下来的解释还是吓到我了。他说,颅内动脉瘤就像是血管壁上被吹起的一个“小气球”,随时有破裂的风险,可能危及生命。而胶质瘤,则更为复杂——它仿佛是“恶魔与天使的混合体”。
如果是低级别、能完全切除,就有长期生存的可能;但如果它是恶性的,即使手术全切,复发可能性极高,最残酷的情况下,生存期甚至可能只有一年……
“医生,我到底是良性……还是恶性?”
“目前高度怀疑是低级别胶质瘤,建议先观察,暂不手术。”
我松了一口气。既然还不用开颅,既然医生都这样说了,我还有什么可害怕的呢?我甚至开始自我安慰:头痛也许只是偶然,如果没有这次检查,这个肿瘤是否就可以当作从不存在?
目前无症状,且生活如常,肿瘤并没有对我的生活造成任何影响。而且如果手术,就必须承担起手术的风险,岛叶毗邻重要功能区和血管,安全切除岛叶胶质瘤充满挑战。谁能保证手术后一定比手术前情况好呢,毕竟我现在还可以正常生活以及工作。

岛叶科普图片
出于这样的顾虑,我选择了保守观察。这一守,就是六年。
六年里,我坚持每年进行一次MRI复查,像正常人一样继续生活、全力工作。出人意料的是,这段时间我没有出现任何症状——尤其重要的是,从未发生癫痫。也因此,我没有接受任何治疗,连抗癫痫药都未曾服用。
医生曾反复提醒:岛叶这个位置极易引发癫痫,一旦发作,就必须及时干预。但这一切,仿佛都与我无关。
症状没有出现,我的胶质瘤却越来越大了
我们通常觉得低级别胶质瘤生长缓慢,却往往忽略了一个事实:它们中的很多最终会转变为致命的高级别胶质瘤。
我没有癫痫发作,也没有其他明显症状,但在一次次的复查中,我清楚地看到肿瘤在缓慢而持续地增大。起初,因为它长得太慢,我并未真正放在心上。可这种增长就像“温水煮青蛙”,无声无息却步步紧逼。直到2014年2月,我决定转向另一家医院寻求治疗。
当时,医院使用一种专门的工具,计算了我第一次和最后一次MRI检查的肿瘤体积。2008年5月,刚查出时,肿瘤体积为3cm³(图1),而在最后一次检查,2013年11月时,病变体积为11cm³(图2)。
我的胶质瘤平均每年直径增长约1.8毫米——听起来似乎微不足道,却已足以让手术变得不可避免。2014年4月,我正式决定接受手术。

图2:2013年11月轴向FLAIR MR图像显示,肿瘤生长缓慢但客观可见。体积为11cm³。
术前评估:11cm³发展到21cm³,且出现恶化可能
住院后,我所有的术前神经系统检查结果均显示正常,也没有发现任何认知障碍。一切似乎仍在可控之中。
然而,就在手术前一天的MRI检查中,发现肿瘤体积已急剧增长至21cm³——距离上次检查也才5个月。这一数据表明肿瘤进入了快速生长期,年增长率约13毫米,相比之前的1.8毫米/年——这样的进程高度符合高级别胶质瘤的发展特征。

“肿瘤可能已经发生恶性转化了(图3)。”
术前医生的这句话让我瞬间怔住。怎么可能?一直以来不都被认为是低级别吗?我甚至几乎没有任何症状……

图3:术前即刻轴向FLAIR(左)和2014年4月轴向增强T1加权(右)磁共振图像显示肿瘤体积迅速增大(21cm³),在豆状核的前外侧部分突然出现“环状”对比增强。
手术终于做完了,但最终的病理诊断却彻底击碎了我——胶质母细胞瘤,WHO 4级。
当听到“4级”两个字时,我的大脑霎时一片空白,耳边嗡嗡作响,整个世界仿佛被按下静音键。
我随即开始接受标准的Stupp方案治疗,也就是同步放化疗。
虽然手术本身很顺利,却依然逃不过胶质母细胞瘤极易复发、恶性程度高的残酷现实。生存期依然有限,而我唯一能做的,就是咬牙坚持放化疗,尽力为自己争取更多的时间。在微弱的光亮中,一步一步向前走。
作为建筑师,我深知人生不是一张可以随意修改的蓝图。每一笔线条都需要慎重,每一个结构计算都必须精确。我却在自己的“人生工程”中,错过了合适的“施工期”。
案例来源:Acute progression of untreated incidental WHO Grade II glioma to glioblastoma in an asymptomatic patientJ Neurosurg.2016 Jan;124(1):141-5.DOI:10.3171/2014.12.JNS141851.
胶质瘤都会恶化吗?需要尽早手术吗?
对于现阶段没有出现症状的低级别肿瘤,许多患者及家属常常抱有,再等等再看看的心态,主要是以下几种原因:有可能自己就消退了,再等等看看;没有症状,不严重,等有症状了再说吧;开颅风险多大啊,要是做坏了怎么办?
其实,胶质瘤自行消退的可能性很小,而且还有生长恶化的可能。对于没有症状,由于大脑强大的代偿机制,症状的出现往往滞后于肿瘤的真实进展,这让许多患者误以为“无症状即安全”。
然而,脑肿瘤具有持续生长的特性,一旦错失早期干预的“黄金窗口期”,肿瘤体积增大、级别升高,就像深深扎根的树,治疗难度将成倍增加——症状越重,手术风险越高,术后功能恢复也越困难。

INC旗下Mitchel Berger教授研究分享:对于无症状低级别胶质瘤患者而言,早期手术是安全的,并且正在成为改善无症状患者生存预后的选择。
许多患者和家属其实都明白:手术,始终是应对胶质瘤的核心的手段。可害怕开颅,担心手术风险,所以才迟迟不敢做手术。但随着现代神经外科技术的发展,如果能找到合适的主刀医生,这个问题就会迎刃而解。
- 文章标题:我的低级别胶质瘤术后为何变4级?原来恶化早有征兆,何时手术成关键!
- 更新时间:2025-09-09 13:38:15
400-029-0925




