低级别神经胶质瘤包括弥漫性星形细胞瘤,少突胶质细胞瘤和少星形细胞瘤。神经胶质瘤预后怎么样?现在,在文献中有强有力的证据支持早期手术和更高程度的顺利切除以好转预后。在这篇综述中,我们重点介绍了过去几年中进行的一些重要研究,这些研究专门针对手术时机和切除范围。
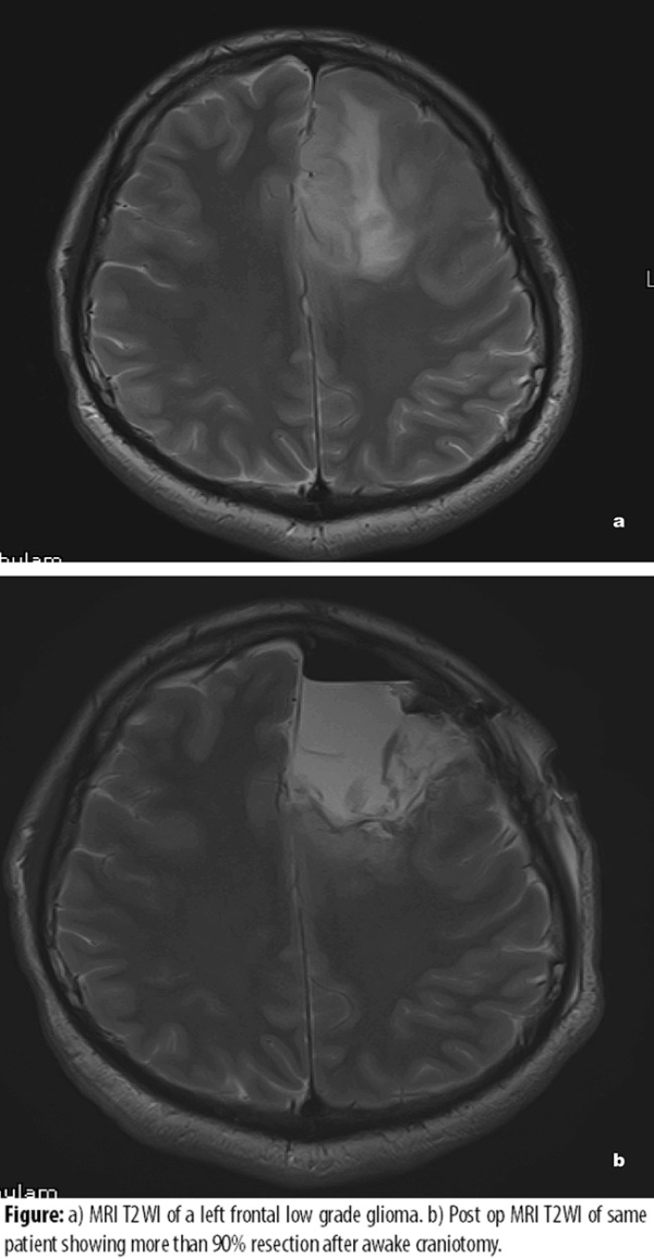
低度神经胶质瘤(LGG)是一组生长缓慢的胶质瘤,但这些肿瘤不经治疗较终也会经历恶性转化并转变为结果较差的高级别肿瘤,甚至恶化为癌症。低度神经胶质瘤是浸润性的,通常位于雄辩的皮层中,并且在大体检查时难以与正常的脑组织区分开,这导致无法完全切除这些病变的固有困难。IDH1突变状态和1p / 19q共缺失的使用的介绍和普及使人们能够更好地了解这些肿瘤的行为,并评估其恶性潜能。早期手术与观察,以及顺利切除的范围是针对这些肿瘤的广泛研究的问题。在过去的三十年中,为数不多的研究试图针对神经胶质瘤家族的这一子集解决这些问题。神经辅助手术,清醒开颅手术,术中电生理监测,术中MRI(iMRI),功能性MRI(fMRI)和纤维束成像等手术辅助设备如今在顺利性更好地切除甚至在雄辩的皮层中起着重要的作用。

1993年,Philippon等人发表了对他们的经验的回顾性分析,并记录了总切除率(GTR)为80%的5年生存率和总切除率(STR)为50%。 Van Weelen等人,在1998年发表了他们的容积结果,切除率大于75%的5年生存率为62%,而切除率小于75%的生存率为18%。Smith等人在2008年进一步阐述了切除体积的相关性,指出切除率达到90-99%时5年生存率能达到97%。他们还将增加的恶性无进展生存期(MPFS)与更高的EOR相关联。在这个大型系列文章中,作者还指出,尽管切除范围广泛,但术前扫描中的大肿瘤与较低的OS,PFS和MPFS相关。同样,McGirt等人在同一年发表了他们的系列文章,显示总切除术(GTR)的95%的5年生存率,近总切除术(NTR)的80%的5年生存率和次全切除术(STR)的70%的生存率,基于术后T2 MRI上残留的FLAIR异常。他们记录了GTR增加的恶性无进展生存期。
2012年,Jakola等人进行了具有里程碑意义的挪威研究,多方位回答了前期手术与等待观察方法的问题。早期手术切除可显着提高总生存率(P = 0.01)。仅活检的中位生存期为5.9年(95%CI,4.5-7.3),而早期切除组的中位生存期未达到。活检的5年生存率估计为60%(95%CI,48%-72%),早期切除为74%(95%CI,64%-84%)。包括的大多数患者被发现患有2级星形细胞瘤。他们在事后分析中对此进行了进一步研究,发现早期手术的结果相似。
大量证据表明,对于低级别胶质瘤来说,前期手术切除而非等待观察是很好的治疗选择,较大水平的顺利切除不仅改变了疾病的自然病史,而且还好转了总生存率以及无恶性进展的生存率。因此,胶质瘤患者应尽早接受外科手术治疗,而非盲目放化疗或一味寄希望于新药和靶向药,如因病变位置深在或周围脑组织结构复杂而被告知“无法手术”,不妨将目光投向国际范围,INC旗下国际神经外科顾问团(WANG)中不乏如德国巴特朗菲教授、加拿大James T. Rutka教授、意大利Concezio Di Rocco教授等擅于治疗高难度脑瘤的神外教授,国内患者如希望获得更佳预后和前沿治疗方案,可拨打400-029-0925咨询INC国际专家远程咨询以获取其咨询意见,以免贻误治疗良机。
参考文献:J Pak Med Assoc. 2017年6月; 67(6):959-961。
- 文章标题:神经胶质瘤预后怎么样?低级别胶质瘤会恶化成癌症吗?
- 更新时间:2020-12-09 17:15:01
400-029-0925




