神经胶质瘤是一种常见于大脑和脊髓的原发性肿瘤疾病,儿童或成人都可能遭遇到脑胶质瘤的侵袭。WHO1-4级代表着肿瘤的恶性程度,WHO 1-2级为低级别的胶质瘤,WHO 3-4级为高级别胶质瘤,也就是我们常说的恶性肿瘤。发生于儿童中的神经胶质瘤通常以低级别居多,经过及时的治疗,短期(小于5年)和中期(5-10年)总体生存率(OS)都很好,但若没有及时发现或没有给予充分重视,则会酿成不可挽回的悲剧。
10岁男孩突发这些症状,持续5个月未好转
一名10岁的男性患者在经历了5个月的精神和神经症状(包括行为障碍、抑郁)以及右肢体和面部力量丧失后,被转院治疗。磁共振成像(MRI)显示弥漫性T2高信号病变累及大脑半球。起初,他在另一家医院接受了甲基强的松龙脉冲疗法治疗急性脱髓鞘疾病(患者有伴发扁桃体炎病史),但相关治疗未曾见效。
抓住元凶,孩子竟得了脑胶质瘤
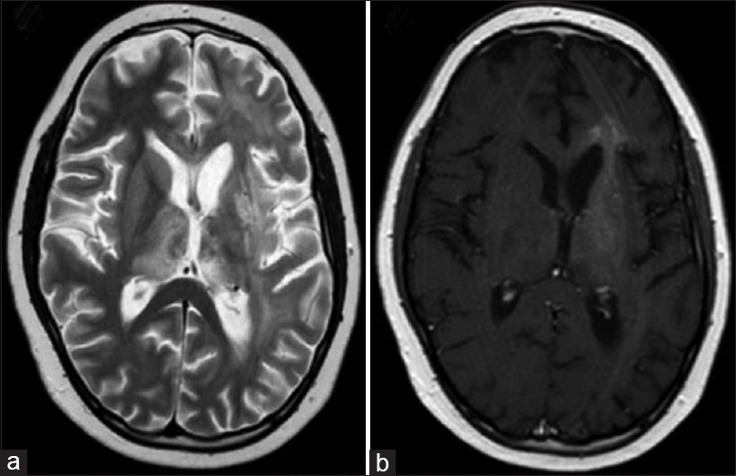
男孩的神经系统检查显示右核上面神经麻痹,上肢近端2级和远端3级,左上肢4级;反射清晰对称,左右两侧有巴宾斯基征。血液和脑脊液检查正常。MRI显示双侧丘脑、基底核和白质弥漫性病变,T1和T2加权像呈高信号,无增强。光谱显示有胆碱峰。患者接受了左顶骨钻孔立体定向活检,无并发症。病理分析显示他患有WHO 3级星形细胞瘤,免疫组化显示胶质纤维酸性蛋白阳性,增殖指数为20%。患者开始接受替莫唑胺化疗并伴随放疗(60戈瑞),可惜的是,30天后,新的核磁共振成像显示病变进一步增长,神经系统逐渐恶化,其父母决定在放疗结束前停止治疗。

图:T2加权像(a)高强度增强,T1加权像(b)显示对比度增强
这名男孩的悲剧结局令人惋惜,同时也发人深思。若能在异常症状发现之初就唤起父母的高度警惕立即进行脑部检查,或在初始治疗无效时就立即求诊于的脑胶质瘤治疗团队,或许会是另一种结局。
关于儿童脑胶质瘤,国际专家怎么说?
警惕儿童突发的恶心呕吐、肢体麻木、癫痫、视觉听觉下降、性格改变等症状,一旦孩子被确诊为神经胶质瘤,应立即求诊于医疗团队,把握治疗时机,这是INC旗下国际神经顾问团(WANG)专家成员James T. Rutka教授多次强调的建议。
阅读:INC之James T. Rutka教授:SickKids医院关于小儿脑瘤的分类
James T. Rutka教授是多伦多大学儿童病院、亚瑟和索尼亚拉巴特脑瘤研究中心主任,他所在的多伦多大学附属儿童医院(The Hospital for Sick Children 或SickKids),名列北美儿童医院前三甲,配备有国际前沿的医疗设备和各学科的医疗人员,神经胶质瘤患者可以在这里得到科学合适的治疗和护理。
Rutka教授在临床上的研究方向以颅内肿瘤为主,对胶质瘤、纤维瘤、颅咽管瘤、室管膜瘤具有多年的临床经验,擅长清醒开颅术、显微手术以及国际前沿的激光间质热疗(LITT)技术。其在儿童脑瘤和癫痫的外科治疗上,也取得了丰厚的成果。国内神经胶质瘤患者及家属可拨打400-029-0925咨询INC国际专家,通过远程或“面对面”视频的方式请专家评估病情,寻求更科学的治疗建议。
参考文献:DOI: 10.4103/1793-5482.150230
- 文章标题:神经胶质瘤是什么症状?警惕这名10岁男孩的悲剧
- 更新时间:2020-12-25 14:15:01
400-029-0925




