2022-05-31 13:00:16
2019-05-31 13:22:00
2019-05-31 13:13:00
2022-05-31 10:21:09
2022-06-02 14:08:15
2019-05-31 13:36:00
2019-06-01 11:18:00
2022-06-01 14:18:35
2019-05-31 13:04:00
2022-06-02 23:40:56
【宝宝胶质瘤案例】俗话说,孩子的事情,再小也是大事。孩子是父母的宝,孩子身上出现的任何问题,都牵动着父母的心。虽然现代医学已经发达,很多...
弥漫性胶质瘤是一种严重的神经系统病变,需要二级护理,属于一级护理病人。这种疾病需要不同护理措施,包括密切观察患者的病情变化、提供基础护理...
弥漫性胶质瘤是一种病因不明的神经肿瘤病症,可能涉及遗传、环境、病毒感染等多种因素。虽然病毒在某些情况下可能参与了病变的发生,但并非全部胶...
一则真实的桥臂胶质瘤患者治疗经历交流 2023年,年轻的女孩嘟嘟(化名)忍着脸部、头部麻木、较度不适的情况下,在社交平台上交流了自己罹患桥臂胶...
在当前国际交流与合作广泛推进的今天,一批国际神经外科教授来华手术,为更多海内外疑难神外疾病患者带来希望。来自美丽的东南亚的38岁男士Norodom(...
【德国脑干胶质瘤案例】我庆幸,各种努力我都尝试过了,现在总算有了一个相对较好的结果,此生终将也无憾了!今年60岁的陈老先生带着患有4级弥漫型脑...
【恶性脑胶质瘤案例】当病友知道我是一个与脑胶质瘤相处18年的幸存者时,他们的脸上总会露出灿烂的笑容。我知道,也很开心,在某种程度上我给他们...
神经胶质瘤是具有与神经细胞即神经胶质细胞相似性质的肿瘤的总称。胶质细胞是与神经元(神经元)一起构成大脑的神经元,但约90%由神经胶质细胞组...
【宝宝胶质瘤案例】俗话说,孩子的事情,再小也是大事。孩子是父母的宝,孩子身上出现的任何问题,都牵动着父母的心。虽然现代医学已经发达,很多...
平均生存期大约半年到2年左右。因为四级胶质母细胞瘤,其恶性程度之高,手术之后很容易发生复发,也是导致患者预后较差的原因之一。对于该疾病,如...
【功能区胶质瘤手术案例】真的难以想象,我们的宝贝女儿如果手术后肢体瘫痪了,她如何过好她这一生,所以我们不遗余力地想找到较好的教授为他手术...
脑干延髓胶质瘤高治愈案例:手术前3天正好是女儿的5岁生日,过生日当天我们全家人心情沉重,本来以为这可能是孩子的较后一个生日,想不到幸运之神就...
多形性胶质母细胞瘤(GBM)是发生于人类中枢神经系统的恶性肿瘤。脑胶质瘤为何会发生转移?高级别脑胶质瘤复发并转移到脊髓如何治疗...
一名6岁的女童在视力检查出现问题后被转介到眼科。经检查,她的左眼视力下降(20/80)和色觉(仅限控制板)。右眼视力和色觉正常。她有一个低振幅,高频摆...
在磁共振成像脑,弥漫性脑干胶质瘤的特点是T1强度降低,异源T2增加。局灶性脑干神经胶质瘤的特征是T1为等信号至低信号至灰质,T2为高信号至灰质。 脑...
【脑瘤治疗案例汇总】INC曾接诊的这四个真实的疑难脑瘤手术案例或许正能解答大家的这些疑问。就这些案例患者而言,术前教授都曾给到他们明确的可以...
脑干作为神经外科领域的手术禁区,其切除难度之高、瘫痪/面瘫等手术风险之大,一直以来都是神外医生们面临的一大挑战。 当IV级 胶质瘤 长在脑干部位...
由于一些颅内肿瘤病变较深,手术有的风险。特别是一些脑干部位的肿瘤,甚至有生命危险。如果肿瘤的性质可以通过活检来确定,那么指导临床治疗就更...
脑胶质瘤案例交流:脑瘤治疗堪比一个战场,对于患者而言,这是一个多么陌生让人恐慌无助需要拼死一搏的战场,而对INC德国巴特朗菲教授来说,这已是...
【视神经胶质瘤案例】INC之德国INI巴特朗菲教授疑难手术病例 幸福的家庭是一样的,不幸的家庭却是各种各样,一个原本平静欢乐的三口之家却被脑瘤这个...
毛细胞星形细胞瘤约占全部儿童脑肿瘤的25%。在磁共振成像中,毛细胞星形细胞瘤通常是一种界限清楚的病变,通常具有囊性和结节状成分,可不均一地增...
【鞍区胶质瘤案例】刚满1岁的宝宝还没来得及长大,却就要匆匆离世。对一周岁脑内较大 胶质瘤患儿 小晴(化名)的父母来说,再没什么比这更痛心、残...
胶质瘤病人千万别做活检检查 胶质瘤病人如果不是必要还是别做活检检查,一活检是有危险的,二活检相当于一场小手术。胶质瘤的病理活检就是取胶质瘤...
【视神经胶质瘤-神经纤维瘤病案例】这些不常见病人的典型表现是神经纤维瘤病,视神经管扩大和视盘苍白,但无祝力视野障碍。两位作者描述了在神经纤维...
脑干胶质瘤在成人中并不常见,约占胶质瘤的2%。根据国际卫生组织对脑肿瘤的分类,脑干胶质瘤主要由星形胶质细胞瘤和少突胶质细胞瘤组成,并被分为...
脑干肿瘤在成年患者中并不常见。出现的平均年龄是生命的四个十年,总生存期约为54-64个月。它们在流行病学数据中占全部脑肿瘤的小于2%。那些仅位于延...
Pilomyxoid astrocytoma of the spinal cord(Report of three cases) 脊髓类胶质瘤星形细胞瘤 (三个案例报告) 英文原文摘要: OBJECTIVE AND IMPORTANCE: Pilomyxoid astrocytoma (P...
成人脑干胶质瘤治好案例,较大的亚组是弥漫性固有脑桥胶质瘤,其特征是MRI上的脑干弥漫性增大,伴或不伴不均匀增强,根据许多作者的说法,这方面可...
神经节细胞胶质瘤是一种少见的、生长缓慢的原发性中枢神经系统(CNS)肿瘤,较常见于颞叶,通常会导致癫痫发作。脊髓神经节细胞胶质瘤较其少见,仅报...
胶质瘤病人千万不要手术需要根据患者的病情来决定,有些患者由于年龄较大、肿瘤恶性程度高等等不适合手术,然而多数胶质瘤患者优选治疗方式是手术...
成年期恶性视神经胶质瘤在病理学上被分类为间变性星形细胞瘤或多形性胶质母细胞瘤。在成年期恶性视神经胶质瘤综合征中,视力的逐渐丧失,视网膜中...
神经节胶质瘤 是一种中枢神经系统的肿瘤,怀疑起源于错构瘤性神经胶质神经病变的常见前体细胞。组织病理学上,这些肿瘤由神经节细胞和胶质细胞组成...
脑室系统肿瘤由多种良性和恶性病变组成,病变位于脑室腔内或由形成脑室系统的神经结构引起。大体可分为轴内病变和轴外病变。临床表现主要是由于脑...
儿童视神经胶质瘤 是一种类型的脑肿瘤,其中癌(恶性)细胞开始在生长组织的大脑。大脑控制着记忆和学习,感觉(听觉,视觉,气味,味道和触觉)和...
全国际每年约有10万人诊断为弥漫性胶质瘤(diffuse glioma);占全部新诊断癌症的1%以下,但其发病率和死亡率均高,其中位生存期一般不超过一年。如果如...
随着外科手术越来越多地应用于神经外科手术技术,包括立体定向活检,以及围手术期护理的发展,这种肿瘤的异质性将通过组织病理学检查得到证实。在...
毛细胞星形细胞瘤,俗称毛星,是一种生长缓慢、边界明显、可伴囊性特点的良性肿瘤,WHO I级,好发于儿童和年轻人。毛星好发部位包括:1.视神经;2.视交...
男性患神经性厌食症的可能性比女性小得多。AN与强迫症(OCD)和人格特征(OCPD)以及情绪和焦虑障碍有关。神经心理特征和情感困难与疾病相关,并可能增加风...
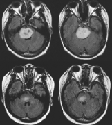
三分之二的患者存在脑积水,60%-75%的患者在出现症状时或初次治疗后不久就需要进行脑脊液分流手术。Rutka教授的丘脑胶质瘤治疗案例CT及MRI显示右侧丘脑...
虽然已有多例脊髓LGGs存在BRAF V600E突变的报道,但尚未见脊髓HGGs存在BRAF突变的报道。在这里,我们报告一个少见的脊髓间变性星形细胞瘤携带BRAF V600E突变...
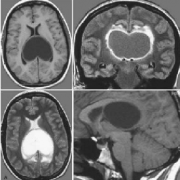
脑膜瘤放疗后并发胶质瘤病例。患者,女,45岁,2011年因间歇性头痛、恶心呕吐,考虑脑膜瘤(图1A、1B)进行头颅MRI检查,然后进行手术治疗,术后病理显示...
突变型弥漫中线胶质瘤案例分析,患者男,37岁,3个月前无发病原因主动右边脸部发麻,右边嘴巴偶感发麻,饮用水有呛着,无疼痛感,无头痛头晕。以往...
目前对于低级别脑胶质瘤的化疗还存在争议,主要包括:化疗的时机、化疗方案的选择、化疗与放疗次序的安排等。根据目前的循证医学证据,对于有高危...
INC教授团队脑干胶质母细胞瘤手术等综合治疗实例,脑干胶质瘤是指起源于中脑、桥脑和延髓的胶质瘤。20世纪80年代之前,受限于当时的神经外科仍处于”...
因突发右肢运动障碍入院。入院时体检:生命体征稳定,神志清醒,自动睁眼,运动失语,右上肢肌力1级,右下肢肌力3级,左肢肌力正常,四肢肌张力正常...
脑出血,又称出血性脑卒中,是神经内外科常见的急性疾病之一,发病快,死亡率高。脑出血的原因因因有所不同。一般来说,50~60岁的群体主要是高血压...
胶质瘤三级,瘤长在功能区一旦动手术,医生说会全身瘫痪,患者本人承受不了。现在决定保守治疗,但没有好的保守治疗方案。” “医生说基底节区,手...
发作性意识障碍伴吞咽动作、双手摸索20年,伴肢体抽搐15年。两种癫痫发作形式:①发作性意识障碍,伴吞咽、摸索,有时有游走,持续1~2min恢复,约1~...
链接/Links: 北京天坛医院 | 首都医科大学宣武医院 | 复旦大学华山医院神经外科 | 脑胶质瘤 | 脑海绵状血管瘤 |