2022-05-31 13:00:16
2022-06-02 14:08:15
2022-05-31 10:21:09
2019-06-01 11:18:00
2019-05-31 13:36:00
2019-05-31 13:22:00
2019-05-31 13:04:00
2022-06-02 23:40:56
2019-05-31 13:13:00
2022-06-01 14:18:35
小儿脑干胶质瘤是低级别严重吗?能不能做手术?脑干胶质瘤在儿童中是一种罕见但严重的脑肿瘤,其严重性主要取决于肿瘤的组织学级别、位置、以及对脑...
手术会刺激胶质瘤生长或恶化吗? 一次常规的体检,竟然在脑子里查出了脑肿瘤!到底要不要手术? 这个问题对于已经出现症状的患者来说,手术的紧迫...
定期复查就好了,说不定一直不会复发。 每年都都定期去医院复查,这一情况已经持续了4年了,肿瘤也没有发现太大的变化,还有在继续复查下去的必要...
延髓低级别胶质瘤是一种较为常见的恶性肿瘤,其复发率是患者和家属关心的问题。延髓低级别胶质瘤的复发率及其影响因素有哪些?下面我们来介绍治疗...
延髓区胶质瘤低级别通常无法治愈,但积较治疗有助于控制病情,提高患者生活质量。延髓区胶质瘤是一种恶性肿瘤,低级别胶质瘤虽然恶性程度较低,但...
低级别胶质瘤 (LGG)是一组异质性肿瘤。目前的证据表明,在切除肿瘤后,高危患者会从即时辅助放疗和化疗中受益,而对于低危患者而言,初步观察(观...
少数已知的预后因素(大多数因素本身具有高度相关性)的差异,例如年龄,病情状态,肿瘤大小/位置,手术切除的程度以及组织学亚型,不足以解释这些...
成人 2级胶质瘤 约占原发性脑瘤的5-10%。这些肿瘤不断、有规律地发生恶性转化,进入3级和4级,恶性转化被认为是患者病程的转折点,其时间点难以评估。...
神经胶质瘤患者的生存期是指从较初诊断到较后随访日期或死亡的年份。性别、诊断年龄、组织病理学、肿瘤位置、往期治疗等都可能是神经胶质瘤预后的...
毛细胞星形细胞瘤约占全部儿童脑肿瘤的25%。在磁共振成像中,毛细胞星形细胞瘤通常是一种界限清楚的病变,通常具有囊性和结节状成分,可不均一地增...
约有9%-20%的PXA在复发时可能发生恶性改变,恶化成为高级别胶质瘤如胶质母细胞瘤的肿瘤可被视为癌症,但低级别的良心肿瘤不被视作癌症。PXA是大脑的促...
儿童胶质瘤 一般以低级别的胶质瘤为主,不同于高级别胶质瘤,低级别胶质瘤的存活期相对较长。然而这些肿瘤都有在术后进展的倾向而较终发生恶变。如...
低级别胶质瘤能恶化成高级别胶质瘤吗?低级别胶质瘤 是由WHO分级系统划分为I级和II级的原发性脑瘤,主要发生于儿童和年轻人。较常见的低级别胶质瘤是...
低级别胶质瘤(LGG)向HGG的恶性转化(MT)过程尚不清楚,但可能涉及控制细胞凋亡信号程序的激活。 在一项比较研究中,一名患者倾向于活检后再采取等着看的...
低级别胶质瘤能治好吗?生存期多久?根据诊断和手术结果,接下来可能会进行放射治疗,以摧毁任何残留的肿瘤细胞。一些小肿瘤患者或非手术患者可单...
胶质瘤较长寿命是多少?低级别胶质瘤患者经过科学治疗可合适延长生存时间、好转生活质量,高级别胶质瘤的生存期相对较短...
小儿低度神经胶质瘤涵盖了不同组织学的异质性肿瘤。小脑毛细胞星形细胞瘤较为常见,其次是幕上弥漫性纤维性星形细胞瘤。那么,儿童低级别胶质瘤容...
低级别胶质瘤的手术时机怎么选?术后是否需要放化疗?什么情况容易恶化为高级比胶质瘤?预后生存期如何?有哪些争议?一文深入解读,一探究竟。...
弥漫性低级别胶质瘤(LGG)是一种异质性的脑肿瘤,其病理的自然历史特征是沿着白质通路缓慢而持续的生长,从而导致固有的高复发和恶变倾向。偶发性低...
弥散性低级别(WHO II级)胶质瘤( 低级别胶质瘤 )在组织学上分为三类:星形细胞瘤,少突胶质细胞瘤和混合性少星形胶质细胞瘤。对于早期治疗参数是...
低级别 胶质瘤 严重吗? 治疗上如何突破困境?低级别胶质瘤的治疗仍是临床神经肿瘤学中较具争议的领域之一。实际上,关于其治疗的关键问题仍未得到...
原发性脑肿瘤是儿童癌症相关死亡和发病的主要原因。毛细胞星形细胞瘤(Pilocytic astrocytomas, PAs)是国际卫生组织(WHO) I级肿瘤,是儿童主要的组织学亚型...
低级别胶质瘤(low-grade glioma,LGG)是一类不常见的、WHO分类为I和II级的、原发的中枢神经系统肿瘤,主要指低度恶性的胶质瘤,而不是良性胶质瘤。病理学上...
在脑恶性肿瘤谱系中,低级别胶质瘤的预后相对较好,生存期通常为几十年。那么,低级别胶质瘤手术预后好吗?开颅手术会造成哪些后遗症?...
儿童 胶质瘤 ,特别是儿童低级别胶质瘤(PLGG),和成人胶质瘤是两类完全不同的肿瘤,所以在治疗上不能参考成人胶质瘤的治疗策略。 据报道,与成人低...
脑胶质瘤化疗方案有哪些?到目前为止,还没有试验比较PCV和TMZ作为DLGG术后或进展中的辅助治疗。较近,两项大型前瞻性研究证实了这一点,包括RTOG9802...
脑部胶质瘤在恶性脑肿瘤中的占比较高,约为81%,会导致较高的发病率和死亡率,但脑部胶质瘤并不等同于癌症,患者切勿消较对待,延误治疗时机...
一级胶质瘤属于低级别胶质瘤,低级别胶质瘤发现的原因多种多样,有的患者是由于症状明显、有的是因为体检、还有一部分患者是由于其他疾病去医院检...
在仅患有胶质瘤面其他方面健康的患者中,惟一能发现的分子遗传学改变是 TP53的突变。TP53定位于17号染色体p13.1...
尽管放射治疗提高了低级别胶质瘤患者的无进展生存期,颅骨照射存在神经认知和神经内分泌功能障碍的已知风险。其他低级别胶质瘤研究也同样报道了基...
低级别胶质瘤级别(二级和三级)是决定其预后的重要因素,也影响患者的个体化治疗。过去常规MRI特征用于区分低级别胶质瘤级别,主要根据肿瘤部位、侵...
儿童低级别胶质瘤(Pediatric low-grade gliomas,PLGGs)是儿童较常见的脑肿瘤,占中枢神经系统肿瘤的30%。尽管死亡率较低,但由于其高发病率和多次复发,它...
放射治疗可以缩小或杀死脑肿瘤细胞。在Memorial Sloan Kettering,我们使用这种方法在前沿工具(如线性加速器和前沿的成像技术)的帮助下治疗 低级别胶质瘤...
医院检查确诊胶质瘤时,李先生不敢相信,但是仍积较治疗。李先生属于出现症状发现肿瘤的,但是也有一些意外情况。文献报道中,有人质疑当影像学检查...
LGGs:低级别胶质瘤的质子治疗。低级别胶质瘤质子治疗合适吗? 低级别胶质瘤是儿童较常见的脑肿瘤,美国每年约有800例确诊病例。 低级别胶质瘤质子治疗...
Abstract The importance of genomic information in intrinsic brain tumors is highlighted in the World Health Organization (WHO) 2016 classification of gliomas, which now incorporates both phenotype and ...
认知缺陷经常出现在脑瘤诊断时,但往往不被识别。神经认知现在被认为是神经胶质肿瘤患者维持生活质量和选择治疗方案的关键功能。认知状态也与胶质...
儿童低级别胶质瘤(LGGs)或胶质神经元肿瘤(WHO分级I或II)是一个高度异质性的实体集合,占全部儿童中枢神经系统肿瘤的25%至30%。小孩得了低级胶质瘤怎么办...
国际卫生组织分类的胶质起源的1、2级胶质肿瘤被认为是低级别胶质瘤(LGGs)。低级别胶质瘤有三种:星形细胞瘤,少突神经胶质瘤,少突-星形细胞瘤。L...
低级别胶质瘤全切会复发吗?胶质瘤是一种由胶质细胞形成的脑或脊柱肿瘤。胶质细胞是中枢神经系统中的非神经细胞或非神经细胞。有四种不同类型的胶...
儿童低级别胶质瘤的治疗方法,目前,儿童低级别胶质瘤的主要疗法是在顺利的情况下对患儿的病灶进行较大范围的手术切除,并在术后对其进行密切监测...
内窥镜在很大水平上被认为是一种微创手术技术,尽量减少手术的侵袭性是大势所趋,这对于很多患者来说是治疗的关键。是的,内窥镜是一个很好的工具...
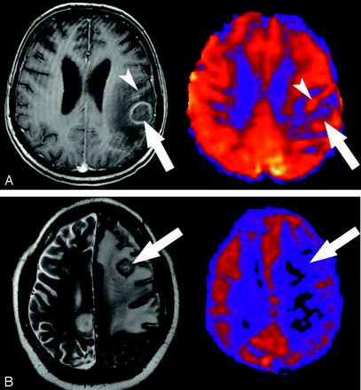
基因表型评估及其与低级别胶质瘤LGG生存及进展的关系,基因表型是LGG的重要病理学特征,与预后和治疗决策直接相关。影像组学方法对于LGG基因表型评估...
一般来说,脑外科手术通常是对低级别胶质瘤患者合适的治疗方法(比以往时候更加顺利)。研究表明,对于接受脑部手术的人来说,医生做的手术切除占...
低级胶质瘤是源于胶质细胞的脑肿瘤,胶质细胞支持和滋养大脑中的神经元。根据细胞在显微镜下的外观,胶质肿瘤分为四个等级。1级和2级胶质瘤被认为...
手术切除通过系列脑电图分析而发现的病灶可以使癫痫活动消失。应用术中皮层脑电监测和致痫灶的切除对于大脑半球低级別胶质瘤并伴难治性癫痫的儿童...
低级别胶质瘤 生存率:遗传信息的出现 Survival and low grade glioma: the emergence of genetic information(低级别胶质瘤生存率:遗传信息的出现) 英文摘要: Signifi...
低级别胶质瘤,一个三基因标记(MN1、HOXA7和SLC2A4RG)可以将低级别的胶质瘤患者分为低风险组和组,前者获得的OS更长。同时,与低风险组相比,组中基质金...
链接/Links: 北京天坛医院 | 首都医科大学宣武医院 | 复旦大学华山医院神经外科 | 脑胶质瘤 | 脑海绵状血管瘤 |