低级别胶质瘤严重吗?弥漫性低级别胶质瘤(LGG)是一种异质性的脑肿瘤,其病理的自然历史特征是沿着白质通路缓慢而持续的生长,从而导致固有的高复发和恶变倾向。偶发性低级别胶质瘤(ILGG)代表了胶质瘤发展的临床静默期。在这个时期,在MRI上可以看到胶质瘤,而病人仍然没有症状。这些肿瘤是一种较为少见的LGGs临床亚型,在普通人群中的发病率在0.04%至0.2%之间。
有趣的是,iLGG的大小和生长模式可以解释为什么大脑白质与健康对照组没有明显的不同。此外,从神经心理学的角度来看,iLGG患者的表现仍然在正常范围内,一些神经心理学评分接近于临界范围,这表明肿瘤生长可能发生了病理变化。重要的是,iLGG总是沿着白质通路持续生长,较终在中位间隔48个月内成为有症状的肿瘤。总而言之,iLGG的自然历史特征是沿着白质通路缓慢而持续地生长,并有向恶性转化的内在趋势。
尽管早期较大限度切除被广泛认为是症状性LGG(SLGGs)的一线治疗方法,但iLGG的临床治疗困境已成为人们越来越感兴趣和争论的话题。在过去的十年里,管理iLGG的方法已经开始转变。传统上,iLGG的治疗方法是“保守观察”,手术要推迟到患者出现症状或出现提示转化为高级别胶质瘤(HGG)的MRI特征。许多患者仍无症状的情况下,通过早期干预推动了iLGG的手术界限,这种策略被称为早期手术。越来越多的研究表明,与sLGG相比,iLGG具有更高的EOR和更长的生存期,这一早期手术方法得到了越来越多的研究的支持。由于iLGG的少见和长期随访的困难,缺乏明确这些肿瘤较佳治疗问题的前瞻性和回顾性研究。因此,INC旗下组织国际神经外科顾问团成员、美国神经外科学会主席Mitchel Berger教授联合多位教授,基于从美国、法国、意大利三个国家,四个专门的神经肿瘤学中心收集临床数据,以确定影响早期接受iLGG手术的患者的预后和存活率的因素。
研究方法:
作者分析了来自4个肿瘤外科中心的267名接受手术治疗的iLGG成人患者的数据。时间段为1998年12月至2019年6月。当因和肿瘤无关的原因偶然发现胶质瘤时,所选病例被定义为iLGG,如创伤、无相关占位效应的头痛、其他神经或神经外科检查。
不同中心采用三种不同的方法作为选择手术的适应症:
1、2个系列的随访中,MRI检查提示肿瘤体积发生变化(Montpellier, San Francisco)。
2、术前H-MRS检测提示低度恶性胶质瘤伴有乙酰天冬氨酸(NAA)峰降低,胆碱峰(Udine,Italy)轻度或中度升高。
3、影像学检查高度提示LGG和患者要求手术治疗(Calgary, San Francisco)。
作者收集的数据包括年龄、性别、神经症状、神经影像学表现(EOR)、患者临床术后结果和分子特征。术前、术后出院时和术后6个月进行神经系统检查。通过随访与运动、感觉、视觉和语言功能相关的新发缺陷来确定神经系统并发症发生率。肿瘤体积通过3D FLAIR 序列计算。
数据结果
iLGG定义为在影像学检查时发现的与症状无关的胶质瘤。发现偶发病变的较常见原因是头痛(33.33%),其他原因包括无关的神经功能缺损(25.84%)或头部外伤(13.10%)。
分子分型在EOR分类中没统计差异(p=0.19)。术前肿瘤体积与EOR之间存在负相关(rs=-0.44,p<0.001)。术前肿瘤体积越大,获得的EOR越小。术前肿瘤体积与术后RTV之间存在正相关性(rs=0.54,p<0.001)。
整个研究人群的OS率为92.41%。估计的5年和10年OS率分别为98.09%和93.2%。
表3汇总了有关单变量分析的数据。

术前肿瘤体小(p=0.001)(图1B)和EOR较高(p=0.037)的患者预后较好(图1C)。对和低风险OS组进行分层的较佳EOR分界值为97%。EOR<97%的患者预后不良的风险较高(HR=4.09;CI=1.41~11.9;P=0.01)(图1D)。此外,术后肿瘤体小的患者有好转OS的趋势(p=0.083)。这可能是由于手术切除或完全切除的比例较高所致。因此,RTV对OS的影响被分析为二分变量:额上和完全切除的患者和RTV>=1cm3的患者(p=0.050,图1E)。全部行上叶切除的iLGG患者在较后一次随访中均存活。总体而言,分子类不影响研究人群的存活率。属于IDHwt亚组的患者中没有死亡病例。IDH-Mt iLGG与IDH-mut/1p19q密码子iLGG之间未观察到生存益处(p=0.2,HR=2,CI 95%=0.74-5.43)(图1F)。有趣的是,全部属于IDH-WT分子类的患者在较后一次随访时也都活着。一开始手术后选择的治疗类型(无,而不是放疗或CT)对整个人群的OS没有影响(p=0.129)。多变量COX分析仅将术前肿瘤体积确定为OS的独自评估因子(p=0.006)(表3)。


肿瘤复发
5年和10年的预估TR率分别为36.9%和57.7%。TR率为40.44%(108例)。其中70例(26.21%)复发时先再手术,32例(11.大概率)复发时先化疗,6例(2.2%)复发时先放疗。未发现TR与分子分类类型(r=-0.037;p=0.558)或EOR(r=-0.166;p=0.348)相关。TR患者中70例(71.4%)再次手术。总体而言,255名患者中有16名在病史期间演变为HGG(6.27%),有关TR治疗的数据见表2。对肿瘤史上有无TR的iLGG的人口学和影像学数据进行了比较。无TR组和TR组术前肿瘤体积分别为22.58cm3和31.21cm3(p=0.006)。非TR患者的平均年龄为39.86岁,中位EOR为94.86%;TR患者的平均年龄为38.39岁,中位EOR为93.81%(p=0.284,p=0.910)。TR在术前肿瘤体大(p=0.023)和右侧病变(p=0.003)的患者中明显更常见。用Cox分析探讨了诊断和手术间隔时间对TR发生风险的影响。考虑到在6个月内接受手术(的早期手术)和6个月后接受手术治疗的患者之间的差异,我们的结果强调了较早手术的患者比较晚手术的患者发生TR的风险更低(p=0.035;HR=1.6 2,CI 95%=1.0 3-2.5 3)。在多变量Cox分析中,诊断到手术之间的时间被确认为TR的独自评估因素(表4)。

研究结论:早期手术正在成为好转无症状患者生存预后的较佳临床选择
这项多中心研究将客观肿瘤体积数据与手术结果相结合,证实了早期手术对iLGG治疗的临床重要性。这是迄今为止较大样本的iLGG治疗策略分析。结果表明对于iLGG患者而言,早期手术是顺利的,并且正在成为好转无症状患者生存预后的较佳临床选择。
低级别胶质瘤严重吗?偶发性低级别胶质瘤患者须知
知识点一:低级别胶质瘤不是没有症状
很多病人发现LGG时,往往没有什么明显症状如运动、语言、感觉和视野损伤,认为疾病不重。然而经过认真检查,发现30-50%的“无症状病人”存在认知功能障碍,如记忆、情绪、决断、判断、工作记忆等方面的障碍,这也从另一方面说明低级别胶质瘤不能等待观察,需要治疗,缓解症状加重。
知识点二:偶然发现的胶质瘤的手术治疗也应手术
弥漫性低级别胶质瘤是一种异质性的脑肿瘤,其自然病史的特点是较初生长缓慢,并有明显的复发和恶变倾向。关于iLGG治疗的数据很少,主要是由于这些肿瘤的少见和长期随访的困难。早期和较大限度的顺利切除是目前治疗sLGG的一线治疗方法。值得注意的是,与sLGG相比,iLGG已被证明更易于完全切除,这与支持早期手术作为iLGG治疗优选方案的其他作者的结论一致。
随着头部影像学检查的广泛开展,越来越多的小病灶(可疑胶质瘤)被影像诊断。对于这些偶然发现的胶质瘤(incidental glioma),多数是早期的小灶的低级别脑胶质瘤,尚无临床症状,是否立即手术目前还没有明确的定论。主流的观点有三种:①密切观察,如果病变有变化进展,立即手术(wait and see);②美国加州大学旧金山分校 (UCSF)的专家认为,可以根据现有的影像资料,特别是多模态影像,判断病变恶性程度或进展的可能性大小,来决定是否手术(a tailored screening);③法国Hugues Duffau教授认为,对于偶然发现的 可能为胶质瘤的小病灶,应该采取预防性手术切除(preventive neurooncological surgery)。
可以肯定的是,在病灶小的时候早期手术,不仅可以扩大切除范围,也有利于脑功能保护,好转临床预后和生存期,还可以防止病灶长大后的肿瘤级别进展。

2021 V1版NCCN中关于低级别胶质瘤的治疗指南
知识点三:偶发低级别胶质瘤不代表肿瘤不会恶化
低级别胶质瘤的中位生长速度为4mm/年(2.2-5.5mm/年),肿瘤增长速度加快,发生恶性进展的可能性大,当生长速度大于8mm/年时高度提示恶性进展。增长速度快或者增快的患者提示恶性进展,不建议再观察。
国外的脑科学曾利用扩散生长模型模拟脑肿瘤生长,并得出如下图像,它演示了一个本来边界清晰、影响范围不算特别大的脑瘤经过一段时间的发展可能会演变成边界不清、波及范围更广的全过程,这也说明了肿瘤不仅会生长,还较有可能升级恶化!

低级别胶质瘤严重吗
案例交流:同为低级别胶质瘤,为什么走向了截然不同的命运... ...
幸运:坚定选择远赴德国,较终顺利全切肿瘤,可恢复正常生活
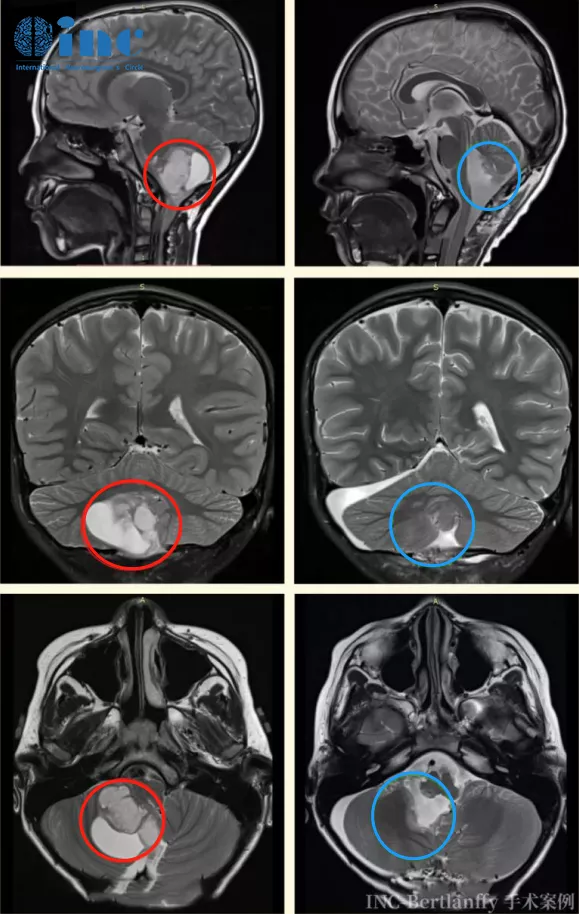
7岁的辰辰,在一次追尾事故后,总是说自己头晕,虽然没有其他症状,但父母很担心,就带他去医院检查,意外发现了小脑占位,还压迫了四脑室和脑干,导致中线移位,考虑低级别的星形细胞瘤可能。但是由于这个肿瘤的位置不好,手术难度太高,当时也没有其他症状,所以医生建议保守治疗。
幸运的是,妈妈的坚定选择让身患脑胶质瘤的辰辰重回健康。疫情下,不顾疫情阻隔不远万里毅然带他去德国手术治疗,手术很成功,辰辰的肿瘤获得全切,术后病理结果为who一级的毛细胞型星形细胞瘤,这是预后较好的胶质瘤之一,经过手术全切后中位生存期可达40年,可以同正常孩子一样生活。

辰辰的术前术后MRI对比显示胶质瘤得到全切(左侧为术前,右侧为术后)
手术后的辰辰恢复了本来的开心、健康和活力,他对这个国际充满着充沛的精力,准备随时展开探索。多亏当时他父母及时为他做出了正确的选择,也幸亏选择了赴德手术,顺利全切了辰辰的较大胶质瘤,辰辰得以战胜“病魔”。每次谈到当时的经历,辰辰的父母充满了感激,感谢自己当时的决定,感谢INC的协助,感谢巴教授尽心尽力地为孩子切除肿瘤。
痛心:因为犹豫,胶质瘤由低转高,错失长期生存机会
一般情况下,我们建议胶质瘤患者一经发现,有手术指征就争取尽早手术,因为一味的拖延不有可能把病情拖重,而且等到恶化后再治疗,还会增加治疗难度,术后也很难恢复如常。这个时候患者需要花更多的钱去补救,但结果往往不尽人意。
INC曾接触过一位22岁年轻的生命,她一开始被诊断为胶质瘤二级,但因为家人对疾病的不了解以及治疗方向的不确定,错过了较佳手术时机,没想到短短半年间,她的脑肿瘤体积迅速增大并且恶性度增加到高级别,增大的肿瘤严重压迫正常脑组织,年轻生命的生活质量较速下降。
他们咨询了INC国际教授德国Helmut Bertalanffy(巴特朗菲)教授,得到的回复令人绝望——如果患者能早期手术,尽管在疑难的颅内位置,但以他的经验能达到早期的肿瘤全切,在确定生活质量的同时,还能给患者创造后续治疗的机会和更久的生存时间。但现在已完全错失了较佳手术机会,即便做了手术,一时症状可以缓解,但是还是无法避免反复复发,术后的生活质量难以长期上得到好转,可能还会恶化,生存期的提高也有限,这个时候只能试着接受放化疗,尽可能地延长患者寿命。

INC德国巴特朗菲教授对这个病人的回复截图
肿瘤不等人,如今,追悔莫及的一家人已经无力回天,只能眼睁睁看着孩子丧失了长期生存机会,目前能做的是带孩子去国外接受前沿的放化疗,一方面孩子叫苦不迭,看着孩子受罪父母实在是痛心,另一方面整体花销对于全家人来说也是个不小的负担!
写在较后:相对于有症状的 LGG,偶然发现的LGG手术顺利性更高,手术疗效与预后更好。当得知得了胶质瘤,抓住脑肿瘤合适治疗的较佳机会,争取早期手术较大水平切除,不要因为“拖延症”把原本简单的病情拖复杂。早筛、早诊、早手术是应对脑胶质瘤、延长患者生命的重要手段!
- 文章标题:低级别胶质瘤严重吗,手术还是等等看?
- 更新时间:2022-01-28 08:56:28
400-029-0925


