枕叶是大脑皮层的后部,位于头部的下背部。枕叶主要负责:接收和处理可视信息,包含有助于感知形状和颜色的区域。枕叶是我们视觉感知系统的中心。在这个大脑区域是视觉信息处理。来自眼睛的信息进入这里并被处理。枕叶胶质瘤可能会导致完全或部分失明、对视觉信息的误解、文字理解问题以及癫痫发作。左枕叶胶质瘤严重吗?

枕叶图示
神经胶质瘤是一种起源于大脑或脊柱神经胶质细胞的肿瘤。胶质瘤约占全部脑肿瘤和中枢神经系统肿瘤的30%,占全部恶性脑肿瘤的80%。胶质瘤根据核分裂像、异型性、细胞增殖速度进行分级,1级和2级一般称低级别胶质瘤,通常具有更好的预后结局。3级和4级胶质瘤被认为是高级别胶质瘤,未分化或间变性,预后较差。胶质母细胞瘤(GBM)是常见、具有侵袭性且高度恶性的原发性脑肿瘤。
左枕叶胶质瘤严重吗?
枕叶胶质瘤较初的症状是癫痫样发作占30%;视觉先兆或视幻觉占125%;一般性精神障碍占17%;头痛占35%;短暂或进行性视力衰竭占15%;斜视占2.5%。只有12.5%的人的较初症状表明视觉通路受到影响。
枕叶肿瘤不同症状的相对频率为:视幻觉25%,视野异常症状16%,癫痫样发作52.5%,幻听5%,味觉异常12.5%,头痛95%。;复视,22%;视力受损,57%;言语障碍,35%;自发主观感觉,30%;运动功能障碍,52%;精神症状,55%。
对病人的重要检查结果如下:精神变化,60%;对侧同向视野缺陷,94%;乳头状水肿或视神经萎缩,70%;瞳孔不均,35%(对侧瞳孔较大者占25%);眼轻瘫,通常是外直肌,30%;眼球震颤和眼球震颤抽搐,35%;语言功能紊乱,30%。(50%,左侧肿瘤);丘脑上型感觉障碍,55%;轻度运动障碍,通常在对侧肢体,90%。
大多数病例的视野改变仅发生在对侧视野的一半。在个别病例中,视野显示:(a)完全偏盲到固定点;(b)不完全偏盲,中心视野间隔;(c)象限缺损;(d)周边新月体缺损-;和(e)无异常变化。当视力下降时,视野的同心收缩有时会增加上述变化。
尝试将症状和体征分为局灶性、邻近性和颅内压增高引起的症状和体征。局部症状和体征仅限于未成形的幻觉和视野扭曲。邻近的症状和体征在定位上有相当重要的意义,除了语言障碍外,可能是肿瘤周围水肿或血管改变,或是邻近结构受到压力的结果,有时由于幕上压力升高而增加。在某些情况下,由于压力增加而引起的症状和体征令人困惑,增加了定位错误的风险。
在大多数病例中,颅内压升高的症状从一开始就占据了临床的主导地位;少数癫痫样发作出现了一段时间;另一些病例则有长达两年的颅内压增高加重史。
左枕叶胶质瘤治疗策略解读:顺利全切是一线治疗
胶质瘤切除越完全,治疗的效果也就越好,但是由于胶质瘤位于脑组织这样一个不同的部位,不能把周围肿瘤侵犯的脑组织无限制的切除,造成严重的功能损害甚至是死亡,只能是在较大水平保护病人功能和顺利的情况下较大水平的切除肿瘤。而胶质瘤手术切除中在保护病人功能和顺利以及切除肿瘤之间选择合适的平衡点,则是对神经外科医生技术和能力的较大挑战。
神经外科医生需要根据胶质瘤的位置、大小、可能的病理性质,选择较合适的切除方式。
对于位于枕叶的胶质瘤,脑叶切除术是较完全的手术切除方式,也就是切除术前影像学上的肿瘤及其周边可能侵犯的脑组织,一直到周围正常的硬脑膜颅骨等结构。因为胶质瘤是生长在脑组织内的,切除到了这些部位后,这些位置已经只剩下空腔而没有脑组织了,所以也就不存在胶质瘤复发和生长的机会了。那有人会问,切除了这些脑组织对病人生活有影响吗?答案是没有太大影响或者影响小,因为切除的这部分胶质瘤侵犯的脑组织是相对的功能“哑区”,所以切除后并没有太大的影响。
但是很多胶质瘤并不能按照脑叶切除的方式进行完全的切除,因为这些肿瘤是毗邻重要的功能区,这种胶质瘤就要在显微镜下沿着胶质瘤周围的水肿带进行分离,根据胶质瘤在颜色、质地、血供等与正常脑组织的细微差别来进行辨别和切除。也就是按照胶质瘤的解剖边界进行切除,这就特别需要外科医生的经验了,如果切除程度把握稍有不准,就可能出现切除过多而影响功能比如偏瘫。失语等,切除过少就会导致胶质瘤残留过多,容易复发。
枕颞叶胶质瘤案例一则
患者:男7岁
临床诊断:枕颞叶占位性病变。
病史:患者近半月来频繁头痛,MRI检查:右侧枕叶、颞叶4.0*3.9*4.0cm囊实性占位,多考虑胚胎来源肿瘤。患者无发热,呕吐等情况,神经系统查体无明显阳性体征。
术者:德国INI国际神经学研究所Helmut Bertalanffy(巴特朗菲)教授
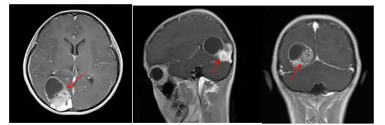
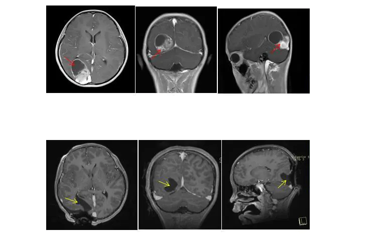
术前影像:右侧枕颞叶囊实性占位,边界清晰,囊壁及实性部分强化明显。

手术:Betalanffy教授研究了患者的病历资料,决定采取右顶枕骨成形开颅术,对肿瘤进行扩大切除。
手术历时4小时,术后患者被送往神经外科监护室,术后情况稳定,没有颅内出血,积气等。术后二天早上患者转入普通病房,并开始进行下床锻炼。
手术切口:

术后影像:术后肿瘤占位被全部切除,无出血迹象,无颅内压增高迹象,术后咬合正常,骨盖位置正常。

术后一周,患者情况稳定,能自行行走,跟入院前基本情况一致。予办理出院。
术后病理证实为:节细胞神经胶质瘤(DIG),WHO:I级。

术前术后影像对比:

总结:手术治疗是欧洲、美国、日本等标准治疗方案的首要手段,放化疗只是辅助治疗手段,放化疗效果好的前提是手术的高切除。2019年10月发表于Journal of Neuro-Oncology(IF:3.129)的一篇论文通过美国国立癌症研究所SEER数据库,对1975-2016年全部经过手术治疗的成人脑干高级别胶质瘤(HGG)生存数据研究发现,肿瘤全切程度越高,患者的生存率也提高。
枕叶位置只要手术得当是可以顺利全切甚至扩大切除的。与其花再多钱、花再多时间和精力放在不够完全的放化疗上,不如一次性选择一台高质量、顺利性有保障的完整切除手术,这也意味着患者术后更长时间的不复发、更好的生活质量(少或无神经功能损伤)乃至更长的生存周期。的肿瘤切除术省去了大量的ICU护理费用,节省了治疗副作用、并发症的费用,甚至省去了大量的康复费用,总体而言,就整个治疗周期和生存周期来说,既获得了良好的生活质量,也节约了总的治疗费用。
- 文章标题:左枕叶胶质瘤严重吗?
- 更新时间:2020-07-15 11:06:29
400-029-0925




