INC神经外科-国内中文
胶质瘤
联系INC
寻求咨询意见
出国看病咨询电话400-029-0925

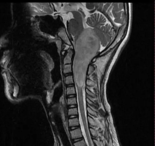
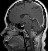
延髓胶质瘤

INC——国内外神经外科学术交流平台

INC > > 延髓胶质瘤

相关文章

  • 脑干延髓胶质瘤能治愈吗?怎样治疗?

    脑干延髓胶质瘤能治愈吗?怎样治疗?

    2024-07-24 16:56:19

    脑干延髓胶质瘤能治愈吗?怎样治疗? 脑干延髓胶质瘤是一种位于脑干,是延髓部位的神经胶质细胞肿瘤。由于其位置不同,紧邻控制生命体征如呼吸、心跳...

  • 脑干胶质瘤延髓占位严重吗?

    脑干胶质瘤延髓占位严重吗?

    2024-06-17 14:00:39

    脑干胶质瘤延髓占位严重吗?脑干胶质瘤延髓占位确实是一种严重的情况。脑干是连接大脑和脊髓的重要结构,控制着多种生命功能,如呼吸、心跳、血压等...

  • 脑干延髓胶质瘤能治好吗?

    脑干延髓胶质瘤能治好吗?

    2024-06-04 18:34:01

    脑干延髓胶质瘤能治好吗?脑干延髓胶质瘤的治疗难度较大,整体治愈率较低。脑干延髓胶质瘤是一种发生在脑干延髓部位的肿瘤,属于中枢神经系统肿瘤的...

  • 延髓胶质瘤压迫视神经吗?

    延髓胶质瘤压迫视神经吗?

    2024-05-11 17:01:49

    延髓胶质瘤压迫视神经吗?延髓胶质瘤是一种发生在延髓部位的神经胶质细胞肿瘤,它可能会对周围的脑组织和神经结构造成压迫。由于视神经位于颅内深处...

  • 延髓占位胶质瘤怎么办?怎么治疗?

    延髓占位胶质瘤怎么办?怎么治疗?

    2024-04-26 17:38:12

    延髓占位胶质瘤是一种常见的恶性肿瘤,延髓占位胶质瘤怎么治疗效果好?手术是其主要治疗方法。由于延髓位置复杂,手术经验丰富的主刀医生是关键。...

  • 脑干延髓较大肿瘤案例,进入。。。的5岁女孩活了下来

    脑干延髓较大肿瘤案例,进入。。。的5岁女孩活了下来

    2022-08-12 22:49:45

    脑干延髓胶质瘤高治愈案例:手术前3天正好是女儿的5岁生日,过生日当天我们全家人心情沉重,本来以为这可能是孩子的较后一个生日,想不到幸运之神就...

  • 脑干延髓肿瘤顺利全切可能吗?两则成功案例交流

    脑干延髓肿瘤顺利全切可能吗?两则成功案例交流

    2020-10-21 11:36:29

    德国巴教授关于脑干延髓胶质瘤顺利全切的要点分析...

  • 延髓胶质瘤症状有哪些?延髓肿瘤手术成功率

    延髓胶质瘤症状有哪些?延髓肿瘤手术成功率

    2021-03-13 14:10:58

    延髓肿瘤手术成功率,脑干胶质瘤部位不同,临床表现也有各自的特点。桥脑胶质瘤常表现为共济失调、面瘫、外展神经麻痹等;一般而言,只要能获得尽...

  • 41岁延髓胶质瘤全切案例报告一则

    41岁延髓胶质瘤全切案例报告一则

    2021-01-07 11:44:40

    脑干肿瘤在成年患者中并不常见。出现的平均年龄是生命的四个十年,总生存期约为54-64个月。它们在流行病学数据中占全部脑肿瘤的小于2%。那些仅位于延...

  • 脑胶质瘤概述之:脑干延髓胶质瘤预后如何?

    脑胶质瘤概述之:脑干延髓胶质瘤预后如何?

    2021-03-08 13:50:51

    延髓是人类大脑重要区-脑干的一部分,延髓胶质瘤能否切除?不同级别的延髓胶质瘤预后如何...

  • 脑干-延髓胶质瘤能活多久?

    脑干-延髓胶质瘤能活多久?

    2021-06-21 11:06:11

    脑干胶质瘤在儿童脑肿瘤中占10%,在成人脑肿瘤中占不到2%。成人脑干胶质瘤组织学上大多为低级别,主要发生在脑桥,较少发生在延髓和中脑。脑干-延髓...

  • 脑干延髓-颈髓胶质瘤治疗困境怎么破?INC国际神外教授Rutka论述

    脑干延髓-颈髓胶质瘤治疗困境怎么破?INC国际神外教授Rutka论述

    2021-08-24 11:19:18

    INC之Rutka教授脑干延髓-颈髓胶质瘤治疗策略解析...

  • 延髓胶质瘤是绝症吗能治好吗?

    延髓胶质瘤是绝症吗能治好吗?

    2021-06-21 10:47:08

    延髓胶质瘤是绝症吗能治好吗?延髓是胶质瘤中较不常见的位置,包括局灶性背外生性、局灶性、弥漫性和颈髓连接变异。颈部延髓肿瘤通常代表向上延伸...

  • 局灶性脑干胶质瘤术中管理的进展及中脑、桥脑、延髓等不同位置的胶质瘤手术方法

    局灶性脑干胶质瘤术中管理的进展及中脑、桥脑、延髓等不同位置的胶质瘤手术方法

    2020-12-10 16:12:16

    在现有的iOM技术中,BSM和皮质脑干束运动诱发电位监测(CBT-MEP)是脑干胶质瘤手术中较有用的方法。国家神经科学中心的研究小组在2009年一次报道了在术...

  • 延髓胶质瘤是绝症吗?延髓胶质瘤的发展速度

    延髓胶质瘤是绝症吗?延髓胶质瘤的发展速度

    2022-09-02 15:30:52

    延髓胶质瘤是绝症吗? 延髓胶质瘤不能治愈,也算是绝症,但可以通过积较治疗。 延髓胶质瘤是一种恶性颅内肿瘤,诊断后需要手术切除术后进行病理检...

  • 脑干延髓-颈髓胶质瘤手术难度大吗?

    脑干延髓-颈髓胶质瘤手术难度大吗?

    2022-08-24 10:44:42

    延颈髓作为人体的呼吸循环中枢所在地,过去对于延颈髓肿瘤特别是髓内胶质瘤的处理存在较大风险,死亡率较高,但随着现代显微神经外科技术的发展,对于延...

  • 延髓胶质瘤是什么?

    延髓胶质瘤是什么?

    2022-06-09 11:52:35

    延髓胶质瘤是绝症吗? 延髓胶质瘤是一种恶性颅内肿瘤,因此在诊断后,首先需要在手术切除后进行病理检查,然后根据病理分析确定下一个治疗方案。如...

  • 延髓胶质瘤手术成功率:看INC国际教授为15个月大男孩成功全切手术

    延髓胶质瘤手术成功率:看INC国际教授为15个月大男孩成功全切手术

    2022-08-24 16:23:48

    延髓胶质瘤属于脑干胶质瘤的异质组。这些肿瘤起源于髓质,并可延伸至邻近结构,如脑桥、小脑下梗、小脑和脊髓上部。脑胶质瘤发生在儿童和成人患者...

  • 延髓胶质瘤是绝症吗?

    延髓胶质瘤是绝症吗?

    2022-08-22 16:29:31

    延髓胶质瘤是绝症吗?脑干肿瘤在成人患者中很少见。出现的中位年龄为生命的四个十年,总生存期约为54-64个月。它们占流行病学数据中全部脑肿瘤的2...

  • 脑干延髓胶质瘤的症状,延髓胶质瘤的晚期症状

    脑干延髓胶质瘤的症状,延髓胶质瘤的晚期症状

    2023-02-02 17:02:18

    脑干延髓胶质瘤的症状 脑干胶质瘤主要表现为肢体虚弱、视力障碍、步态障碍,部分患者可能出现吞咽困难、饮水呛咳、斜颈等后组神经损伤。上述症状主...

  • 延髓胶质瘤手术成功率、手术时间、费用

    延髓胶质瘤手术成功率、手术时间、费用

    2022-09-02 14:43:44

    延髓胶质瘤手术成功率 延髓胶质瘤的成功率因人而异,与肿瘤的性质、生长部位和大小密切相关。一般来说,对于脑膜瘤、神经鞘瘤等良性肿瘤,大多数患...

  • 脑干延髓胶质瘤的症状(早期症状、晚期症状)

    脑干延髓胶质瘤的症状(早期症状、晚期症状)

    2022-09-02 15:59:22

    脑干延髓胶质瘤的症状 脑干胶质瘤患者的临床症状胶质瘤患者的临床症状也不同。共济失调主要表现为早期共济失调、颅神经损伤和锥体束征等症状。晚期...

  • 胶质瘤开颅手术成功率,延髓胶质瘤手术成功率

    胶质瘤开颅手术成功率,延髓胶质瘤手术成功率

    2022-11-21 14:07:07

    胶质瘤开颅手术成功率 胶质瘤开颅手术的成功率一般在40%~60%之间,具体成功率要根据肿瘤的位置来确定。 如果胶质瘤的位置不压迫脑神经,手术成功率较...

  • 延髓胶质瘤治愈的几率大吗?

    延髓胶质瘤治愈的几率大吗?

    2022-09-02 14:26:19

    延髓胶质瘤治愈率小,无法治愈。 事实上,不同病理类型和不同层次的胶质瘤预后差异很大。有些类型的胶质瘤可以存活10多年,甚至可以完全治愈。有些...

  • 延髓胶质瘤手术后需要化疗吗?可以活多久?

    延髓胶质瘤手术后需要化疗吗?可以活多久?

    2022-09-02 14:49:54

    延髓胶质瘤手术后需要化疗吗? 延髓胶质瘤手术后是否需要化疗取决于患者胶质瘤的病理分析,包括常规病理分析和分子病理分析。一般来说,一部分延髓...

  • 延髓胶质瘤质子治疗(延髓胶质瘤保守治疗)

    延髓胶质瘤质子治疗(延髓胶质瘤保守治疗)

    2022-09-02 14:43:36

    延髓胶质瘤质子治疗 延髓胶质瘤质子治疗是指氢原子在旋转加速器或同步加速器中的高能加速,从而成为穿透力强的质子射线,然后利用这些质子射线瞄准...

  • 胶质瘤一级术后生存期,延髓低级别胶质瘤能活多久

    胶质瘤一级术后生存期,延髓低级别胶质瘤能活多久

    2023-02-02 16:57:13

    胶质瘤一级术后生存期 一级胶质瘤全切后的寿命一般可长期存活。 胶质瘤是一种起源于神经胶质细胞的颅内肿瘤。儿童常见症状包括性格变化,由温和变...

  • 延髓胶质瘤发展速度快吗?能活多久?

    延髓胶质瘤发展速度快吗?能活多久?

    2023-12-27 13:38:28

    延髓胶质瘤发展速度快吗?能活多久?延髓胶质瘤是一种具有侵袭性的脑干肿瘤,通常发展速度较快。每个患者的病情和预后都是独特的,无法给出确切的...

  • 延髓胶质瘤保守治疗、延髓胶质瘤质子治疗

    延髓胶质瘤保守治疗、延髓胶质瘤质子治疗

    2023-02-02 16:20:22

    延髓胶质瘤保守治疗 对于胶质瘤来说,没有所谓的保守治疗方案。多数胶质瘤患者应该积较采取手术治疗,通过手术完全切除胶质瘤,术后留下少量肿瘤组...

  • INC巴教授10多位高难度脑干延髓肿瘤患者亲历:相信奇迹会发生!

    INC巴教授10多位高难度脑干延髓肿瘤患者亲历:相信奇迹会发生!

    2024-03-18 09:19:20

    在医学领域,脑干肿瘤和颅底肿瘤疾病一直被称为手术禁区。能闯进这个禁区,并不断挑战一个个险峰的医生,不仅要艺高胆大,更要有非凡的勇气和毅力...

  • 延髓占位胶质瘤手术费用多少?

    延髓占位胶质瘤手术费用多少?

    2024-03-07 16:18:05

    延髓占位胶质瘤手术费用多少?延髓占位胶质瘤的手术费用是一个复杂的问题,因为它受到多种因素的影响,很难给出一个确切的数字。而延髓占位胶质瘤...

  • 延髓胶质瘤手术之后有什么后遗症?

    延髓胶质瘤手术之后有什么后遗症?

    2023-12-27 14:03:34

    延髓胶质瘤手术之后有什么后遗症?延髓胶质瘤是一种少见但严重的恶性肿瘤,而外科手术切除在治疗延髓胶质瘤中扮演着重要的角色。手术切除可以直接...

  • 延髓胶质瘤手术成功率,胶质瘤开颅手术成功率

    延髓胶质瘤手术成功率,胶质瘤开颅手术成功率

    2022-10-31 13:59:26

    延髓胶质瘤手术成功率 延髓胶质瘤手术的成功率通常与自身情况有关。如果是良性肿瘤,手术成功率通常较高,如果是恶性肿瘤,手术成功率一般不太高。...

  • 脑干延髓节细胞胶质瘤首刀后状态不佳,还有二次手术机会吗?

    脑干延髓节细胞胶质瘤首刀后状态不佳,还有二次手术机会吗?

    2023-03-15 21:10:50

    2021年,年仅10岁的果果因发烧、肺炎查出延髓占位性病变。行肿瘤切除术,术后二天在PICU气管切开,术后病理(多形性黄色星形细胞瘤)。手术后症状稍微...

  • 延髓占位胶质瘤怕冷?

    延髓占位胶质瘤怕冷?

    2023-12-26 14:28:56

    延髓占位胶质瘤怕冷?延髓是位于脑干的一部分,负责控制呼吸、心率、血压等重要生理功能。因此,胶质瘤延髓占位指的是胶质瘤在延髓区域形成的肿块...

  • 延髓胶质瘤手术后能活多久

    延髓胶质瘤手术后能活多久

    2024-01-04 15:38:15

    延髓胶质瘤是指起源于延髓的一种恶性肿瘤,通常被认为是一种少见的疾病。由于延髓胶质瘤的位置深处脑干,手术治疗相对较为困难,因此人们普遍对延...

  • 延髓胶质瘤12个常见症状及5种治疗方案

    延髓胶质瘤12个常见症状及5种治疗方案

    2024-04-24 16:15:58

    延髓胶质瘤作为一种生长在延髓区域的肿瘤,其症状多种多样,通常取决于肿瘤的大小、生长速度以及具体位置。下面列举出可能的12个症状,并探讨相应...

  • 延髓胶质瘤的症状表现是什么

    延髓胶质瘤的症状表现是什么

    2024-01-04 14:31:35

    延髓胶质瘤是一种位于脑干延髓区的恶性肿瘤,它可以引起一系列不同的症状。这些症状可能因个体差异而有所不同,根据肿瘤的位置、大小和周围组织的...

  • 胶质瘤延髓星型细胞瘤严重吗

    胶质瘤延髓星型细胞瘤严重吗

    2023-09-09 19:50:26

    胶质瘤延髓星型细胞瘤严重吗?胶质瘤延髓星型细胞瘤是一种位于脑干延髓区域的恶性肿瘤,它的严重程度取决于多个因素,包括肿瘤的分级和分期、位置...

  • 胶质瘤延髓星型细胞瘤能治好吗

    胶质瘤延髓星型细胞瘤能治好吗

    2023-09-09 19:46:22

    胶质瘤延髓星型细胞瘤能治好吗?胶质瘤是一种在脑部形成的肿瘤,它起源于神经胶质细胞。延髓星型细胞瘤是一种特定类型的胶质瘤,它起源于星形细胞...

  • 延髓占位低级胶质瘤严重吗

    延髓占位低级胶质瘤严重吗

    2024-03-13 16:00:25

    延髓占位低级胶质瘤是一种相对较常见但严重性较低的疾病。延髓占位低级胶质瘤严重吗?这种胶质瘤通常发生在成年人身上,其生长缓慢且非侵袭性。虽然...

  • 延髓胶质瘤手术后需要化疗吗?延髓胶质瘤手术后可以活多久?

    延髓胶质瘤手术后需要化疗吗?延髓胶质瘤手术后可以活多久?

    2023-02-02 16:26:31

    延髓胶质瘤手术后需要化疗吗 从本质上讲,脑胶质瘤是一种侵入性生长的脑肿瘤,因此很难通过手术获得肿瘤的全切。术后,大多数二级以上的胶质瘤患者...

  • 延髓桥脑胶质瘤严重吗能治好吗

    延髓桥脑胶质瘤严重吗能治好吗

    2024-01-05 13:52:58

    延髓桥脑胶质瘤是一种较为严重的脑肿瘤,它位于大脑干的延髓桥部分。这种肿瘤的发展较快,对患者生命和健康带来很大的威胁。然而,借助现代医疗技...

  • 延髓占位胶质瘤严重吗能活多久

    延髓占位胶质瘤严重吗能活多久

    2024-01-05 15:10:47

    首先,延髓胶质瘤是一种在延髓部位形成的肿瘤,由于其位置的不同性,延髓胶质瘤的确会对身体的正常功能产生严重影响。然而,延髓胶质瘤的预后和患...

  • 延髓胶质瘤晚期症状是什么?有哪些?

    延髓胶质瘤晚期症状是什么?有哪些?

    2024-01-04 15:15:16

    延髓胶质瘤是一种少见且严重的脑肿瘤,位于脑干的延髓区域。晚期延髓胶质瘤症状主要取决于肿瘤在延髓区域的位置和对周围结构的压迫和损害程度。延...

  • 脑干延髓胶质瘤的症状,延髓胶质瘤是绝症吗?

    脑干延髓胶质瘤的症状,延髓胶质瘤是绝症吗?

    2023-03-07 13:56:26

    延髓胶质瘤是颅内常见的恶性肿瘤之一,该类疾病比较难以治疗,相对其他的肿瘤来说更严重一点,所以患者具体的生存时间主要跟延髓部位胶质瘤的严重...

  • 延髓桥脑胶质瘤能活多久?这几点影响大!

    延髓桥脑胶质瘤能活多久?这几点影响大!

    2024-03-20 13:31:33

    延髓桥脑胶质瘤是一种少见且具有挑战性的脑肿瘤。对于患者的预后和生存期,由于多种因素的影响,很难给出一个明确的时间范围。下面将介绍一些与延...

  • 延髓胶质瘤早期发现能治好不?

    延髓胶质瘤早期发现能治好不?

    2024-04-24 18:30:35

    延髓胶质瘤早期发现能治好不?延髓胶质瘤是一种发生在脑部延髓区域的胶质细胞肿瘤,该区域是大脑干的一部分,控制着许多重要的生理功能。由于其位置...

  • 延髓占位胶质瘤打喷嚏?

    延髓占位胶质瘤打喷嚏?

    2023-12-28 15:40:02

    延髓占位胶质瘤打喷嚏?通常情况下,延髓占位胶质瘤患者出现打喷嚏多的症状少见。延髓占位胶质瘤可能导致呼吸和吞咽功能受损,从而引起一系列症状...

  • 延髓占位胶质瘤严重吗能治好吗

    延髓占位胶质瘤严重吗能治好吗

    2024-01-05 15:13:56

    延髓占位胶质瘤是一种位于延髓区域的胶质瘤,由于延髓区域是连接脑干与脊髓的重要部位,因此该部位的瘤体往往会给患者带来较大的危害和不良影响。...

  • 延髓高级胶质瘤严重吗

    延髓高级胶质瘤严重吗

    2024-03-13 15:40:39

    延髓高级胶质瘤是一种恶性肿瘤,源自延髓的脑胶质细胞,具有较高的侵袭性和转移风险。延髓高级胶质瘤严重吗?该肿瘤的严重程度取决于其分级和分期,...

  • 延髓胶质瘤术后7年会复发吗

    延髓胶质瘤术后7年会复发吗

    2024-01-04 14:38:20

    延髓胶质瘤是一种具有高度复发风险的脑肿瘤。尽管手术切除是常用的治疗方法,但术后复发的风险仍然存在。根据研究,患者在接受手术切除后通常还是...

  • 脑干-延髓节细胞胶质瘤,这个手术的过程,我是对其认可的!

    脑干-延髓节细胞胶质瘤,这个手术的过程,我是对其认可的!

    2023-03-12 16:37:36

    他(国内神经外科医生)正好也是在德国跟过巴教授,我从他的分析和沟通过程中,包括结合巴教授的回复,我就决定了这个事情。所以,按教授的原话来...

  • 延髓胶质瘤术后7年后复发?

    延髓胶质瘤术后7年后复发?

    2023-12-22 15:24:47

    延髓胶质瘤术后7年后复发?延髓胶质瘤术后7年后复发是指在患者接受延髓胶质瘤手术治疗后的七年时间内,肿瘤重新出现或进一步生长的情况。这意味着...

  • 儿童脑干延髓胶质瘤严重吗

    儿童脑干延髓胶质瘤严重吗

    2024-03-13 15:21:18

    儿童脑干延髓胶质瘤是一种少见但严重的儿童恶性肿瘤。儿童脑干延髓胶质瘤严重吗?由于其位于脑干的不同位置,治疗难度大,而且容易对周围组织产生...

点击查看更多