2019-05-31 13:22:00
2019-06-01 11:18:00
2022-06-02 14:08:15
2022-05-31 13:00:16
2022-06-01 14:18:35
2022-05-31 10:21:09
2019-05-31 13:13:00
2019-05-31 13:36:00
2019-05-31 13:04:00
2022-06-02 23:40:56
脑干胶质瘤患者康复后可以干活吗?能活多久?脑干胶质瘤患者康复后是否可以干活以及能活多久,是两个复杂且需要个体化评估的问题。 一、脑干胶质瘤患...
弥漫性胶质瘤患者可能出现多种症状,包括头痛、恶心、呕吐、癫痫发作等,随着病情的发展,还可能出现神经功能缺失、认知障碍、情绪异常等严重症状...
弥漫性胶质瘤患者可能出现多种症状,包括头痛、恶心、呕吐、癫痫发作等,随着病情的发展,还可能出现神经功能缺失、认知障碍、情绪异常等严重症状...
脑干胶质瘤患者有生命危险吗?怎么选择合适的治疗方法?脑干胶质瘤患者确实存在生命危险,因为脑干是控制人体基本生命活动的关键区域,一旦受损可能...
视神经胶质瘤患者的饮食禁忌?视神经胶质瘤患者的饮食管理是其整体治疗计划中不可或缺的一部分,合理的饮食不仅可以帮助患者保持良好的营养状况,还...
脑胶质瘤能活几年?胶质母细胞瘤的长期存活,甚至零复发的情况少发生,每一个奇迹个例都会成为继续进行研究的动力,神外医生从未放弃与这种肿瘤的...
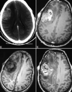
一次无悔的选择让7岁的辰辰重回健康,顺利摘除了累及脑干的较大胶质瘤,谈到主刀医生INC德国巴特朗菲教授,辰辰的父母充满了感激,也希望借2021年教...
【赴德治疗脑干胶质瘤案例】八月的时候生病了,原以为人生会戛然而止,抱着较虔诚较奢侈的期待,也做了较坏的打算上了手术台,较后的结果是翻盘成...
少数已知的预后因素(大多数因素本身具有高度相关性)的差异,例如年龄,病情状态,肿瘤大小/位置,手术切除的程度以及组织学亚型,不足以解释这些...
多形性胶质母细胞瘤(GBM)是发生于人类中枢神经系统的恶性肿瘤。脑胶质瘤为何会发生转移?高级别脑胶质瘤复发并转移到脊髓如何治疗...
胶质瘤较后怎样死亡?任何人都很难想象自己处于一个晚期诊断患者的地位。但是对于被诊断患有脑癌的人来说,这可能会更加困难。胶质母细胞瘤是较具侵...
磁共振成像(MRI)是有用的迅速识别这些病理,以避免长期性视力丧失。在T2W图像上,显示中央等强度,周围高强度对应于神经周围蛛网膜神经胶质瘤。图3:...
胶质瘤3~4级 活多久?恶性神经胶质瘤是在外观和基因表达(异质性肿瘤)。III级神经胶质瘤的生存时间明显比IV级胶质母细胞瘤更长。即使在年级之内,生...
脑胶质瘤案例交流:脑瘤治疗堪比一个战场,对于患者而言,这是一个多么陌生让人恐慌无助需要拼死一搏的战场,而对INC德国巴特朗菲教授来说,这已是...
Q:胶质瘤患者有必要出国治疗吗?国际治疗费用大概在多少? A:当级别高一些的胶质瘤乃至其他脑肿瘤患者遇到国内治疗效果不理想或是建议保守治疗、...
多形性胶质母细胞瘤(GBM)是成人中常见的具侵袭性的原发性脑肿瘤。为巩固手术效果通常需要术后放化疗,恶性脑胶质瘤多长时间放化疗一个周期...
基于AVF3708g(BRAIN研究)和NCI06⁃C⁃0064E两项Ⅱ期临床试验研究的结果,美国FDA于2009年一次批准BEV用于复发胶质母细胞瘤(rGBM)的治疗。2013年美国临床肿瘤...
低级别胶质瘤能治好吗?生存期多久?根据诊断和手术结果,接下来可能会进行放射治疗,以摧毁任何残留的肿瘤细胞。一些小肿瘤患者或非手术患者可单...
胶质瘤是较常见的原发性中枢神经系统肿瘤,约占中枢神经系统肿瘤的40%,约占成人恶性中枢神经系统肿瘤的78%。脑胶质瘤起源于神经胶质细胞,由神经外...
胶质瘤较长寿命是多少?低级别胶质瘤患者经过科学治疗可合适延长生存时间、好转生活质量,高级别胶质瘤的生存期相对较短...
神经胶质细胞是广泛存在于神经系统中的一种细胞。胶质瘤主要发生在大脑,很少发生在脊髓。每年每10万人中约有6.6人患此病,较难治愈。它们发生在不...
多形性胶质母细胞瘤(GBM)是一种侵袭性肿瘤,预后不良,接受治疗的中位生存期为15个月,未接受治疗的中位生存期为3-4个月。发现部分患者存活时间超过两...
多形性黄色星形细胞瘤是一种良性胶质瘤,其与NF-1的关系早在1993年就已经被发现。NF1患者的神经胶质瘤预后如何...
恶性胶质瘤患者为何都爱出国看病?该研究所共有6个手术室,采用前沿技术进行各种类型的神经外科手术干预。这还包括2个具有术中MRI,术中CT和双翼血管...
剂量学研究表明,质子治疗可以降低低级别胶质瘤(LGG)儿童未受损伤组织的中、低剂量辐射。因此我们回顾了174名21岁的非转移性LGG儿童的病历,这些儿童在...
IGFBP2表达评估idh突变的 胶质瘤 患者生存 (IGFBP2 expression predicts IDH-mutant glioma patient survival) 英文简介: Mutations of the isocitrate dehydrogenase (IDH) 1 and 2 genes o...
INC国际神经外科医生集团聚焦脑胶质瘤、脑干海绵状血管瘤、松果体区肿瘤、脊索瘤、脑膜瘤等神经外科疾病患者关心的一系列治疗问题,特别采访旗下组...
恶性脑胶质瘤患者如何长期生存,脑胶质瘤能活几年是患者和家属较为关心的问题,经手术、放化疗的联合方案治疗后脑胶质瘤患者生存期得以延长,新兴...
脑干胶质瘤是一组异质性肿瘤,包括低级别病变,如背侧外生性脑干胶质瘤,在组织学上通常为毛细胞星形细胞瘤,以及较其恶性的病变,如儿童弥漫性内...
脑胶质瘤是恶性肿瘤吗?胶质瘤根据起源细胞系分为不同的亚型。胶质瘤包括星形细胞瘤,胶质母细胞瘤,少突胶质细胞瘤,室管膜瘤和其他组织学亚型...
脑胶质瘤具有复发率高、生存期短、死亡率高、治疗困难等特点。手术、化疗和放疗是标准的治疗方法,但治疗后的预后往往因人而异...
胶质瘤 常常难以治疗不完全,复发成为常事。每两个脑肿瘤病人中,就有一个是胶质瘤患者。胶质瘤不仅是颅内较常见的肿瘤,而且大多是高程度恶性肿瘤...
基因在多年前是个遥不可及的技术,现在已经慢慢演变成全民基因的时代。基因的应用越来越广。距离我们也越来越近。2019年,中国 脑胶质瘤 基因组图谱...
相信大家对胶质瘤并不陌生,根据组织的病理特点,胶质瘤一般分为3~4个等级,其次是1,2,3,4个等级。在全部胶质瘤中,二级胶质瘤的比例较大,约为30~40...
脑胶质瘤化疗方案有哪些?到目前为止,还没有试验比较PCV和TMZ作为DLGG术后或进展中的辅助治疗。较近,两项大型前瞻性研究证实了这一点,包括RTOG9802...
颅底肿瘤手术,向来以完全切除脑胶质瘤、脑海绵状血管瘤、脑膜瘤、听神经瘤、脑膜瘤等为目标,这也是患者更长生存期和更佳生活质量的前提。由于大...
视神经胶质瘤如何治疗?肿瘤的大小和程度会影响肿瘤的表现,从单纯的视神经胶质瘤到更大的外生肿瘤,并延伸到下丘脑、垂体、三脑室和间脑。内分泌...
在过去的三十年里,外科手术的发病率有了很大的好转,并已成为可接受的。得了丘脑胶质瘤能活多久?影响患者生存期的因素有哪些?...
胶质瘤是一种常见的恶性脑肿瘤疾病,常发生在大脑半球,也会影响其他大脑区域,如视神经、脑干、小脑等。具有突发性强、死亡率高的特点,已成为不...
胶质母细胞瘤是成人中较常见和较恶性的原发性脑肿瘤,每位患者的生命损失超过20年。GTR的定义是在手术后72小时内,在增强的T1加权术后磁共振成像扫描...
尽管放射治疗提高了低级别胶质瘤患者的无进展生存期,颅骨照射存在神经认知和神经内分泌功能障碍的已知风险。其他低级别胶质瘤研究也同样报道了基...
双侧丘脑胶质瘤的多数病例为弥漫性星形细胞瘤、间变性星形细胞瘤或胶质母细胞瘤。常见治疗方法是部分手术切除或活检,然后辅助治疗...
毛细胞星形细胞瘤,俗称毛星,是一种生长缓慢、边界明显、可伴囊性特点的良性肿瘤,WHO I级,好发于儿童和年轻人。毛星好发部位包括:1.视神经;2.视交...
前言 :在人的脑袋上手术,可谓曾是头上动刀,一刀送命,即便医学进步,仍有许多疾病手术挑战较大有生命风险,从神经外科发展史、手术医生、手术入...
医院检查确诊胶质瘤时,李先生不敢相信,但是仍积较治疗。李先生属于出现症状发现肿瘤的,但是也有一些意外情况。文献报道中,有人质疑当影像学检查...
链接/Links: 北京天坛医院 | 首都医科大学宣武医院 | 复旦大学华山医院神经外科 | 脑胶质瘤 | 脑海绵状血管瘤 |