7个月大婴儿,眼球震颤1周,不能视物……一对年轻的爸妈带着孩子前来就诊。较终在当地医院多方位检查发现,患儿视神经上生长的肿瘤——视神经胶质瘤。
什么是视神经胶质瘤?视神经胶质瘤是发生于视神经内胶质细胞的良性肿瘤。胶质细胞是中枢神经系统和神经节的支持细胞。胶质细胞分为星形胶质细胞、少突胶质细胞和小胶质细胞,发生于视神经内的胶质细胞瘤,几乎均为星形胶质细胞瘤,又因多发生于儿童时期纤维形星形胶质细胞,故又名儿童纤维星形胶质细胞瘤(Juvenile Pilocytic Astrocytoma,JPA)。
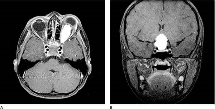
视神经胶质瘤的影像学表现
X线:平片检査可发现一侧视神经孔扩大,边缘锐利圆滑,提示肿瘤较大并侵及颅内。
CT:表现为视神经条带状或梭形增粗,边界光整清楚。肿瘤累及眶尖时致其脂肪消失。肿瘤密度均匀,CT值在40-60HU之间,轻度强化,有时其内可见无强化低密度区。增强检査要注意观察肿瘤向视神经管内段或颅内段的侵及:侵及管内段而引起视神经管扩大;侵及颅内段及视交叉则在鞍上池内形成肿块。无钙化表现。
MRI:表现为T1WI中等偏低信号,T2WI明显高信号。肿瘤累及视神经管内段时,多引起眶内段蛛网膜下腔脑脊液循环受阻,引起蛛网膜下腔明显增宽,显示为病变周围长T1长T2信号,与脑脊液信号一致。增强后肿瘤呈较明显强化。

视神经胶质瘤治愈率是多少?视神经胶质瘤占眶内肿瘤的1%-6%,占原发视神经肿瘤的80%。主要见于学龄前儿童,发生于成人者恶性度较高,女性多于男性。本病伴发神经纤维瘤病者达15%-50%。早期症状是视野内出现盲点,但由于患者多为儿童而被忽视。95%患者以视力减退就诊,视力丧失者也不少见。另常见症状为眼球突出,眼底检查为视盘水肿或萎缩。病理上视神经增粗,表面光滑,硬脑膜完整,瘤细胞沿视神经纵轴蔓延。镜下为分化良好的星形细胞,病理上多为1、3级,属低度恶性,预后良好。
视神经胶质瘤通常是惰性的,但是在多达75-85%的患者中发生了明显的进展。这种生长通常在较初诊断后的2年内。神经纤维瘤病患儿的病情发展速度较慢,潜伏期较长。在诊断后的10年内,这种肿瘤的死亡率很少见。当神经胶质瘤仅限于视神经时,手术切除后存活的机会大于90%。但是,当肿瘤扩展到视交叉或远视时,预后恶化。不管神经纤维瘤状态如何,仅累及视神经,完全切除与15年生存率约90%有关,未经治疗的病灶死亡率为50%。术后辅助放疗后上,存活率提高到60-100%。放疗后30-40%的患者视力得到好转。
视神经胶质瘤患儿赴德手术基本全切记录
INC国际神经外科2018年接诊的一位5岁视神经胶质瘤小朋友小冬就是因为一次诊断不明导致他的后续治疗也走了不少“弯路”。小冬因视力下降、视物模糊在当地一个医院检查发现鞍上较大占位,侵犯双侧额叶及三脑室,一开始手术时医生为他进行了“右侧额叶部分切除术及部分肿瘤切除术”,没想到,手术后不久,原本就看不清东西的小冬手术后视力下降得更厉害,仅剩一点点光感了。
幸运的是,后来经INC德国巴特朗菲教授和意大利Concezio Di Rocco教授远程咨询,得到可以手术全切并能得到较大水平治愈的治疗建议。一家人终于看到了希望,于是决心赴德手术。
德国的手术之旅较为顺利,巴特朗菲教授通过额骨颅骨开颅术和大脑半球间穹窿入路肿瘤切除术直至Monro孔(室间孔),并沿着脑室壁向中脑行进。小冬右侧的视神经被肿瘤浸润包裹,但是左侧视神经被小心地从肿瘤肿块中剥离出来,垂体腺和垂体柄也被小心的保护起来。
术后患儿有一过性发热和尿崩,均很快控制好转,一周后出ICU病房,术后2周左右患儿视力有轻微好转,2周后出院,且能站立和短距离行走,较入院前好转明显。2019年4月复诊时未见复发,且视力逐渐恢复,可以分辨人影和准确抓拿物品。患儿脑肿瘤得到了大概率以上的切除,术前岌岌可危的视力也保住了。术后病理显示毛细胞型星形细胞瘤,WHO I级,低级别胶质瘤。研究显示其中位生存期可长达50年,肿瘤近全切手术之后可与正常孩子生存时间无异。

此次在德国INI的二次手术,从术前侵袭至双侧额叶及三脑室的较大瘤体,到术后影像上未见瘤体,从几近失明到逐渐地视力恢复接近正常,小冬的手术效果可以说是教科书级的示范案例。
INC国际神经科学提示,如果发现孩子看不见、视物不清等眼睛不适或不正常,要到医院进行检查,要排除视神经胶质瘤的可能。当确诊为视神经胶质瘤,若想追求更高质量、更佳预后的手术效果,可请国际上较为擅长这一复杂位置的手术教授评估手术切除率和术后效果。
INC旗下国际神经外科顾问团(WANG)是由国际各发达国家教授联合组成的教授集团,成员教授大多为国际神经外科各的奠基者、开拓者,他们在各自领域对国际神经外科做出过较大贡献,且其手术技术和能力在神经外科界有着难以替代的地位。INC专注国内外学术技术交流的同时,也可为各类脑肿瘤、脑血管病变、癫痫、帕金森等疾病患者提供更高质量的手术、前沿的放化疗及国际治疗协调等。拨打400-029-0925或关注“INC国际神经科学”微信公众号了解INC国际教授远程咨询及国际治疗详情。
- 文章标题:视神经胶质瘤治愈率?小儿眼球震颤、不能视物要警惕!
- 更新时间:2021-03-22 17:06:36
400-029-0925




