室管膜瘤是中枢神经系统的原发性肿瘤。它们被认为是儿童和年轻人的肿瘤,被认为起源于脑室或脊髓中央管的内层。然而,较近的研究表明放射状胶质干细胞是起源细胞。这些肿瘤可能发生在沿着心室系统的任何部位和脊髓中,但是在不同的年龄组和组织学亚组中有所不同。
室管膜瘤在全部年龄组都有发生,但儿童比成人更常见。根据美国中央脑瘤登记处(CBTRUS)发布的2014年报告,室管膜瘤占0-19岁儿童和青少年全部脑瘤和中枢神经系统肿瘤的5.2%,而成人患者为1.9%。似乎也存在种族差异,每10万人中白人的发病率为0.40,而非裔美国人为0.27。

室管膜瘤传统上被国际卫生组织(世卫组织)的神经系统肿瘤分类根据其间变程度分为一级、二级和三级。国际卫生组织对中枢神经系统肿瘤分类的目的是评估不同组织学分级的不同临床预后。然而,越来越多的研究质疑组织学分级评估预后的概念,是在不同年龄组和中枢神经系统不同部位。这表明在相同的组织学级别内的遗传异质性决定了室管膜瘤的生物学行为,并且更能评估结果。
不同程度室管膜瘤患者的管理尚未标准化。外科切除和放射治疗已经成为这类疾病的主要治疗方法。化疗对室管膜瘤的疗效有限。根据2014年CBTRUS报告,室管膜瘤患者的10年生存率为79.2%。总的来说,20-44岁年龄段的存活率较高,随着诊断年龄的增加存活率下降。事实上,在3E75岁的人群中,10年生存率仅为28.1%。在0-19岁的儿童和青少年中,10年生存率为66%。欧洲基于人群的关于儿童癌症和成人原发性恶性脑瘤存活率的研究显示了国家之间的差异,这可能是由于药物供应有限、缺乏专门护理和疾病管理不善造成的。
手术切除和放疗仍是室管膜瘤治疗的主要手段
对于全部组织学分级,手术切除仍然是室管膜瘤治疗的重要组成部分。外科手术是建立病理诊断和收集组织进行基因组分析以确定每个室管膜瘤的独特分子特征的关键。如果肿瘤因其位置而不能顺利切除,在开始治疗前仍需进行病变活检。当肿瘤切除可行时,较广泛的切除总是可取的,因为许多临床研究报道广泛的切除与全氟辛烷磺酸和全氟辛烷磺酸有关。在调查临床病程和PFS的较大病例系列中,来自282例室管膜瘤患者的数据表明,GTR是与幕上室管膜瘤PFS增加相关的预后因素。接受次全切除术(STR)的患者,即使增加了放疗,较终发展为进行性疾病的可能性也更高。在脊髓区的室管膜瘤中也证实了GTR效应。粘液性乳头状室管膜瘤与脊髓内其余的室管膜瘤有很大不同。他们是国际卫生组织一级,几乎总是出现在脊髓圆锥,但可以延伸到马尾。几项研究已经证明,一个GTR没有违反肿瘤胶囊可能导致治愈。因此,重要的是保持胶囊的完整性,以避免肿瘤扩散和防止更差的临床结果。
相关阅读:脑干间变型室管膜瘤手术、放疗失败,二次手术全切报告
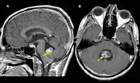
建议术后立即进行脑部核磁共振扫描,较好在手术后24-48小时内进行,以确定手术范围。如果在术后核磁共振成像上出现广泛的肿瘤负担,并且残留的疾病可以容易地切除,几个小组已经提出了二次手术以较大化手术切除的范围。除了提供组织诊断和好转预后外,肿瘤切除还可缓解脑积水,脑积水常见于一些幕上室管膜瘤,更常见于后颅窝室管膜瘤。在大多数患者中,切除原发肿瘤足以控制梗阻性脑积水,而无需进行脑室外引流或脑室腹腔分流术。
强烈室管膜瘤的分期,包括整个神经轴的成像和脑脊液分析。脑脊液分析应在手术后至少延迟2周,以避免脑脊液中出现混淆的结果。通过脑脊液传播并不常见,估计有15%的患者会发生这种情况,但这将影响治疗计划。
对于ⅲ级室管膜瘤患者或不能完全切除的低度室管膜瘤患者,术后放疗已被确定为一种合适的辅助疗法。GTR病的二级室管膜瘤不太清楚。较佳的辐射场和剂量仍有争议。然而,神经肿瘤学领域的大多数专家局部放射疗法,而不是全脑或颅脊放射疗法,除非有肿瘤扩散的迹象。低级别室管膜瘤的30个部分中的5400 cGy和高级别肿瘤的33个部分中的5940 cGy的剂量已经在治疗方案中进行了测试。在非组合疾病中,总剂量高达6000 cGy也能带来同样的好处。欧洲核子研究中心调查人员对按肿瘤位置进行的全氟辛烷磺酸多变量分析的结果表明,GTR辐射可增加幕下室管膜瘤的全氟辛烷磺酸,但不会增加幕上室管膜瘤和脊髓室管膜瘤的全氟辛烷磺酸。
如上所述,如果保持包膜的完整性,完全切除一级粘液乳头状室管膜瘤是可以治愈的。然而,一些研究表明,对于患有脊髓粘液乳头状室管膜瘤的年轻患者,特别是在他们生命的前20年,应该包括常规放射治疗。还没有前瞻性临床研究来测试二级肿瘤完全切除后放射治疗的生存益处。因此,在GTR的环境中密切跟踪这些患者是一种合理的方法。由于(国际卫生组织三级)间变性室管膜瘤的预后不良,在该领域有一个共识,即肿瘤切除后应进行放射治疗。
质子疗法由于其保留正常组织的独特特性,越来越多地被考虑用于室管膜瘤的治疗,这表明其在治疗小儿室管膜瘤方面可能优于光子疗法。质子疗法可能对需要在中枢神经系统关键结构附近进行放射治疗的年轻肿瘤患者较为有益。在对接受不同方式放射治疗的室管膜瘤儿童进行的回顾性分析中,强度调制质子治疗(IMPT)、质子治疗和强度调制放射治疗(IMRT)获得了相似的肿瘤体积覆盖率。然而,与IMRT相比,在质子治疗的室管膜瘤中观察到正常组织的大量保留。IMPT的使用将允许一些关键结构的额外备用。一些研究表明,与接受光子疗法的儿童相比,接受质子疗法的儿童急性毒性较小。有趣的是,一项回顾性研究比较了72例非转移性颅内室管膜瘤患者术后IMRT和IMPT的影像学表现,表明IMPT手术后3岁以下患者的放射后磁共振成像变化更为常见。有必要进行长期随访的前瞻性研究,以评估两种放射疗法在儿童和成人室管膜瘤中的作用。
总结:室管膜瘤治疗仍以手术全切为主
除非可以完全清除肿瘤,否则室管膜瘤几乎总是在发展。一般而言,颅内室间隔膜瘤患儿的5年生存率约为50%至60%,而10年生存率约为40%至50%。关于年龄,肿瘤位置和组织学的作用已显示出有争议的结果:放疗和化疗对无进展生存有的影响。在单因素和多因素分析中,总的肿瘤切除程度与患者的预后密切相关。更高的MIB-1标记指数和次全切除是肿瘤侵袭行为和不良预后的指标。
- 文章标题:室管膜瘤的治疗仍具有挑战性
- 更新时间:2020-08-17 13:24:28
400-029-0925




