视神经胶质瘤治疗医院目前还没有机构进行和统计。视神经胶质瘤是一种少见但危险的肿瘤,因此选择合适的医院进行治疗至关重要。以下是选择视神经胶...
治疗视神经胶质瘤较好的医院目前没有机构进行,国内治疗视神经胶质瘤的医院有很多,大部分都集中在北京、上海等一线大城市,不管是医生水平和相关...
视神经胶质瘤能微创吗?能治好吗?视神经胶质瘤是一种源于视神经的胶质细胞的肿瘤,其发病率虽低,但由于视神经的关键作用,对患者的视力和生活质量...
视神经胶质瘤能治好吗?能活几年?视神经胶质瘤是一种少见的肿瘤,主要影响儿童,但也可见于成人。它通常表现为视神经、视交叉或视束的肿瘤,可以对...
视神经胶质瘤戴眼镜能提高视力吗?视神经胶质瘤是一种起源于视神经、视交叉、视束或下丘脑的肿瘤,通常为低级别的星形胶质瘤。这类肿瘤会影响视力和...
视神经胶质瘤有治愈的案例吗?2018年7月,INC国际神经外科医生集团接到一个咨询电话,年仅5岁的儿童患视神经 胶质瘤 病情严重,访遍国内神经外科医院...
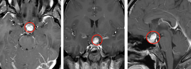
一名6岁的女童在视力检查出现问题后被转介到眼科。经检查,她的左眼视力下降(20/80)和色觉(仅限控制板)。右眼视力和色觉正常。她有一个低振幅,高频摆...
视神经胶质瘤 症状有哪些?治愈率高吗? 视神经胶质瘤是发生于视神经内胶质细胞的良性肿瘤,较常出现在一个十年,中位年龄为6.5岁,视力逐渐下降,随后...
出国治疗视神经胶质瘤 哪家医院比较好? 视神经胶质瘤是一种生长缓慢、影响儿童的肿瘤。30%的患者与NF1相关,只要及时合理的治疗,一般预后较好。对...
分离到视神经神经胶质瘤(ONG)是视神经胶质瘤的一个亚组,其治疗仍有争议。大多数视神经胶质瘤存在某种形式的视觉症状,这些症状由肿瘤的位置决定...
儿童视神经胶质瘤 是一种类型的脑肿瘤,其中癌(恶性)细胞开始在生长组织的大脑。大脑控制着记忆和学习,感觉(听觉,视觉,气味,味道和触觉)和...
视神经胶质瘤如何治疗?肿瘤的大小和程度会影响肿瘤的表现,从单纯的视神经胶质瘤到更大的外生肿瘤,并延伸到下丘脑、垂体、三脑室和间脑。内分泌...
视神经胶质瘤能治好吗?1型神经纤维瘤病中的视神经胶质瘤严重吗?NF1病几乎影响身体的每一个器官系统,具有广泛的临床分支,因此患有这种疾病的儿童...
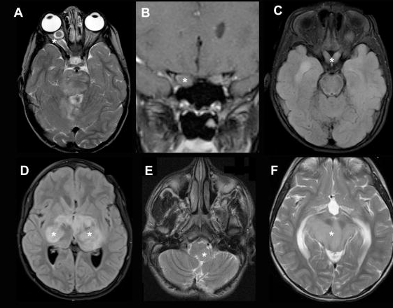
视神经胶质瘤(ONG)是较常见的原发性视神经肿瘤,通常在生命的一个十年被发现。散发性视神经胶质瘤(OPGs)通常在8岁前出现。我们的病人是ONG文献中一个没...
原发性视神经胶质瘤是较常见的良性毛细胞星形细胞瘤(WHO1级),发生在儿童时期,病程缓慢。恶性视神经胶质瘤(WHO3级至4级)发生在成年期,并遵循一个具侵...
视神经胶质瘤在全部脑瘤中所占比例不到1%,但由于这些肿瘤中有四分之三发生在10岁以内的孩子,它们占全部儿科大医院脑瘤的4%到6%。这些肿瘤大多发生...
儿童脑瘤是儿童中较为常见的实体性肿瘤,包括髓母细胞瘤、室管膜瘤、脑干胶质瘤、星形细胞瘤、颅咽管瘤及生殖细胞瘤等。根据《柳叶刀》的子刊:《...
视神经胶质瘤能治好吗?视神经胶质瘤是一种肿瘤形成,其起源于视神经交叉症中的神经胶质细胞。视神经胶质瘤表现为视力下降,部分视野缩小或丧失,...
大多数视神经胶质瘤生长缓慢且无癌性(良性)。肿瘤的缓慢和自限性生长表明,在大多数良性病例中,它并不是立即有问题的,长期研究表明,视神经胶...
视神经胶质瘤能治好吗?在一项回顾性研究中,吉列和西蒙报告了7例下丘脑神经胶质瘤患者(年龄范围9-40岁)接受次全切除加放射治疗的良好结果和无明显并...
2022儿童视神经胶质瘤治疗的新进展 儿童视觉胶质瘤(OPGS)是起源于视觉通路或下丘脑的低度恶性胶质瘤,多见于毛细胞性星形细胞瘤(WHO-I级)、毛细胞粘液样...
儿童视神经胶质瘤的影响 视神经胶质瘤对儿童的影响如下:1.视力逐渐丧失;2.眼球突出,眼球活动障碍;3.下丘脑内分泌异常。视神经胶质瘤是一种生长缓...
在这条艰难的求医路上,一部分患者在了解到治疗的较大风险后选择了退却,然而另一部分患者认为国际范围内说不定还是有一些较个别的专家教授做起这...
儿童视神经胶质瘤是一种少见的儿童胶质瘤,其特点是自然病程多变,不像普通肿瘤那样逐渐生长,或以恒定的速度生长。儿童视神经胶质瘤的特点是长期...
视神经胶质瘤手术后视力还能恢复吗?孤立性视神经胶质瘤是一种少见的视神经通路胶质瘤。由于这种情况的少见性和在大多数临床系列中很难区分孤立性...
无论哪一型视神经胶质瘤,均由视力受损明显侧分块切除肿瘤,保留视力、下丘脑及垂体柄功能是手术的较高原则。术后配合放疗可以降低肿瘤复发,提高患...
视神经胶质瘤治疗较好的是什么办法?早期手术切除联合术后放射治疗可明显好转OPG患者预后,程度上能够降低肿瘤复发率。...
年仅8岁的小伟要面临人生中的二次开颅手术 视路胶质瘤再次复发 原本水汪汪的大眼睛现在也变得混沌 仅能看到一丝光亮 父母一直在感慨走错路了 为何一...
视神经胶质瘤起源于视神经、视交叉、视束或下丘脑,一般为低级别星形胶质瘤,会严重影响患者的视力及内分泌功能。像这种低级别胶质瘤一般只要得到...
与非手术治疗相反,手术可以立即消除眼球突出和疼痛,在眼球运动和眼睑抬高方面具有良好的美容效果,是在早期未进行放疗的情况下。对于所述儿童视...
众所周知,脑肿瘤手术切除的程度与预后密切相关,目前手术原则仍是在顺利的前提下较大范围地切除肿瘤。胶质瘤也不例外,手术切除是治疗胶质瘤的一...
视神经胶质瘤是发生于视神经内胶质细胞的良性肿瘤,可沿视神经向颅内蔓延。多发于学龄前儿童,成人少见,部分与神经纤维瘤病伴发。视神经胶质瘤可...
视神经胶质瘤能治好吗? 视神经胶质瘤(optic pathway glioma,OPG)是少见的颅内肿瘤之一。主要临床表现为视力下降、视野缺损及眼球突出等,病变累及下丘脑...
视神经胶质瘤能治好吗?视神经胶质瘤通常是低度恶性肿瘤,尽管其表现和临床过程是高度可变和不可评估的。成年期出现的胶质瘤通常具有很强的侵袭性...
视神经胶质瘤是什么病? 视神经胶质瘤是发生于视神经和累及视交叉内胶质细胞的原发性肿瘤,由于视神经是胚胎期前脑向外分化形成,属于中枢神经系统...
治疗视神经胶质瘤较好的医院目前没有机构进行,国内治疗视神经胶质瘤的医院有很多,大部分都集中在北京、上海等一线大城市,不管是医生水平和相关...
视神经胶质瘤治愈率, 视神经胶质瘤的发病率相对较低,以儿童较为多见。大约1/3的肿瘤仅局限于一侧视神经,而2/3的患者联合有视交叉、下丘脑、三脑室...
视神经胶质瘤治疗新方法 疾病分析:视神经胶质瘤没有特定的药物治疗,需要手术,主要通过手术切除肿瘤来好转症状。根据综合评价,选择外眼眶开口、...
视神经胶质瘤怎么治疗? 大多数视神经胶质瘤主要通过手术切除。术后,根据瘤种,采用放疗、化疗等综合手段进行随访治疗。此外,准确的靶向治疗可以...
视神经胶质瘤手术不仅要切除肿瘤,更要保留视力甚至恢复视力 由于这些肿瘤的自然史各不相同,因此对这些肿瘤的治疗仍存在争议,并且在大多数情况下...
视神经萎缩可以手术治疗吗? 有些视神经萎缩可以通过手术治疗。视神经萎缩的手术治疗取决于具体原因,有些是合适的,但有些原因导致视神经萎缩,手...
视神经胶质瘤治愈率高吗? 视神经胶质瘤是一种恶性肿瘤,治愈的可能性相对较低。视神经胶质瘤不能很好地治疗,因为从胶质瘤的一个方面来看,这是一...
视神经胶质瘤的治疗方法取决于肿瘤的类型、大小、位置、恶性程度以及患者的整体健康状况等因素。一般而言,视神经胶质瘤的治疗包括以下几个方面:...
视神经胶质瘤是一种少见的中枢神经系统肿瘤,其特点是发生在视神经和胶质细胞之间。虽然与癌症不同,视神经胶质瘤属于颅内肿瘤,但仍然属于一种恶...
视神经胶质瘤治疗方法没有较好的,每个患者的病情不同,适合的治疗方法也不同,通常主要的视神经胶质瘤治疗方法有药物治疗、手术治疗、放射治疗、...
视神经胶质瘤治疗新路线 可以进行手术治疗,视神经胶质瘤是发生于视神经内胶质细胞的良性肿瘤,可沿视神经向颅内蔓延。如果肿瘤局限眶内者可行外侧...
视神经胶质瘤手术后视力还能恢复吗 视神经胶质瘤手术后视力不能恢复了。胶质瘤手术是否会影响视力取决于手术的位置,若肿瘤位于视神经上方,但与视...
视神经胶质瘤的治疗方法通常是综合性的,并且需要根据患者的具体情况进行个体化治疗。以下是常见的治疗方法: 1. 观察治疗:对于一些无症状或轻度症...
视神经胶质瘤是一种颅内肿瘤,其预后取决于多个因素。根据肿瘤的类型、分级、位置和大小,以及患者的年龄、身体状况和接受的治疗方法等,治愈视神...
视神经胶质瘤是一种恶性脑肿瘤,治疗方法一般包括药物治疗、手术切除和放射治疗。在药物治疗方面,常用的药物包括以下几种: 1. 化疗药物:视神经胶...
视神经胶质瘤怎么治疗? 可综合考虑手术、放疗、密切观察等方法对视神经胶质瘤进行治疗。 有严重症状的视神经胶质瘤可考虑手术切除。但风险很高,...
视神经胶质瘤的治疗效果受多种因素的影响,包括肿瘤的类型、大小、位置以及患者的整体健康状况等。综合治疗方案通常可以取得较好的疗效。以下是几...
链接/Links: 北京天坛医院 | 首都医科大学宣武医院 | 复旦大学华山医院神经外科 | 脑胶质瘤 | 脑海绵状血管瘤 |