视神经胶质瘤在全部脑瘤中所占比例不到1%,但由于这些肿瘤中有四分之三发生在10岁以内的孩子,它们占全部儿科大医院脑瘤的4%到6%。这些肿瘤大多发生在5岁以内发生。它们可以出现在眶后空间的任何地方,沿着视神经,到交叉和下丘脑,扩散地渗入这些结构,然后偶尔也沿着视觉通路向后扩散。局限于视神经的肿瘤称为视神经胶质瘤,累及交叉和下丘脑的球状肿瘤称为交叉-下丘脑胶质瘤,累及该通路多种成分的肿瘤(是1型神经纤维瘤[NF1]患者)称为弥漫性视神经通路肿瘤。这些肿瘤统称为视神经胶质瘤。虽然这些肿瘤的组织学级别较低,但它们的自然病史根据位置和患者年龄有很大差异。视神经肿瘤往往是惰性的,但当发生在婴儿和幼儿时,较大的交叉下丘脑肿瘤可能具有很强的侵袭性。尽管其组织学等级较低,但交叉肿瘤具有少见但公认的通过脑脊液(CSF)途径传播的倾向。视神经通路肿瘤与NF1密切相关。视神经胶质瘤能治好吗?手术后可以恢复视力吗?相关阅读:5岁视神经胶质瘤小朋友在德国治疗经过。
视力丧失是视神经胶质瘤主要症状
患有视神经通路肿瘤的儿童在眼底镜检查时视力丧失和视神经萎缩。婴儿的视力丧失可能难以检测;摆动性眼球震颤或斜眼是重要的临床线索。临床发现反映了肿瘤生长或浸润的解剖模式。视神经神经胶质瘤还引起眼球突出和眼外运动丧失。较大的下丘脑下丘脑肿瘤延伸到三脑室可能导致阻塞性脑积水,导致大头畸形,婴儿无法茁壮成长。可能有食欲或睡眠障碍。发生在幼儿中的双脑综合征的特征是恶病质和活动过度。癫痫发作或偏瘫也可能发生。性早熟偶尔出现,糖尿病和尿崩症是少见的。
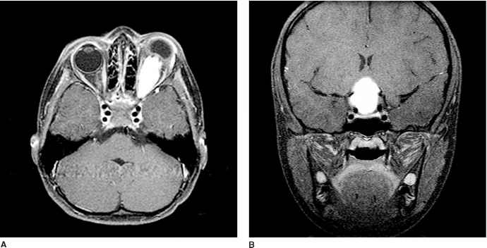
诊断研究包括神经眼科和神经内分泌评估以及脑部MRI。当涉及这种结构时,神经影像学(下图)通常显示视神经的梭形扩大。视神经胶质瘤可在神经外生长并环绕神经。

图示:A,带有造影剂的轴向T1磁共振成像(MRI)证实了一名4岁男孩的左眼视神经胶质瘤,他患有眼球突出和视力丧失。肿瘤还环绕着鞘神经。B,具有对比增强MRI的冠状T1图像显示了嵌合性下丘脑星形细胞瘤。
在视神经鞘内。尽管儿童眼球突出的差异长,但通常可以通过影像学检查证实一条视神经或两条视神经受累。对于下丘脑下丘脑区的病变,典型的球状肿块具有混合的实性和囊性病变,对比度增强。涉及下颌下丘脑区域的病变具有更大的差异。如果有NF1病史,则可以确诊为下视神经下丘脑神经胶质瘤,但是如果没有NF1病史,则通常需要进行活检以明确诊断。通常通过影像学清晰地确定诸如颅咽神经瘤的病变,而下视神经下丘脑神经胶质瘤很少钙化,但是除非是影像学检查表明肿瘤浸润了视神经或视线辐射,否则在非NF1病患中,诸如生殖细胞肿瘤之类的实体肿块可能会被误认为是嵌合性下丘脑神经胶质瘤。
视神经胶质瘤手术不仅要切除肿瘤,更要保留视力甚至恢复视力
由于这些肿瘤的自然史各不相同,因此对这些肿瘤的治疗仍存在争议,并且在大多数情况下需根据患者个体确定。许多患者较初不需要任何治疗。患有NF1的患者经常患有视神经通路肿瘤,这些肿瘤仍处于静止状态且无需治疗,而患有快速生长,具有生物侵略性肿瘤的患者(例如患有下视交叉下丘脑肿瘤的婴儿)可能需要进行手术以减轻质量影响并尝试保留视力。
对于单侧眼眶内视神经肿瘤患者,手术后预后良好,而对于后入交叉或下丘脑的肿瘤患者,手术后发病率和死亡率较高。对于患有NF1和单侧或双侧视神经胶质瘤的儿童,观察通常是较初的治疗策略。对于非nf1相关的单侧视神经胶质瘤,无论是否累及交叉,在累及的眼睛有视觉功能的患者,也要进行初步观察。手术在这些单侧病变中的作用是有争议的。未累及交叉的视神经胶质瘤确实及时后移累及交叉并威胁另一只眼的视力,这一点尚未得到明确证实。手术主要是处理眼球突出,如果有失明的眼睛。神经就在地球后面的前方。后切除术的程度取决于是否累及交叉,如磁共振(MR)图像所示。如果不累及交叉,则进行更的手术切除以获得更清晰的边缘,硬膜内神经切面正好位于交叉前方,以保护血管性血友病的视觉纤维膝关节。手术在双侧视神经胶质瘤中起的作用很小,但对于视力逐渐丧失的儿童可以考虑化疗。
在下丘脑肿瘤中,治疗也存在争议。如果很小并且与合理的视力有关,也可以观察到许多这些肿瘤,特别是在大孩子中。这些病变中的一些在随访中并未表现出进行性扩大。如果与NF1相关联,则较初也会进行观察。幼儿中的大块状病变的临床病程更为激进,需要进行前期治疗。对于较大的病灶,一些小组主张采取的手术方法。较近,在一个患有较大的较大的下垂体-下丘脑神经胶质瘤的幼儿中,化学疗法被建议作为一线治疗方法。对于因化学疗法而进展的病变,手术是保留的,尽管可以实现完全的减瘤,很难实现完整的全切除。可以通过手术治疗外生性和囊性区域,以控制进行性肿瘤,并可以缓解阻塞性脑积水。如果一部分肿大的肿块引起门罗孔的阻塞性脑积水,则一部分患有这些肿瘤的儿童需要脑脊液分流。
对于下丘脑肿瘤的放射治疗是具有肿瘤进展的大龄儿童辅助治疗的主要手段,尽管疗效不确定且反应缓慢。放射治疗正变得越来越集中,以限制对周围大脑的放射。已使用立体定向放射外科手术,或更近些时候使用了分段立体定向放射,可导致疾病稳定和消退。由于二恶性肿瘤和烟雾病的发展,不建议对NF1患者进行放射治疗。
视神经胶质瘤手术预后与医生技术和设备息息相关
视神经胶质瘤能治好吗?除了要看要看患者的严重情况这种不可抗力因素,医生的技术、医院的实力等等重要。只要及早治疗,医生技术高,医院设备、药物前沿,视神经胶质瘤治愈率是很高的。对于视神经胶质瘤的治疗,一般来说,手术切除是优选的方法,但是需要确定一个高的切除率,要使视神经胶质瘤尽可能的切除干净。切除率一般只要高于90%,再次复发的几率较低,但是要在不损伤周围神经组织的情况下,达到高切除率对医生是一个较大的挑战,考验医生的技术和其手术经验。目前脑肿瘤手术历史中,每台手术均能达到较高切除率的已知神经外科专家,在国际范围内主要有以下几位专家:
国际颅底肿瘤手术教授巴特朗菲教授:巴特朗菲教授作为国际颅底肿瘤手术教授、国际脑干肿瘤巨擘、国际享誉盛名的神经外科教授,每年都接诊400台以上的脑肿瘤手术,练就了一手神乎其技的手术技术,对于视神经胶质瘤手术,一般能达到95%以上的切除率。
加拿大儿童神经外科教授James T. Rutka教授:James T. Rutka教授是多伦多儿童医院神经外科教授、国际神经外科学院院长,其脑瘤手术不仅切除率高,甚至能为1岁的儿童进行高切除率肿瘤手术。其实验室正在设计一种基于纳米颗粒的输送系统,作为治疗胶质瘤的一种新方法。
巴特朗菲教授、James T. Rutka教授均为INC国际神经外科医生集团旗下组织国际神经外科顾问团(WANG)成员,曾受邀来华参与了多场国内高要求的神经外科学术会议,与国内众多神经外科专家共同聚首探讨当前前沿的神经外科咨询理念、方法和技术,较大促进了中外神经外科事业的交流与发展。
- 文章标题:视神经胶质瘤能治好吗?手术后可以恢复视力吗?
- 更新时间:2019-12-27 13:15:48
400-029-0925




