原发性颅内间变性神经节胶质瘤是一种少见的儿童肿瘤。他们大多表现为血压升高或癫痫症状。轴外定位比轴向定位更常见。核磁共振检查中类似毛细胞性星形细胞瘤。手术后的结果主要取决于手术切除的可能数量,肿瘤治疗是预防复发的必要手段。
INC国际神经外科顾问团成员教授、国际小儿神经外科学会前主席、国际儿童颅底学会创始人及主席意大利Concezio Di Rocco教授在其关于小儿间变性神经节胶质瘤的文章中指出,神经节胶质瘤是一种中枢神经系统的肿瘤,被怀疑来源于错构瘤性胶质瘤病变的共同前体细胞。病理组织学上,这些肿瘤由神经节细胞和胶质细胞组成。占全部儿童中枢神经系统肿瘤的4%,因此少见。间变性脑神经节胶质瘤是一种侵袭性的神经节胶质瘤亚型,主要表现为有丝分裂、细胞增多、血管增生和坏死,主要发生在病变的胶质细胞区。brafv600e突变在颅内间变性神经节胶质瘤中比脊髓髓内病变更为频繁。

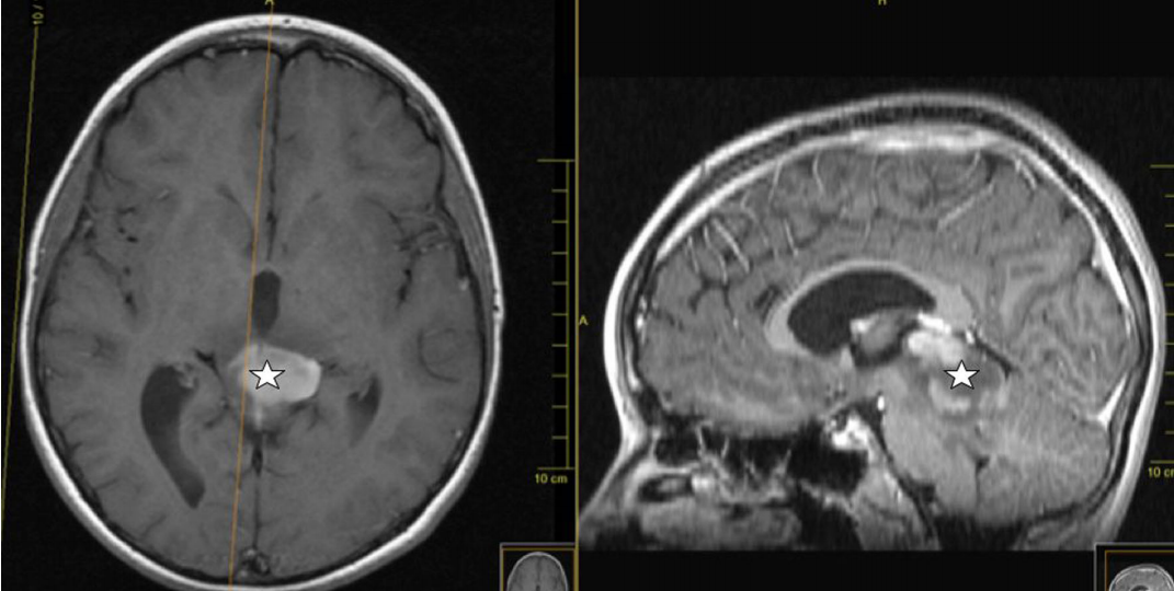
该论文还报告了一名11岁男孩因阻塞性脑积水出现头痛和复视。脑部核磁共振显示,在从小脑到松果体的四边形板上有一个轴向部分增强的病灶,引起脑积水。对病变进行次全切除,诊断为间变性神经节胶质瘤,并由参考中心确认。在较近的随访(3个月),男孩没有任何神经系统症状,并计划进行放疗和化疗。
论文还报告了7例死亡(37%),因此,如果可能的话,包括放疗在内的肿瘤治疗是必要的。但是对于间变性神经节胶质瘤预后的临床研究并不确定辅助放疗的作用,因为他们发现放疗没有生存优势。在文献中,关于小儿间变性神经节胶质瘤的毁灭性病程和相对较好的生存率的报道相互矛盾。
Di Rocco教授指出,原发性颅内间变性神经节胶质瘤的过程以局部复发或软脑膜扩散为特征。据报道,与部分切除术相比,接受肿瘤全切术的患者的5年总生存率为88%,且预后良好。在本系列研究中,只有部分切除的肿瘤(7/8=88%)出现致命结局。鉴于间变性神经节胶质瘤预后的描述,其他治疗方案应考虑进行遗传组织学检查。

结论:小儿颅内原发性间变性神经节胶质瘤(AGG)与儿童颅内病变一样少见,在放射学上与毛细胞性星形细胞瘤相似。组织学检查是确定小儿颅内原发性间变性神经节胶质瘤诊断的必要条件。术后应进行肿瘤治疗。对于幕上病变,是症状迅速发展的病变,需考虑AGG的鉴别诊断。
据悉,Di Rocco教授Di Rocco教授在国际小儿神经外科领域可谓赫赫有名,他进行过12000多台神经外科手术,对于各类儿童脑肿瘤治疗较为擅长。他是多本小儿神经外科专著的作者或合著者,经常受邀参与各地的小儿脑肿瘤治疗学术论坛及盛会,对于国际小儿神经外科发展贡献。曾任国际小儿神经外科学会主席(International Society for Pediatric Neurosurgery,1973年成立,国际小儿神外领域较重要的国际学术团体之一),目前是该团体出版的神外杂志《Child’s Nervous System》主编。

Di Rocco教授拥有12000多例神经外科手术、较为擅长脑和脊髓肿瘤、小儿神经纤维瘤、癫痫、脑积水、蛛网膜囊肿、颅缝早闭、脑和脊柱畸形等难治病症方面的治疗。他还是多本小儿神经外科专著的作者或合著者,经常受邀参与各地的小儿脑肿瘤治疗学术论坛及盛会,对于国际小儿神经外科发展贡献。
原文链接:<https://www.sci-hub.ren/10.1007/s00381-016-3302-0>
- 文章标题:小儿颅内原发性间变性神经节胶质瘤——INC意大利Concezio Di Rocco教授
- 更新时间:2020-08-27 13:46:36
400-029-0925




