胼胝体是位于大脑纵裂底部、连接两侧大脑半球的宽厚神经纤维束,构成大脑白质最重要的组成部分。其解剖结构从前至后可分为嘴部、膝部、体部和压部四个部分,其中膝部连接两侧额叶,体部连接两侧顶叶,压部连接两侧枕叶。作为大脑半球间最主要的连合纤维结构,胼胝体共包含约2亿条神经纤维,主要负责双侧大脑半球皮层区域之间的信息传递、功能整合与协调。在功能上,它不仅参与感觉、运动和高级认知功能的双侧整合,还在语言、记忆、注意力等复杂认知过程中发挥关键的半球间协同作用。

针对胼胝体的手术,尤其是涉及前部或体部切除时,存在显着的神经功能风险。最典型的是胼胝体离断综合征,可表现为左侧触觉失认、左手失用、左侧视野失读、语言-动作分离等半球间信息传递障碍。若手术涉及膝部,可能影响双侧前额叶连接,导致执行功能、动机形成和情绪调节障碍,甚至出现无动性缄默;而压部损伤则可能破坏视空间信息整合,引起视觉性共济失调或视觉记忆障碍。因此,手术中需通过神经导航、术中磁共振、神经电生理监测等技术实现精准定位,并尽可能采用纤维束保留技术,以在肿瘤最大程度切除与神经功能保护之间取得平衡。
INC国际神经外科医生集团旗下组织世界神经外科顾问团(WANG)成员Volker Seifert教授发表研究《Benefits of glioma resection in the corpus callosum》,以下是研究分享。


由于预期到术后可能出现的神经心理学后遗症,胼胝体浸润性胶质瘤患者很少接受肿瘤切除术,且多数就诊时已处于较差的神经功能状态。本研究旨在探讨胼胝体胶质瘤切除术的临床获益,并提出假设:神经心理功能障碍主要由肿瘤本身引起。在2017年1月至2020年1月期间,Seifert教授等前瞻性纳入了21例接受胼胝体胶质瘤切除术的患者。分别在术前、出院前和术后6个月对患者的神经心理功能进行评估。
结果显示,15例患者实现肿瘤全切除,6例患者实现肿瘤次全切除(切除率达97.7%)。在中位观察时间12.6个月期间,9例胶质母细胞瘤患者于中位17个月后死亡。术前评估显示,高达三分之二的患者在所有认知领域均受影响,其卡氏功能状态评分中位数为100%(范围60%-100%)。术后早期,所有神经认知领域的功能障碍患者比例均有所增加。而最具临床意义的是,术后6个月时,在注意力、执行功能、记忆力和抑郁等对日常功能至关重要的认知领域,出现功能障碍的患者数量显着减少。因此,本研究结果有力支持了我们的假设:对于胼胝体浸润性胶质瘤患者,肿瘤切除术的获益可能超过其导致的神经功能损伤风险。
关键发现
据Seifert教授所知,这是首项针对胼胝体脑肿瘤切除术患者神经认知功能的研究。本研究的主要发现如下:(1)若实施肿瘤切除,侵犯胼胝体的肿瘤患者其总生存期与未侵犯胼胝体肿瘤的相关文献报道相比并未缩短;(2)侵犯胼胝体肿瘤切除术后,患者神经认知功能仅在术后早期数日内出现下降;(3)术后至少3.1个月后,患者在所有神经认知领域的表现均显着改善。

表1:所有神经功能评估的详细内容

图:所有21名患者的Kaplan-Meier生存曲线按肿瘤切除范围分层。
神经认知功能结局
将患者在注意力、语言、执行功能和记忆等领域的表现,与已发表的、已校正年龄、性别及教育程度的健康对照组常模数据进行比较。随后,将各测试所得分数转换为Z分数,并将认知功能下降定义为Z分数低于-1.5个标准差(SD)。对于定向力、视觉空间功能、物体识别及双手协调能力,任一测试中每出现一次错误即判定为功能受损。
以Z值下降超过1.5个标准差(SD)作为认知功能下降的判定标准,图3展示了各认知领域在不同时间点出现功能障碍的患者百分比,具体数据详见表4。术后(t2时间点),所有认知领域出现功能障碍的患者比例均有所上升,其中注意力领域呈现显着恶化(p=0.027)。最重要的是,在中位随访期5.3个月后(t3时间点),各认知领域出现神经认知功能障碍的患者数量均明显减少,其中注意力、执行功能和记忆领域的改善均达到统计学显着性(p值分别为0.01、0.034和<0.001)。

图3具备常模数据的认知领域,以Z值下降超过1.5个标准差为判定标准,各认知领域在t1(术前)、t2(出院前)及t3(长期随访)时间点出现功能障碍的患者百分比分布。
对于那些缺乏常模数据的神经认知测试,其结果呈现相似趋势(图4);在时间点t1(术前)至t2(出院前)期间,所有认知领域出现功能恶化的患者数量均有所增加。至t3(长期随访)时,存在功能障碍的患者数量在所有领域均较术前及术后评估时减少,其中视觉空间功能在术后过程中呈现显着改善(p=0.040)。

图4缺乏常模数据的认知领域,各领域功能障碍患者比例(以Z分数下降超过1.5个标准差为判定标准)在时间点t1(术前)、t2(出院前)及t3(长期随访)的变化情况。
尽管分子诊断与现代个体化治疗已取得新近进展,大多数胶质瘤患者的生存期仍然有限。现有广泛证据表明,除年龄、术前卡氏功能状态评分及辅助放化疗外,肿瘤手术切除范围对患者生存期具有显着影响。然而,侵犯胼胝体的胶质瘤患者鲜少接受肿瘤切除术。一方面,此类肿瘤因侵犯胼胝体进而向双侧大脑半球播散而被认为更具侵袭性;另一方面,许多神经外科医生为避免患者神经功能或神经认知功能损伤,通常避免在胼胝体区域进行肿瘤切除。
胼胝体的功能与损伤后果
胼胝体作为最大的大脑半球间联合纤维束,负责连接双侧大脑半球的同源皮质区域。尽管现有证据主要支持其兴奋性功能假说,但关于胼胝体究竟发挥兴奋还是抑制功能仍存在持续争议。研究表明,胼胝体能够增强双侧大脑半球间的信息处理整合功能,这一观点得到以下观察结果支持:能够完成复杂任务者及行为偏侧性较低者的胼胝体体积往往更大。最新研究还发现,通常认为因语言功能区常位于同侧而呈现更强偏侧化的左脑优势者,其胼胝体体积显着小于右脑优势者。
胼胝体损伤可能导致多种临床症状,统称为胼胝体离断综合征。其中最常见症状包括左侧触觉失认、左侧视野失读及上述所有行为功能障碍。通过神经心理学测试可发现,胼胝体受损患者还存在述情障碍、注意力障碍、言语与工作记忆受损以及学习与协调新双手任务困难等症状。
观察到许多伴有巨大额叶胶质瘤及胼胝体侵犯的患者,在确诊时已表现为意志缺乏、意志缺失或意识障碍,其中多数在肿瘤活检后数月内死亡,即使接受了放化疗亦不例外。
这促使我们提出假设:肿瘤切除术对患者的伤害可能并不比放弃手术更大。同样,切除侵犯胼胝体的肿瘤组织甚至可能改善患者的神经功能状况——我们推测,减轻占位效应及改变周围神经元微环境可转化为更好的神经认知与神经功能。
肿瘤切除术显着改善预后
值得注意的是,直至近年才陆续有研究关注侵犯胼胝体肿瘤的切除。Chaichana等报道显示,肿瘤切除术显着改善了胶质母细胞瘤患者的中位生存期,与仅行肿瘤活检相比使患者剩余生存时间延长一倍;研究发现肿瘤体积切除率≥65%与更长的总生存期相关。Dayani等就肿瘤切除范围对胶质母细胞瘤的影响进行了另一项分析,发现总肿瘤减容程度(而非胼胝体内切除范围)影响患者总生存期。Chen等同样观察到,在低级别和高级别胶质瘤中,肿瘤切除范围均与较长总生存期独立相关,而胼胝体侵犯则未显示与总生存期的显着关联。

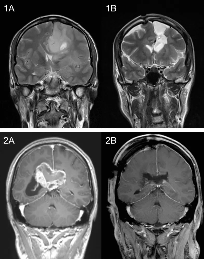
两例胼胝体侵犯性胶质母细胞瘤患者示例。图(1A)与(2A)显示术前肿瘤情况,图(1B)与(2B)显示术后结果。患者1,36岁,接受了巨大左额叶胶质母细胞瘤的次全切除术,后续行同步放化疗。该患者在任一观察时间点(即术前及长期随访期间)均未出现任何严重认知功能障碍。患者2,38岁,接受了侵犯胼胝体压部主体的巨大胶质母细胞瘤次全切除术。术前该患者存在严重记忆障碍,术后逐渐改善;术后新出现的轻度注意力及语言功能障碍亦随恢复逐步好转。
研究结论
本研究结果表明,对侵犯胼胝体的大体积肿瘤进行完全或次全切除具有临床获益。患者的总生存期和神经认知功能未出现长期下降,反而显着改善,这为以下观点提供了证据:对于术前神经功能状态相对较好、肿瘤侵犯胼胝体的胶质瘤患者,肿瘤切除术的获益可能超过其所致并发症风险。
- 文章标题:INC大咖研究 | 胼胝体胶质瘤手术:从“不可触及”到“功能保留下的积极切除”
- 更新时间:2026-01-25 13:46:41
400-029-0925




