
巴教授手术纪实
从脑瘤手中夺回的人生
从2025年8月底查出4cm巨大海绵窦区占位性病变,到10月22日顺利手术,再到术后第9天出院,短短两个月,在一家人的全力支持下,陈女士终于走过了人生中这段惊心动魄的求医之路。再次讲述这段经历时,她像一只即将飞出医院的快乐小鸟,言语间满是轻快,整个人散发着新生的朝气。
然而,经历黑暗才会知道,走过来也并不容易。一位心中充满爱,也收获很多爱的陈女士,希望自己的经历可以给大家带来更多信心——“人生总会遇到各种坎坷,不必顾虑重重。生病了就看病,解决问题,然后继续向前。就像电影里哪咤说的:‘我命由我不由天’,万事自己心态放好,才是最重要的。”
这台手术的难度,远超常人想象。曾一度被许多人视为“无人之地”的海绵窦区因其复杂的结构和密集的神经、血管,至今令人畏惧。该区域不仅包绕颈内动脉,更密集走行着动眼神经、滑车神经、三叉神经和外展神经等重要颅神经。手术中,一旦损伤到神经或血管,患者可能会出现复视、眼球不能活动、面部麻木等神经功能障碍;如果颈内动脉受损,还可能引起严重的大出血或脑梗死,从而导致偏瘫甚至危及生命。
手术难度大、风险高,可情况紧急必须尽快手术,这让一家人陷入了两难。直到得知巴特朗菲教授即将来华交流的消息,他们才在迷雾中看到了一束清晰的曙光。


最终,在巴教授与国内神经外科团队的精密配合下,这个血供丰富的肿瘤被顺利切除。“一切顺利、术中看着不是恶性的……”手术室外,陈女士的家人一次次鞠躬致谢。一家人辗转多地、四处求医,所有的奔波与努力,在听到巴教授带来的“天大的好消息”时,立刻流下了激动的泪水。术后病理:孤立性纤维性肿瘤,CNS WHO2级,这是一种基于硬脑膜的成纤维细胞性肿瘤。巴教授也在术后给出指导意见:暂时无需放化疗,定期随访即可。

而陈女士术后的恢复情况,更是令人惊喜。手术后一醒来,她就发现眼睛不仅能睁开,还能看清东西。术前担心的眼皮无法抬起并没有发生!在ICU完全清醒后,她甚至有点不敢相信自己刚刚经历了手术。除了头部略有胀感,整体状态非常好。
术后第1天,陈女士声音洪亮地向巴教授问好:“你好,巴教授!”当被问到感觉如何,她笑着说:“特别好,就像没动过手术一样。”巴教授查体后也欣慰地表示:动眼神经功能完好。
术后第1天
术后第2天,陈女士如一颗充满能量的小太阳,乐观而明亮。当巴教授前来查房时,她送上鲜花与贺卡,上面写着:“感谢巴教授,我心目中的保护神!”激动之余,她还特别准备了一段英文再度表达了对教授的深深谢意。临别前,她赶忙请家人为她与教授合影留念。镜头前,她像个开心的孩子,自信地比出胜利的“耶”手势,脸上洋溢着难以抑制的喜悦与激动。

感冒后眼眶胀痛,意外查出脑瘤
去年8月,我感冒之后发现眼眶有些胀痛,于是去看了眼科。检查后排除了眼部问题,医生提示说,有时候鼻窦发炎也可能引起类似症状。随后我又去看了鼻科,鼻窦医生检查后说目前鼻窦看起来没什么异常,但建议我拍个鼻窦CT进一步排查。
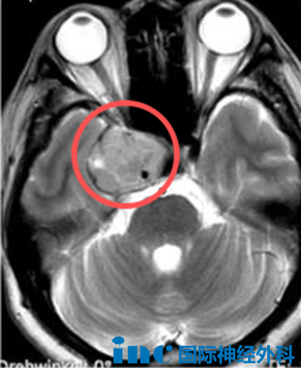
没想到,在做鼻窦CT时,无意之间扫到了脑部,发现脑子中间有肿瘤。我们立刻在当地医院做了核磁共振,确认肿瘤位于海绵窦区,大小约2.6*3.0*4.1cm。从那之后,我们全家开始了多方求医之路,先后去了北京、上海等地,可始终无法明确肿瘤的具体性质。

手术风险大,全家出动为我寻找更优解
当时全家人都非常紧张,我也很害怕是恶性肿瘤。不过,国内多位专家会诊后都表示,这个位置的肿瘤90%是良性的,不用过度担心,这让我心情缓和了很多。但医生们也强调,这个区域手术难度非常大,很容易损伤神经,可能造成眼睛无法抬起、转动等后遗症。我还年轻,无法接受这个情况。因此,我们下定决心,一定要寻求更好的手术方案。
全家人都在努力的在网上找寻各种资料,无意中看到巴教授的。巴教授术前评估说到术后可能会出现一些暂时性问题,但我一点都不担心。我非常信任他,心态一直很乐观,因为我知道自己已经找到了他。我只需要勇敢面对,没什么可担心的。

巴教授评估截取:手术指征明确。若患者同意接受手术,我可在近期为其实施手术。
脑子里长了这么大的肿瘤,怎么能等?
虽然巴教授也判断我的肿瘤偏良性,位置也不是立刻危及生命。但我们全家一致认为:生病不能拖,既然发现问题,就要尽快解决,不能拖延。有病就要治,第一时间处理,一分钟都不能耽误。所以我们都很积极的去面对这个事情。
之前有医生建议我可以再等等,但我们觉得这不合理——脑子里长了东西,怎么能等?我们必须要解决它。
醒来第一件事:试眼睛能不能睁开
巴教授给我手术,术后醒来时我特别激动。医护人员轻轻叫醒我,说手术已经结束了。我赶紧用手捂住眼睛,慢慢睁开右眼——发现眼睛不仅能睁开,还能看清楚。那一刻,我高兴极了,觉得手术非常成功,心里特别满意。
当晚八点,我在ICU已经完全清醒,整个人特别兴奋,一点也不困,直到凌晨两点才睡着。当时就觉得我的天呐,我有做过手术吗,我怎么都没有感觉。只是觉得这个头部这个地方有一点点胀胀的,一点都不疼。整体状态良好,甚至还觉得饿,特别想吃点好吃的。
术后6小时需要禁食禁水,等到7个小时,ICU的护士特别体贴,主动帮我问了医生,然后端来温水,用吸管一点点喂我喝。第二天早上,她还用手机让我给家里人打了个电话,家里人给我送来了小米粥,真的很感谢她。
我是术后第二天早晨拔了尿管之后下地的,当时走路基本正常。刚站起来时有一点点头晕,但很快就恢复了。
巴教授:“我不是神,但会保护患者”
从巴教授到整个医疗团队,从ICU到病房,我都感受到一股暖暖的爱。团队里的每一个人像春风一样的笑容感染了我。我觉得他们可以用“大爱无疆”这个词。巴教授临走时还特地和我握手道别,他说:“虽然我不是神,但我会尽力保护患者。”这句话我会永远记得。他就是我的“保护神”,我由衷地感谢他。
我对巴教授非常佩服。从术前评估到术后可能出现的问题,他说的和实际情况一模一样,甚至更好。我从未怀疑过他的专业判断,也完全认可他的医术。这次手术完全达到了我术前的预期。
我相信“我命由我不由天”
人生总会遇到各种坎坷,不用想太多,也不必顾虑重重,勇敢向前,闯过一个又一个挑战,迎接一个又一个问题。就像电影里哪咤说的:“我命由我不由天。”万事自己心态放好,才是最重要的。
我要开心过好每一天,保持积极乐观。生病了就看病,解决问题,然后继续向前。每天开开心心,过好每一天,健康也是最主要的。
现在,这道坎我们已经迈过去了。相信以后会越来越好,明天一定会更光明。
400-029-0925

