一场突如其来的脑干出血打破了20岁大学生Maritta原本平静快乐的生活。本来一直健健康康的她突发意识紊乱,左侧肢体偏瘫,做了核磁检查才发现,原来是脑干中脑部位有海绵状血管瘤在“作祟”。
20岁,没有退缩,Maritta和几位有着类似病情的少年,有着青春最美好的样子。你曾以为他们还小,可他们已经勇于做好每一个选择!这份坚定选择手术的勇敢,为他们换回了重返校园、续写梦想的通行证。人生的赛道很长,而他们,已赢下了关键的一程。
治疗的关键:手术全切
由于脑干内密集颅神经核团、上行及下行纤维束以及网状纤维,较小的病变即可导致严重且复杂的症状。如中脑病变可因出血阻塞中脑导水管而导致头痛、呕吐及意识障碍;脑桥病变可影响等Ⅴ、Ⅵ及Ⅶ对颅神经核团,出现面部感觉障碍、眼球外展障碍及面瘫;延髓病变则可导致呼吸、循环障碍,顽固性呃逆及胃肠道出血。
脑干海绵状血管瘤易反复出血,为更大限度挽救患者生命,提高生活质量,通常采用显微外科手术并借助准确的影像学诊断进行治疗。在治疗过程中应合理选择手术入路,运用显微外科技术安全切除病灶,将再出血风险降至更低,这是治疗取得成功的关键。对脑干海绵状血管瘤患者进行手术治疗时应以全切除病灶、防止出血和再次出血并尽量减少对正常脑干实质的损伤为目的。
脑干病变如何顺利全切?
Maritta四处求医,几乎没有医生有把握能胜任这个手术,直到最后她找到了巴特朗菲教授。
术前情况:20岁,大学生,意识紊乱并逐渐恶化,左偏瘫,MRI显示脑干中脑出血,急性梗阻性脑积水。病变位于脑干腹侧中脑中线,体积为10.7立方毫米,深度为42.5mm和和11.6°的肿瘤侧倾角(图A、B)。
手术入路:巴特朗菲教授根据患者的病情和肿瘤生长及MRI影像特点,先行脑室引流术,后采用双额骨瓣开颅、经基底纵裂入路进行病变全切手术。
术后情况:术后Maritta的恢复也很顺利。患者的意识和偏瘫迅速改善,脑积水消退。病人步行出院,没有3个月后随访的神经或认知功能障碍。术后MRI显示完全切除了轴内血肿和血管病变(图C、D)。

图A和B显示术前MRI影像,出血性中脑海绵状血管瘤诊断明确。黄色虚线表示肿瘤深度(42.5毫米)。图C、D显示完全切除血管病变后的术后MRI,病变全切,压迫占位效应解除,脑组织复位,未见手术损伤如脑出血、脑水肿等。
勇敢的20岁,勇敢的TA们
小小的脑干位处大脑深处,从手术风险大到顺利手术,勇敢的少年们在父母的支持下,取得胜利。
18岁桥臂海绵状血管瘤
保守观察突发紧急情况
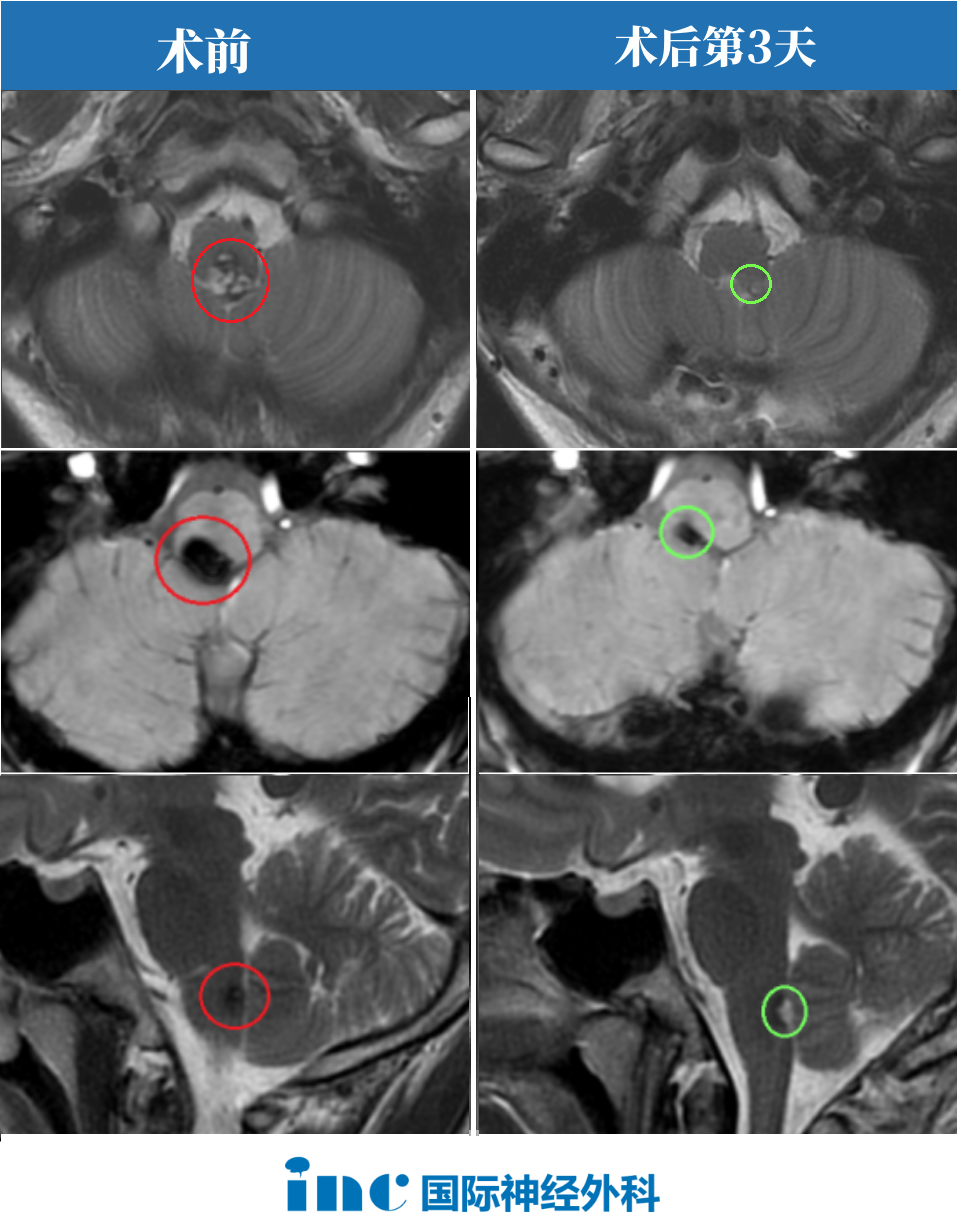
鹏鹏暑假时,突发头晕、耳鸣、面部麻木等,检查却发现脑干及右侧桥臂区异常信号,海绵状血管瘤可能。在医生的建议下保守治疗,仅仅过去10天,鹏鹏头晕症状加重,行走不稳,视物重影,由急诊120送至北京。医生告知需要手术,但风险高,术后会有并发症。此时鹏鹏右耳听力几乎丧失,这个年轻的生命又该如何绽放出青春的光彩?“我们全程都是120医疗转运,我们症状特别重。手术很顺利,选择还是对的。巴教授手术后第二天他头晕就没了,症状在慢慢减轻,一天比一天还好。”

19岁延髓海绵状血管瘤
“这个事情赶紧结束,给我一个定论”
19岁少年阿朔,头痛头昏查出脑干延髓海绵状血管瘤。“一个人不太能接受这个事情,刚查出来是非常痛苦和煎熬的,书也读不进去,甚至饭都吃不下……”一个阳光爱笑的大男孩陷入人生低谷至暗时刻——“在那一刻我就觉得时间好慢,我希望要么我赶紧做手术,要么这个事情赶紧结束,给我一个定论。”勇敢抗争的少年,全力支持的父母,一家人在多方就医后找到INC巴特朗菲教授。巴教授国内示范手术全程直播,全切病灶。术后一个月,阿朔回到大学校园,回归正常的学习和生活。

“我自己还是想做手术”
在命运分岔口果断抉择
长得高高壮壮的他看起来充满活力,然而2年前突然感觉站不稳想吐,之后持续数日的头晕、乏力、睡眠质量下降呕吐,检查怀疑脑干海绵状血管瘤。“我这么年轻,保守是肯定是不可能保守太长时间的,感觉整个人都会抑郁的,整天都过着这种提心吊胆的日子。后来我与巴教授面对面咨询以后,他说手术对于脑干的功能不会有损伤,我才最终坚定地选择了手术。家里人也是支持我的想法。我确定了手术,现在已经恢复的跟正常人一样了。我可以回归到我以前想要的那种生活,不要再过那种提心吊胆的日子了,也可以去实现我曾经没有实现的梦想了。”

点击阅读阿豪的故事:少年勇敢抉择战胜脑干海绵状血管瘤,术后1年继续奔向美好的未来!
参考文献:Helmut Bertalanffy.Predicting the necessity of anterior communicating artery divisionin the bifrontal basal interhemispheric approach.Acta Neurochir(2016)
400-029-0925




