“我家孩子从不用我们操心”——这是Rita的妈妈提起女儿总是很自豪,女儿成绩常年稳居年级前三,舞蹈比赛拿过金奖,连摄影作品都挂在学校展厅。
可半个月前,一切开始变糟:女儿说“黑板上、书上的字有重影”,接着走路摔跤,最后连简单的数学题都算错。当看到诊断书上赫然写着“脑干海绵状血管瘤”几个字时,恐惧、焦虑、绝望瞬间包裹住这个原本美满幸福的家庭。
被误读的"疲劳综合征"
“一开始以为是复习太累了。”Rita同学的妈妈回忆,最初女儿只是说“看东西有重影”,揉揉眼睛又能看清,家人只当是备考压力大、休息不足。直到半个月后,重影看不清的情况越来越重,甚至肢体无力,走路也走不稳,成绩也一落千丈。
不敢再拖延,家人赶紧带着Rita前往医院。当头颅MR结果出来时,医生的话像冰锥扎进心里:“脑干有占位,考虑是海绵状血管瘤,还伴有出血。”
医生解释:“脑干是人体的‘生命中枢’,唿吸、心跳、吞咽、肢体运动全靠它控制,这地方的病变动不得。先去ICU保守观察,随时可能恶化。”
保守治疗意味着“等着风险找上门”,手术又因难度太大无人敢接。看着病床上眼神黯淡的女儿,Rita的父母第一次感受到“绝望”——难道这个才十几岁的孩子,就要停下人生的脚步?
在"手术禁区"精准拆弹
就在全家快要放弃时,当地医生提到了一个名字:巴特朗菲教授。这位德国神经外科专家,有30余年脑干病变手术经验,擅长在显微镜下精准切除脑干、颅底等“禁区”病变,曾为无数类似患者保住神经功能。
更让一家人看到希望的是:教授得知Rita同学的情况后,当即表示“可以随时安排入院手术,争取全切病变”。一家人重新看到了希望,如果手术成功,那么这就是“重生”、就是“奇迹”。
术前检查时,三维重建影像清晰显示:Rita的海绵状血管瘤与脑干核团、颅神经紧密缠绕——这也解释了她为何会出现“重影”“肢体无力”:病变已经压迫到控制视觉和运动的神经。

术前MR,发现脑干海绵状血管瘤,伴有脑出血。
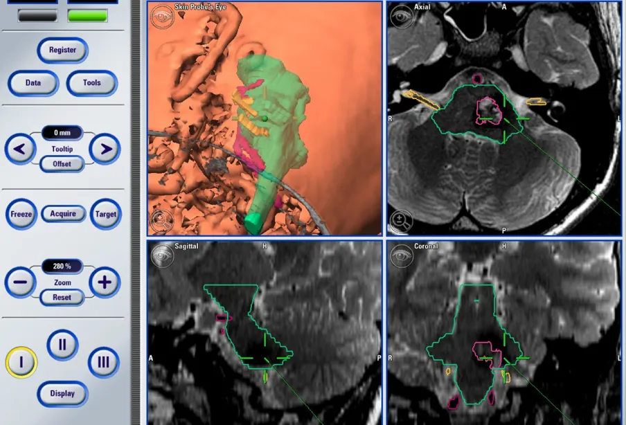
手术当天,整个团队严阵以待。这场手术的每一步,都像是在“刀尖上跳舞”:巴教授选择“乙状窦后入路”开颅——这一入路能绕开重要血管神经,直达脑干病变区域,最大程度减少对正常脑组织的损伤。

术前MR,发现脑干海绵状血管瘤,伴有脑出血。
术中全程开启电生理监测,在高倍显微镜下,教授一点点分离病变与正常脑干组织,避开缠绕的颅神经,最终将海绵状血管瘤完整取出。

术中开颅、切开硬膜后,暴露脑干,用电生理监测术中探测核团所在。
手术过程仅用了2.5小时,术后测量脑干切口仅3cm。

全切病变后,直尺测量经脑干切除病变切口为3cm
当听到医生说出“手术很顺利,病变也被全切”时,Rita的父母当场红了眼,压在心里的巨石,终于落地了。
从ICU到学霸归位
一场跨越3年的“重生”
对Rita同学和家人来说,手术结束不是终点,而是找回正常生活”的起点。术后的每一天都充满了新的希望:
术后第1天:Rita在ICU接受脱水、抗炎治疗,生命体征平稳,自主唿吸正常;
术后第2天:复查CT显示颅内无脑水肿、无新发脑出血,她能清晰说话、吞咽正常,顺利转出普通病房;

术后第3天:Rita高兴的发现看东西终于不重影了,在康复师协助下,她第一次下床慢慢走动,开始进行肢体功能锻炼;
术后第10天:伤口拆线愈合良好,症状较术前明显好转,她已经能自主站立行走。

术后3年,Rita同学,视物、肌力完全恢复如常,不仅跟上了学习进度,还以优异成绩通过德国高考Abitur,拿到了心仪大学的录取通知书。
她在回访时说,“知道自己从死神手里走了一遭,才更珍惜能正常学习、和朋友玩耍的日子。真的很感谢巴教授,让我能继续写自己的人生。”
脑干海绵状血管瘤引起的脑干出血非常凶险,当出现手术指征时,应以尽早手术全切,争取痊愈机会。手术的预后与术前出血次数、症状持续时间、患者自身身体情况、主刀医生的手术技术、手术团队的水平和配合度等有很大关系。
因此,建议患者不要等到多次出血、面临生命危险的时候才想到做手术,并且应该找有成功手术经验的医生、成熟的医疗团队和高精密医疗辅助设备的医院做手术,更大程度上避免手术并发症的出现,让术后生活质量有保障。
- 文章标题:学霸女儿说看字有重影时我没在意,直到查出脑干出血,我才知什么是绝望!
- 更新时间:2025-09-13 10:50:38
400-029-0925




