脑干出血能治好吗?
“哎呦我的脑壳痛,我要昏了!”
没想到,这是一位百万粉丝主播留在世界上的最后一句话。直播中突发脑干出血,在下播送往ICU抢救无效后身亡,年仅32岁。相关人员称,此前他曾多次在直播时感慨,身体实在是快熬不住了。高血压,加上压力大,又经常熬夜工作,从而导致了悲剧的发生。
而在新闻中,这样的事情并不少见:“长期工作劳累突发脑干出血,抢救无效”,“34岁男子脑干出血命悬一线”……脑干出血是什么原因造成的,为何这么可怕,还能治好吗?

针对这个脑干出血患者非常关心的话题之一,今天我们来聊一聊……
脑干出血作为一种特殊类型的脑出血,是脑出血当中非常致命的一种类型疾病,发病迅速,症状严重,致残及致死率极高!这么凶险的主要原因还是其发生在脑干(包括中脑、脑桥、延髓)——这一控制呼吸、心跳、血压等生命中枢的“核心区域”。

脑干出血恢复效果怎样要看具体病因、出血量、治疗方式等不同而不同了。
原发性脑干出血保守治疗居多。由于手术风险高且疗效不确定,临床上较少采用手术干预。不过,近年来也有部分医生尝试手术治疗。若主刀医生经验丰富、血肿清除及时,且围手术期管理得当,这类患者仍有可能获得较为理想的恢复效果。
若是因脑干海绵状血管瘤导致的脑干出血,部分患者可能在出血吸收后逐渐好转。但若不进行手术,则可能面临反复出血和症状加重的风险。如能通过手术实现安全全切,且术后未遗留严重后遗症,患者有望回归正常生活。
脑干出血原因有哪些?原发性VS继发性
脑干出血,要尽早识别、找到病因并给予相应处理。脑干出血一般分有原发性和继发性。
原发性脑干出血常见的原因是高血压。长期高血压可引起脑内小动脉发生玻璃样变和纤维素样坏死,从而导致血管壁结构薄弱、弹性下降。当患者血压骤然升高时,此类病变血管极易发生破裂,引发脑干出血。由于脑干穿支动脉管径细、分支角度大、直接承受较高的血流压力,其在高血压作用下更易受损,因此成为脑干出血的高发部位。
出血量即使很小,也可在数分钟至数小时内迅速出现致命性临床表现。既往研究报道,原发性脑干出血总体死亡率为30%–90%;单纯保守治疗的良好预后率仅为15.3%–78%。原发性脑干出血常导致严重意识障碍、瞳孔异常、呼吸及运动功能障碍。
而血管畸形,主要是海绵状瘤和动静脉畸形,可能是脑干出血的继发性原因。这些畸形的血管壁发育异常,结构薄弱,容易在血流的冲击下破裂出血。
脑内动脉瘤是由于脑动脉壁的局部薄弱或缺陷,在血流的冲击下形成的囊性膨出。当动脉瘤破裂时,就会导致脑干出血。
此外,脑干本身的肿瘤或转移性肿瘤可能会侵犯血管,导致血管破裂出血。
脑干出血能治好吗?原发性脑干出血需要手术吗?
对原发性脑干出血采取保守治疗还是尽早手术清除血肿,目前仍存争议。大多数的患者均以内科治疗为主,如果病情危重或发现有继发原因,且有手术适应证者,则应该进行外科治疗。
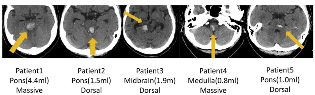
INC巴教授2018年发表论文《Surgical Treatment for Primary Brainstem Hemorrhage to Improve Postoperative Functional Outcomes》中讨论了5例接受手术治疗的原发性脑干出血患者,以及手术治疗改善术后功能结果的能力,分析了术后1周的术后功能结果(表3)和出院后6个月的改良Rankin量表评分(表4),结果显示均有所好转。

图:5例原发性脑干出血(PBH)患者的轴位CT影像。

表3:术后1周的功能结果

表4:手术前和术后6个月Rankin量表评分
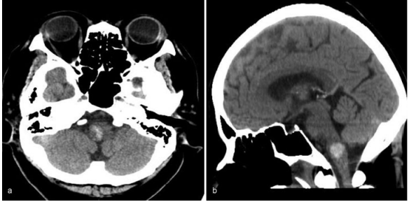
其中,一位70岁的老人因为突然出现恶心和呕吐而被转诊到巴教授所在医院。右舌下神经麻导致右舌偏斜。她的血压是201/100毫米汞柱。电脑断层扫描(CT)显示右侧延髓出血。

图:右侧延髓出血的电脑断层影像,(a)轴向(b)矢状面。
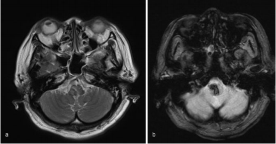
入院后,她出现白天呼吸抑制(每分钟呼吸10次)和夜间呼吸暂停。然后她进行插管,并用呼吸机控制呼吸。MRI未发现明显的出血原因,如海绵状畸形、动静脉畸形或肿瘤。患者随后被诊断为高血压原发性延髓出血,随后通过持续静脉输入钙通道阻滞剂来降低血压。然而,病人的呼吸抑制没有改善。

图:磁共振图像显示出血没有明显的病理原因,(a)T2加权(b)T2加权。
因此,她在入院后3天进行开颅手术。在右侧延髓观察到血肿,并通过冲洗清除血肿。血肿清除后,延髓肿胀减轻。术中神经生理监测(运动诱发电位和感觉诱发电位)保持不变。术中无海绵状畸形等病理学证据。术后CT显示血肿消失。
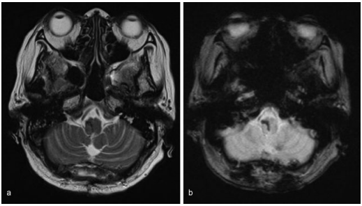
手术后,她的自主呼吸提高到每分钟15次以上。术后第5天停止呼吸机支持,术后第6天拔管。术后5周核磁共振成像显示无结构异常。康复后,自主步行出院,没有进一步的并发症。

图:术后电脑断层扫描显示延髓血肿消失

图:术后5周磁共振成像未见结构异常。
脑干海绵状血管瘤引发的脑干出血又该如何治疗?
脑干海绵状血管瘤是一种血管畸形,占颅内血管畸形的5%-16%,其中18%-22%颅内症状性海绵状血管瘤发生于脑干。脑干海绵状血管瘤的自然史尚不清楚,一旦有症状,其临床进展很快,再出血率明显增加。脑干的再出血可引起灾难性的神经功能缺失,手术全切病灶是防止再岀血的有效手段。然而由于其特殊的解剖关系,在脑干这一狭小区域布满神经核团和神经束,其手术虽存在很大风险但也富于挑战性。
近期,巴教授在2025在华学术交流中,受邀开展学术沙龙。与国内诸多神经外科专家交流其与脑干携手近50年、深耕脑干手术30余年的经历。“脑干海绵状血管瘤前沿治疗策略”作为核心议题之一,截至2025年上半年,巴教授已为371名脑干海绵状血管瘤患者成功手术,其中包括215名女性患者,156名男性患者,年龄涵盖1岁至69岁。从手术部位来看,104例位于中脑,215例位于桥脑,52例位于延髓。

总结
脑干病变切除是外科领域难度技高风险极大的手术之一,不仅需要医生丰富的临床经验和高超的技术水平,还需要术中磁共振(iMRI)、术中神经电生理监测、术中神经导航系统等保障手术的精准安全。因此,脑干出血等病变想要最大程度降低并发症的前提是选择一个手术经验丰富且技术高超的神经外科手术团队以及具备一系列先进术中监测设备的医院。
- 文章标题:“哎呦我的脑壳痛!”竟成他最后一句话…凶险的脑干出血能治好吗?
- 更新时间:2025-09-05 10:37:36
400-029-0925




