脑干出血是一种严重的情况,出血发生在大脑的脑干区域。这对该地区的结构造成了压力和损害。脑干出血可以有各种不同的原因,包括创伤、中风或血管畸形等。一旦开始出血,出血往往进展迅速,预后较差。
脑干是维持神经系统健康、意识和生命所必需的基本系统的关键结构。它位于大脑的底部,与脊髓相连,它包含三个结构——中脑、脑桥和延髓。脑干控制着生命的基本功能,如呼吸和心率,以及协调大脑和身体其他部分之间的大部分信息。同样位于大脑这个区域的是网状激活系统,它对意识很重要。如果这个系统被损害了,一个人就会失去知觉。脑干出血能治好吗?脑干出血通常原因不同治疗方法也不同。

脑干出血的原因有哪些?
脑干出血有几种不同的潜在原因。严重或重复的脑干脑外伤可导致脑出血。出血性中风是一种导致大脑出血的中风;这些疾病的病因多种多样,如高血压、可卡因滥用或脑血管瘤。这种出血可以发生在大脑的多个区域,包括脑干。
造成这种出血的另一个因素是先天性的,或者说在出生时就存在的一种叫做动静脉畸形的疾病,在这种疾病中,脑干中的血管是不正常的,并纠缠在一起形成一个复杂的网。瘘管是一种不正常的连接通路,它直接连接动脉和静脉,扰乱了正常的血液流动过程。在正常的血液流动过程中,富含氧气的血液从心脏流经动脉,而缺氧的血液则通过静脉返回心脏。如果动静脉畸形破裂,就会发生中风和出血。如果诊断及时,动静脉畸形有外科和非手术治疗。
脑干出血常见的症状是意识迅速下降,导致昏迷。任何或全部肢体失去运动控制或失去对眼睛运动的控制是其他常见的症状。通常情况下,病人的病情会迅速恶化。
出血可以发生在大脑的许多不同区域和周围的结构。患有这些疾病的病人可以在不采取包括保守治疗或手术在内的医疗干预措施的情况下完全或部分康复。不幸的是,脑干出血较有可能导致长期性和严重的脑损伤、昏迷或死亡。出血较少的病人可以成功地通过手术来释放血液和减少对大脑的压力。
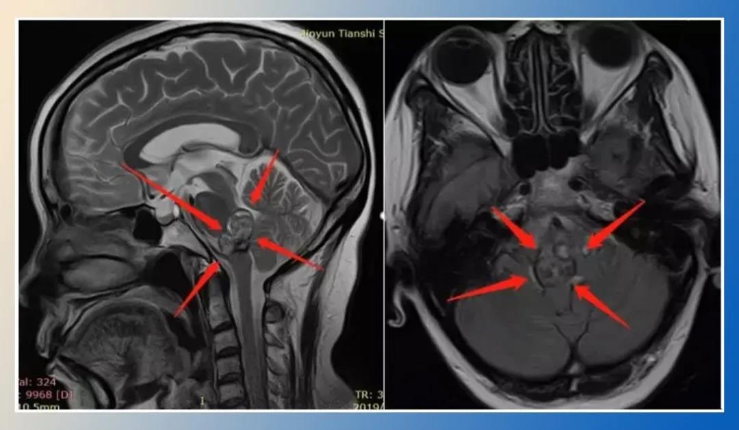
6次脑干出血成功治疗案例报告一则
病史:黄女士,年龄50+岁,肢体无力、面部麻木、构音障碍,10多年脑干海绵状血管瘤病史,既往共发生5次脑干出血。3度因出血引起生命垂危入住ICU治疗60多天,有高血压病史

1、术前诊断:脑干脑桥海绵状血管瘤,6次脑干出血活动期,压迫四脑室

2、手术医生:德国INI国际神经学研究所Helmut Bertalanffy(巴特朗菲)教授
3、手术结果:显微镜下全切肿瘤,肿瘤切除历时约1.5小时,手术顺利。
ICU治疗时间:1天,可完全自主呼吸,术后2天拔插管并转出ICU病房。
术后48小时内MR复查显示肿瘤全切

4、出院时间:术后2周
术后功能状态:术后一周,患者能独自下床、少量活动,面部麻木消失,一侧头部麻木感较手术前好转,发音较术前好转,无其他手术相关并发症,术后10天左右顺利拆线,术后2周出院。
INC国际神经外科顾问团之德国巴特朗菲教授倾20多年心力在手术“禁区”上的脑干海绵状血管瘤得到了的临床效果,小小的脑干上,根据肿瘤生长形态特点可以有十几种手术入路,经验丰富,技术高超。脑干出血患者,国内治疗效果不理想时,可联系INC国际神经外科医生集团咨询咨询。
- 文章标题:脑干出血能治好吗?
- 更新时间:2020-05-26 14:11:02
400-029-0925




