脑干出血可能是一种具有广泛症状的损害性疾病。出血可能是由于外伤,中风潜在的血管畸形或一系列少见疾病。CT和核磁共振成像扩大了我们对这种疾病的诊断和理解。脑干是人的生命中枢,脑干包括中脑、脑桥、延髓,脑干海绵状血管瘤是导致脑干出血,病人可出现肢体瘫痪、昏迷及生命风险。脑干出血是什么原因造成的?
1812年谢恩一次描述了脑干出血(谢恩1812)在对表现为昏睡和昏迷的患者的病理学研究中。1877年波德回顾了文献中报道的67例患者的发现(波德1877)。高尔指出,意识丧失不是一个基本特征,患者经常出现癫痫发作(高尔斯1893)。1900年奥本海默详细描述了脑桥出血的临床特征(奥本海默1905)。回顾了脑干出血的年代学历史(汤普森和萨尔曼1988;海恩斯和莫尔曼1993)。
在CT扫描时代之前,关于脑桥外脑干出血的报道很少,可能是因为这种情况很轻微,而且经常与脑干梗塞混淆。中脑和髓质出血的临床和病理描述是在引入头颅CT扫描后描述的。即使使用CT,Duret(杜蕾特)出血的检测也可能受到限制(丸红和索德2008)。CT还使人们认识到脑干出血的“良性变异”(Shuaib 1991)。
脑干出血原因
脑出血的风险随着年龄的增长而不断增加。然而,脑干出血发生在较年轻的患者组,发病率较高的患者发生在40岁至60岁之间。原发性脑干出血常见的原因是高血压。先前的研究已经注意到脑干出血在可卡因使用者中的较高分布,但这一风险因素与脑干出血之间的关系并不。
出血的潜在机制是继发于血管损伤,常见的是高血压(Dinsdale 1964)。出血导致脑干严重损害,往往预后严重(Chen et al 2019)。年轻人在没有高血压的情况下可能会出现出血。这类病变通常继发于血管畸形(Mangiardi和Epstein 1988)。血肿通常较小,产生较轻的缺损。在许多有这种血管病变的患者中,手术清除血肿可能导致早期好转(Mangiardi和Epstein 1988;Stea等,1994年)。手术切除可防止复发。少量出血可能继发于腔隙疾病(II型腔隙)(Challa和Moody 1989)。这些患者的临床表现类似于脑干缺血性腔隙受累(Challa和Moody 1989)。脑干出血,按频率排列,见于脑桥、中脑和髓质。
血管畸形,主要是海绵状血管瘤和动静脉畸形(AVMs),可以是脑干出血的次要原因。脑干出血是自发性脑干出血中死亡率较高的。他们报告的死亡率在47%到80%之间。
脑干出血如何治疗?外科手术是血管瘤患者一线治疗方法
在一项脑干出血研究中,回顾了25例急性自发性脑干出血患者的经验,以及手术与保守治疗的选择。出血继发于海绵状畸形4例,动静脉畸形3例,高渗危象11例,心肌梗死后溶栓治疗2例,不明原因5例。15例患者经血管造影、MRI或ct血管造影检查均排除血管畸形。11例患者因闭塞性脑积水需要脑室外引流。4例海绵状血管瘤患者和一例动静脉畸形患者均接受了病灶切除手术。2例患者临床症状好转,随访检查神经系统状况无恶化。两个病人,一个表现为AVM,另一个表现为海绵状血管瘤,接受了放射外科治疗。其余患者保守治疗。本组全部患者均有残留神经功能缺损;在本报告发布时,已有8人死亡。结论:对于血管瘤的患者,外科治疗是一线治疗方法。血管瘤的症状表现为神经系统状况恶化和表面损伤。
脑干出血要手术吗?
对于这个问题,作为国际神经外科联合会(WFNS)教育委员会现任主席,国际神经外科学院创始会员,欧洲神经外科杂志《Neurosurgical Review》主编,德国巴特朗菲教授曾表示:我认识一个海绵状血管瘤的病人,现在已经快30年了。大约30年前他有过一次出血,从那以后,再也没有二次出血,针对这个情况,我们不会选择手术。但是我会建议手术的情况是,全部出血和存在神经系统问题或严重症状的病人,可能是二次出血,也可能是三次出血。
如果病人不久前遇到脑干出血,他或她能手术么?或需要等待一段时间再手术么?
巴特朗菲教授表示:早期手术对病人更好。手术越早对出血后的病人越好,当然,这取决于具体情况、出血的大小和病人的神经系统状况。但是等待,正如有时会被许多医生的那样,并不好,因为经过长期的等待,在较初的一次出血之后,会形成一个局部疤痕,而这个疤痕的形成实际上阻碍了一个好的手术,这使得手术更困难,更危险,甚至有时阻碍完全切除病变。另一个重要的因素是,在出血的早期阶段,出血或多或少仍是一种液体。所以当我们通过手术打开出血区的脑干时,血液可以被冲出去,这在手术中有用。如果我们等几周,血液就会凝结,变得更僵硬,更难以清楚。
巴特朗菲教授6次脑干出血案例一则
病史:黄女士,年龄50+岁,肢体无力、面部麻木、构音障碍,10多年脑干海绵状血管瘤病史,既往共发生5次脑干出血。3度因出血引起生命垂危入住ICU治疗60多天,有高血压病史

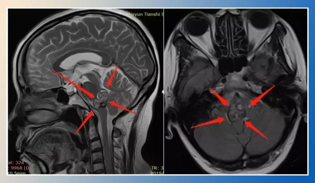
1、术前诊断:脑干脑桥海绵状血管瘤,6次脑干出血活动期,压迫四脑室
2、手术医生:德国INI国际神经学研究所巴特朗菲教授
3、手术结果:显微镜下全切肿瘤,肿瘤切除历时约1.5小时,手术顺利。
ICU治疗时间:1天,可完全自主呼吸,术后2天拔插管并转出ICU病房。
术后48小时内MR复查显示肿瘤全切

4、出院时间:术后2周
术后功能状态:术后一周,患者能独自下床、少量活动,面部麻木消失,一侧头部麻木感较手术前好转,发音较术前好转,无其他手术相关并发症,术后10天左右顺利拆线,术后2周出院。
INC国际神经外科医生集团提醒:脑干出血大多预后较差,在选择医生团队方面需谨慎。
- 文章标题:脑干出血是什么原因造成的?
- 更新时间:2020-05-26 14:17:17
400-029-0925




