颅咽管瘤曾被称为“较可怕的颅内肿瘤”,颅咽管瘤由于毗邻人脑两大内分泌中枢——下丘脑和垂体,附近还有视神经、颈动脉、视神经等复杂结构,稍有不慎将严重损害病人的生理功能。手术风险太大,难度较高。
国际卫生组织(WHO)称之为“颅内因为解剖因素而不能治愈的呈恶性结果的良性肿瘤。”换句话说就是:这种良性脑瘤本该能治好,却因位置不同而较难切除,较易造成病人的终身残疾甚至死亡。

两位西方神经外科教授Harvey Cushing和Mahmut Gazi Yasargil分别说过:“颅咽管瘤是神经外科医生较困惑的难题”、“神经外科医生应尽较大努力去完整切除颅咽管瘤”
的神经外科医生们不断尝试,甚至把全部对恶性肿瘤治疗手段都用上,治愈率依然低。肿瘤切不干净很快就会复发,放化疗只能作为辅助手段,需做根治性手术才能治愈。在中国,情况和国际上情况类似,接受根治性外科治疗的病人不到20%。
手术是治疗颅咽管瘤的主要手段。颅咽管瘤的手术治疗需要在充分保护垂体-下丘脑功能及视路结构的前提下地追求全切除方能治愈。对于严重侵犯下丘脑结构的颅咽管瘤,手术中对三脑室壁结构与肿瘤间形态学关系的充分辨识至关重要,可较大限度地提高其全切除率。如果术后肿瘤残留,在充分告知患者放疗并发症(导致内分泌水平下降、导致再次手术困难等)的前提下,放疗是可能的选择。因为治疗策略与手术水平的不一,因此,不同报道的复发率、生存率、垂体-下丘脑功能、生存质量等也差别较大。

颅咽管瘤手术治疗要点
基本原则:
手术是颅咽管瘤主要的治疗手段,应在充分保护垂体-下丘脑功能及视路结构的前提下追求全切除,这是确定患者无瘤长期生存的基础。
外科学分型与手术入路
国内外学者根据解剖位置、与视交叉关系、对三脑室底推挤的程度等对颅咽管瘤进行分型。例如Yasargil等、Wang等及Steno等使用的鞍下或鞍上型,脑室内或脑室外型肿瘤;Hoffman使用的视交叉前或视交叉后型肿瘤;Kitano等使用的视交叉下型肿瘤;Kassam等使用的漏斗部前、穿漏斗部和漏斗部后型肿瘤;以及一些学者基于起源位置和周边膜性结构关系提出的QST分型。肿瘤的分型可以解释肿瘤的位置以及生长模式,能为手术入路的选取提供帮助。颅咽管瘤是一种起源于脑实质外的肿瘤,但是会凸入脑实质生长。
颅外入路(经蝶、扩大经蝶等)、经颅入路(经翼点、扩大翼点等)、经颅经脑入路(经终板、胼胝体、侧脑室等)均被用于肿瘤切除。手术医生应该根据不同分型的颅咽管瘤,在不同入路的优势和使用不同入路的代价之间进行权衡,选择较佳预后的入路。
Q型肿瘤
Q型起源于鞍膈下,为鞍内、鞍内鞍上型,可以经颅或经蝶进行手术。
Q型肿瘤起源于鞍隔下的垂体柄鞍膈下段或垂体中间叶。肿瘤往往通过鞍膈孔凸向鞍上生长,鞍膈或部分鞍膈向上膨隆,鞍隔的位置常有雪人症。肿瘤的主体大部分在鞍内,蝶鞍往往会扩大,肿瘤有时会凸向海绵窦生长。肿瘤周边均仍可见基底蛛网膜及鞍膈形成的环形,垂体柄中上段完整,下段可被肿瘤压迫变形。
S型肿瘤
S型起源于垂体柄蛛网膜袖套内,为鞍上脑室外型,可经颅或经蝶进行手术。
S型肿瘤源于鞍膈上,位于垂体柄蛛网膜袖套外及袖套间段。肿瘤主体在蛛网膜腔内生长,鞍膈有时会被推向下方,当鞍膈孔较大时,肿瘤可以凸入鞍内生长,但是蝶鞍不扩大,鞍内可见神经垂体和腺垂体存在。术中可见鞍膈和基底蛛网膜位于肿瘤下方。肿瘤向上生长时,可以将三脑室底部向上推移。该型肿瘤可分累及单个脑池和累及多个脑池的肿瘤。
T型肿瘤
T型起源于结节漏斗部,为结节漏斗型,建议选择经颅或经颅经脑入路,部分可选择经碟入路。
T型肿瘤起源于垂体柄结节漏斗部,位于疏松部袖套内段,肿瘤与结节漏斗部相连广泛。结节漏斗部的结构往往被推挤变形,MRI上难以辨认。三脑室内膜在肿瘤的上方,liliequest膜的间脑叶和三脑室底内层蛛网膜在肿瘤下方,将肿瘤与脚间池隔开。当liliequest膜较为稀疏时,肿瘤可凸入脚间池内生长。术中可发现垂体柄的中下段存在。当肿瘤为穿垂体柄型,垂体柄被扩张开,术中保留的垂体炳呈喇叭状。由于蛛网膜结构的个体差异较大,肿瘤的生长方式较为多样。
对于侵入脑实质较多的肿瘤,是高度超过中间块或超过前交通动脉1 cm的,建议选择经颅经脑入路。复发的患者或接受过放疗的患者,建议采取经颅联合入路。
神经内镜技术的相对优势
1、相比起显微镜手术,神经内镜有好的照明,视野好
2、无需牵拉重要的脑组织,术后反应轻
3、可以与显微镜同时操作切除肿瘤,操作方便简单
4、微创技术,患者恢复更快
综上,采用内镜经鼻入路切除颅底肿瘤具有诸多优势,可适用于脊索瘤、垂体瘤、颅咽管瘤、拉克氏囊肿、鞍结节脑膜瘤、海绵窦肿瘤、三叉神经鞘瘤等病例。
选择开颅还是经鼻内镜,需考虑以下因素
1、肿瘤的累及范围,若肿瘤居于中线,外侧在颈内动脉分叉部以内,则适合经蝶手术;若肿瘤明显向侧方生长,则建议开颅手术;少数肿瘤累及分叉部外侧,范围较小且该部分为囊性的病灶,经蝶手术也有全切机会。
2、手术通道:经蝶手术主要利用垂体与视交叉间的间隙,若术前矢状位磁共振提示该通道空间充分,则可经蝶手术;针对三脑室型颅咽管瘤,该通道狭小,部分学者采取视交叉上间隙亦可切除肿瘤,但手术难度较高。
3、肿瘤毗邻关系,若肿瘤完全包饶血管、神经等重要结构,或开颅术后复发者与周围结构黏连复杂,则经蝶手术难度更大,选择开颅手术可控性更高。
4、肿瘤质地、血供等因素,对实质性、质地韧、血供丰富的肿瘤,经蝶手术需要更高的手术技巧,应根据术者自身经验进行选择。
颅咽管瘤手术关键
颅咽管瘤切除术的关键是肿瘤与下丘脑-垂体柄及下丘脑组织之间关系的明确与辨识。肿瘤与颅内正常结构之间存在蛛网膜、软脑膜以及胶质反应层界面。在这些界面分离肿瘤不容易损伤正常神经组织及Willis环的细小分支血管。肿瘤的钙化需要经过仔细的锐性分离,多数情况下只要在直视下锐性分离就能顺利地全切除。尽量识别和保留垂体柄,垂体柄的保留程度直接影响到术后内分泌紊乱的发生率和严重程度,术中垂体柄的辨认与保护可以作为下丘脑保护的标志性结构,应寻找和保护。根据术前影像学表现判断垂体柄的位置,术中根据垂体柄与不同类型肿瘤的关系,尽可能多地或完整地保留垂体柄,可减少和减轻术后尿崩症。
复发的处理
颅咽管瘤全切除后仍有的复发比例,次全切除、部分切除即使辅助放化疗后复发仍不可避免。肿瘤复发后,容易导致内分泌功能障碍、视力下降甚至失明。所以颅咽管瘤患者要及时复查,以避免或减少肿瘤复发导致的各种神经功能障碍。复发颅咽管瘤的生长方式与原发肿瘤的生长方式密切相关。对于鞍内起源的Q型肿瘤,对蝶鞍内肿瘤包膜的不完全切除,是容易导致肿瘤复发的原因。对于结节漏斗部起源的T型肿瘤,为保护下丘脑结构,容易导致肿瘤残存,这部分患者也比较容易复发。复发颅咽管瘤可以在不加重内分泌障碍的基础上再次手术,建议再次全切除术治疗。建议选择有利于全切除肿瘤的入路进行手术,以更好地暴露肿瘤,并且避免在处理前一次手术造成的粘连而浪费过多的时间和精力。多次复发又难以全切除的患者可选择放射治疗。
INC国际教授内镜下全切颅咽管瘤两则
INC国际神经外科医生集团旗下国际神经外科顾问团(WANG)囊括了众多以高超技术手法和丰富成功案例的国际教授,比如国际神经外科联合会(WFNS)颅底手术委员会前主席法国Sebastien Froelich教授、国际神经外科学会联合会(WFNS)内镜委员会前主席Henry W.S.Schroeder教授等,在此特别节选INC国际教授之颅咽管瘤神经内镜下经鼻切除手术的两则经典案例,供参考。
案例1
72岁,颅咽管瘤,缓慢进行性精神衰退
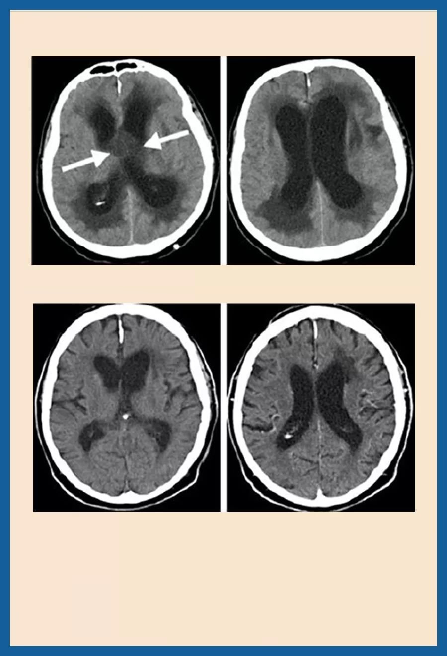
术前CT:显示大的囊性颅咽管瘤,伴有闭塞性脑积水。三脑室中囊性肿瘤的脑室系统大大增大。
手术方法:小钻孔神经内镜下肿瘤微创切除术
术后情况:肿瘤被完全切除。脑积液循环恢复正常,术后患者恢复地很好,记忆障碍消退,垂体功能保留。

案例2
57岁,高度视力丧失、视野受限,颅咽管瘤。眼科检查显示左侧0.1和右侧0.2的视力以及高级双时间偏盲。
术前MRI:不对称的对比吸收性鞍上病变。
手术方法:神经内镜下颅咽管瘤微创切除术
术后情况:术后14天视野确定已经显示出外部边界的明显好转。视力右侧为1.0,左侧为0.9。短期尿崩症也已完全消退。术后一年MRI显示完全肿瘤切除,保留垂体姿势和脑下垂体。手术后2年,没有复发性肿瘤。

以上两例颅咽管瘤都得到了完整切除,且术后恢复良好,并发症少,垂体功能得到了较大水平保留,这对于医生而言,堪称为颅咽管瘤切除术的典范,对于患者而言,较高的切除率以及较大的顺利性是患者获得良好术后生活质量和长期生存的重要保障。
关于INC国际教授
法国Sebastien Froelich(中文名:福洛里希)教授

擅长领域:擅长神经内镜鼻内入路的颅底肿瘤切除,针对垂体瘤、脊索瘤、颅咽管瘤等复杂脑肿瘤等采取神经内镜下颅内高难度位置的微创手术。其的内镜手术“筷子”操作方式不止提高了肿瘤的切除率,更是使肿瘤患者有了更好的预后效果。
德国Henry Schroeder教授

擅长领域:内镜神经外科(脑积水、囊肿、脑室内病变);内镜颅底手术(脑膜瘤、前庭神经鞘瘤、表皮样囊肿);鼻内镜颅底手术(垂体瘤、颅咽管瘤等);微创神经导航脑颅内手术;周围神经手术;癫痫手术等,擅长神经内镜下单鼻孔垂体瘤的微创手术治疗。
INC国际神经外科医生集团总结,随着内镜设备、器械和经鼻手术技巧的不断进步和提高,国内外越来越多的神经外科医疗中心开始使用内镜经鼻手术方法切除颅咽管瘤。近年来,随着手术经验的积累和手术相关设备的进一步改进,内镜经鼻切除颅咽管瘤的适应范围不断扩大,手术质量稳步提高。得了颅咽管瘤,不管是选择开颅手术还是经鼻内镜手术,建议寻求在该手术领域具有丰富成功经验的专家进行,这是保障术后生活质量和相关功能的重要因素。
参考资料:
1、Jörg-Christian Tonn,David A.Reardon,James T.Rutka,Manfred Westphal.Oncology of CNS Tumorsy.2019
2、颅咽管瘤治疗专家共识
- 文章标题:颅咽管瘤有多难缠?但竟可以不用开颅手术,经鼻腔就能切除!
- 更新时间:2023-12-11 10:57:31
400-029-0925




