INC国际儿童脑瘤大咖、世界小儿神经系统专业杂志《Child´s Nervous System》现任主编Concezio Di Rocco教授发表研究《Adamantinomatous craniopharyngioma:evolution in the management》(造釉细胞型颅咽管瘤:治疗策略的演变),以下是研究简述。
01
PART
研究背景
尽管小儿神经外科持续进步,造釉细胞型颅咽管瘤(AC)因毗邻视通路、垂体、下丘脑及Willis环,治疗后仍可导致严重内分泌、认知及神经功能损伤,影响生存质量(QoL)。QoL重要性推动AC治疗策略演变。本文通过历史回顾分析AC治疗里程碑及当前主要方案。
02
PART
研究方法
综述相关文献,对比历史与近期病例系列。
03
PART
研究结果
AC治疗分为三个时代:
1.Cushing时代:聚焦安全手术及入路探索;
2.显微镜时代:技术飞跃实现高切除率与控制率,但QoL改善有限;
3.当前时代:手术与辅助治疗整合,肿瘤控制率稍降但QoL显著提升(总生存期持平)。
作者对比两组患儿:历史组(52例,1985–2003年,积极手术)与当前组(41例,2004–2021年,综合治疗)。两组在复发率、手术死亡率及总生存期无显著差异,但当前组术后全垂体功能减退、肥胖及视力恶化率显著降低。
04
PART
研究结论
根治性手术可实现良好肿瘤控制,但永久性并发症风险高。综合治疗策略虽复发率较高,却能同等控制肿瘤并提升QoL。经鼻/脑室内镜、质子疗法及AC囊肿管理的进步是改善预后的关键因素。

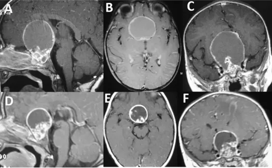
一名11岁男童的巨大颅咽管瘤。
请注意在钆增强T1序列上可见大型强化囊性成分(图A、B、C),其范围延伸至前、中、后颅窝。同时存在明显的双侧脑室积水(图A–E)。在FLAIR序列上,囊液信号较脑脊液为高(图D)。需要注意的是,肿瘤的实质成分仅占一小部分(图E,箭头所示),但其累及Willis环区域(图F,星号所示)。

5岁女童颅咽管瘤(AC)的T1加权MRI扫描显示:矢状位(A)、轴位(B)和冠状位(C)序列均可见鞍区存在较小的实性肿瘤成分;同时观察到巨大的鞍上/第三脑室囊性病变,其范围显著超出实性部分。
治疗后随访结果(图D-F):经过3个周期的腔内治疗(IA)后,2年复查的同一序列MRI显示:疾病控制良好,囊肿体积明显缩小;囊壁仍保持较厚形态,且呈现"僵硬"外观,提示纤维化改变可能。

图2同一病例的术中视图(该儿童在8岁时接受手术,即腔内治疗(IA)后3年,因肿瘤初步再生而进行)。尽管已抽吸囊液(A、B、C),肿瘤包膜仍呈现纤维化、增厚,且与周围结构粘连紧密,难以分离;囊液移除后包膜并未塌陷(D、E、F)。这一情况使肿瘤切除手术更为复杂(G、H、I)。

7岁女童的T1加权MRI平扫(图A)及钆对比剂增强扫描(图B)显示存在颅咽管瘤(AC)。增强后可见肿瘤实性部分强化,囊性成分呈典型表现。
介入治疗后影像(图C、D)在导航引导下放置囊内导管并抽吸出典型"机油样"囊液后,复查MRI(图C、D)显示:囊肿体积显著缩小,周围受压结构(如视通路、第三脑室)获得有效减压;囊壁仍可见残留强化,但占位效应明显缓解。
长期随访结果(图E、F)末次随访(4年后,完成3周期腔内治疗/IA后)的CT扫描(图E、F)证实:囊性成分基本消失,仅残留小型、钙化的鞍内肿瘤实性部分;未见囊肿复发或进展征象,提示病情长期稳定控制。
05
PART
关于作者



Di Rocco教授一生撰写或参与撰写的儿童神经外科部分著作
- 文章标题:【INC国际大咖研究成果】造釉细胞型颅咽管瘤:治疗策略的演变
- 更新时间:2025-10-27 13:43:39
400-029-0925




