丘脑海绵状血管瘤严重吗?当海绵状血管瘤涉及到丘脑,会引发一系列的症状从而导致患者陷入危险,因为丘脑本身就是很多关键神经功能的神经核团所在,周边也几乎都是重要功能区:如肢体运动、视神经传导通路,高级认知神经功能及脑干。丘脑海绵状血管瘤是相对少见的病变,由于其位置深在,并且毗邻重要的解剖结构,手术切除挑战较大、术后并发症风险很高,有可能导致毁灭性的神经功能缺损。但丘脑海绵状血管瘤与丘脑胶质瘤不同,其是良性病变,并且与正常丘脑、中脑有相对的界限。尽管手术难度很大,如选择适合的手术入路并结合娴熟的显微神经外科手术技巧是可以全切肿瘤并获得良好疗效的。而且早期手术可提供良好的临床效果,并消除未来出血的风险。
但是因为丘脑涉及的神经核团过多,所以丘脑海绵状血管瘤手术难度大,术中失之毫厘,都可能伤及关键功能,给患者造成毁灭性打击(偏瘫,视野缺损,失语,昏迷等)。如果想要成功顺利切除丘脑海绵状血管瘤,那就需要寻找经验丰富、技术过硬的主刀医生操刀手术。在国内,关于丘脑海绵状血管瘤的手术资料至少,一是因为丘脑海绵状血管瘤比较少见,患病人群少,二是因为丘脑等疑难位置对于国内大部分地区医疗水平来说依然是手术难度很大,那如果不幸罹患丘脑海绵状血管瘤,可以手术治疗吗?怎么治疗才能争取更好的预后结果。
丘脑海绵状血管瘤可以手术吗?随着神经外科各种技术的发展,目前对于经验丰富的神外教授来说,脑海绵状血管瘤无论位于皮层或皮层下功能区,以及其他功能重要的区域,如基底节区和丘脑,或位于三脑室、胼胝体和扣带回、脑室旁以及深部颞区等,在全部这些位置的病灶都可以顺利地尽全切除,效果良好,发病率低。INC德国巴特朗菲教授作为颅底教授,更是早在上个实际九十年代就已经进行了成功的丘脑海绵状血管瘤成功顺利全切的案例,下面给大家交流这则经典案例,希望能够帮到各位病友。
INC德国巴特朗菲丘脑海绵状血管瘤手术成功案例交流
上世纪90年代,德国当地的的一位42岁女教师Bella因头痛、呕吐前往医院检查。一开始的治疗并不顺利,当地医院的医生只是简单开了一些药物。服药一段时间后并无好转,Bella在上课时甚至发现自己学生出现了影子,书本上的字也模模糊糊,随即咨询到巴教授所在的医院。这个时候核磁共振影像技术(MRI)才开始应用于临床,很多医院甚至都没有普及。起初Bella甚至抵触这种检查方式,认为会有辐射。然而在医生的解释下,才同意检查。经过检查和研究发现竟是丘脑海绵状血管瘤,Bella双丘脑海绵状血管瘤导致Monro双孔脑脊液阻塞、颅内压升高,由于由于脑脊液通路在Monro孔、Sylvius导水管受阻。

而此时的巴特朗菲教授正潜心于脑干、丘脑、基底节区等深在位置的海绵状血管瘤手术研究。Bella从其他医生那得知后,便请巴特朗菲教授为其手术。然而在当时的条件下,即使是巴教授也不能全切确定手术可以顺利无虞。巴教授表达到:我会力求每一招每一式都尽力做到细致,做到全切肿瘤的同时较力避免任何神经功能损伤。此时的巴教授虽然才40多岁,已经展现出神经外科惊人天赋。
Bella双丘脑海绵状血管瘤导致Monro双孔脑脊液阻塞、颅内压升高。由于由于脑脊液通路在Monro孔、Sylvius导水管受阻,因此需要先放置脑室-腹腔分流术治疗梗阻性脑积水。在随后的手术中,巴特朗菲教授最终通过经胼胝体入路全切病变,手术成功,无其他任何神经功能缺损。

显微外科技术(巴教授在手术室)

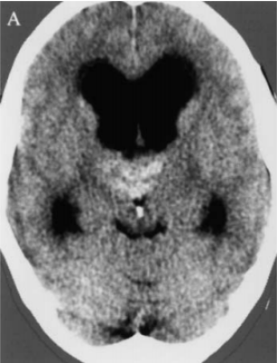
术后颅脑CT
术后的Bella一个月后就回到校园,回到她热爱的岗位,教书育人,如常……Bella在课堂上交流了自己的治病经历:我经历的这场较大考验的开颅手术成功了,太神奇了,我没有任何并发症。
发展到今天三十年后,神外领域发展日新月异,各种手术设备更加完善,各种手术入路的经验也更加丰富,所以大家如果不幸罹患了脑瘤,不要放弃信心,寻求国际前沿咨询进行治疗,希望三十年前这位德国教师的案例能够给广大病友更多的信心。
- 文章标题:丘脑海绵状血管瘤严重吗?INC德国巴特朗菲丘脑海绵状血管瘤手术成功案例交流
- 更新时间:2022-05-13 18:07:24
400-029-0925




