
10月底,一位特殊的患者发来最新的随访报告和她的日常近况,她告诉我们术后2年一切安好! 说她特殊是因为过往来INC咨询的患者是为了更好的生,而她不仅为了自己的生,更是为了迎接新的...

脑干,被称为人体的生命中枢,这里布满关键神经和血管,哪怕毫米级的病变都可能危及生命。 杜先生的脑干桥脑里,就藏着一颗不断长大的海绵状血管瘤,两度出血让他从复视走向肢体瘫痪...

在神经外科领域,脑干海绵状血管瘤被视为一颗不定时炸弹。36岁的Jack便是一位与这种疾病抗争三年的患者。 更特殊的是,他的病灶分布在基底节、小脑及中脑多个关键区域,医学上称为多发...

11月,又一位延髓海绵状血管瘤患者带来好消息 术后5年一切良好! 时光飞逝,距离INC巴特朗菲教授为严女士成功手术已5年有余。刚刚结束欧洲之旅的她,生活从容自在、充实丰盈。曾经害怕出...

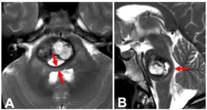
有没有药物可以先控制下 做不了手术,能不能放疗一下 脑干海绵状血管瘤手术风险大,可以选择放疗或者药物治疗吗?46岁女士突然感到左侧面部麻木。检查显示大出血性轴内桥脑海绵状血管...

得了脑干海绵状血管瘤,还能怀孕吗?要不要先做手术?这是2年前萱萱和丈夫曾反复纠结的难题。 而近日,我们收到了萱萱的好消息:她在2023年9月接受了巴教授的手术治疗后,不仅恢复如常...

对于神经外科医生而言,处理位于脑干、脑功能区等手术禁区的海绵状血管瘤已属挑战,而当这一情况与妊娠期相遇时,临床决策的复杂性更是呈指数级上升。 因为孕期激素变化可能会增加出...

海绵状血管瘤(CMs)是一种可导致反复出血的血管性病变,可能引起严重的神经功能损害甚至死亡。脑干海绵状血管瘤占颅内海绵状血管瘤的20%,且已知其年出血率显著高于其他颅内海绵状血管...

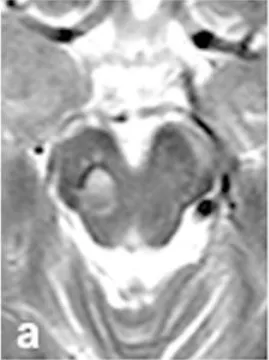
海绵状血管瘤在人群中少见,尤其脑干(包括中脑、桥脑和延髓)的海绵状血管瘤,大多数面对脑干海绵状血管瘤都是望而却步。 20岁大学生中脑海绵状血管瘤突发昏迷 术前MRI 20岁大学生,情...

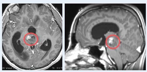
江先生已经经历过一次脑干海绵状血管瘤的出血,症状轻微,很快便缓过来,虽然心有隐隐的不安,但也照常生活着。 可第二次出血突如其来,剧烈头痛、视力模糊、肢体麻木无力等症状,甚...