
多多是个7岁的小学女生,第一次出血来的很突然,诊断为中脑海绵状血管瘤之后,父母甚至还没有来得及消化这个事实,第二次出血再次突袭,多多的症状迅速加剧,差点永远睁不开单侧眼睛...

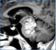
我再也不能打篮球了吗?这是16岁的诺亚被确诊为脑干桥脑海绵状血管瘤后,问医生的第一个问题。 两个月前,他还是球场上的风云人物,场边总是有很多粉丝为他欢呼,而如今却连平稳走路都...

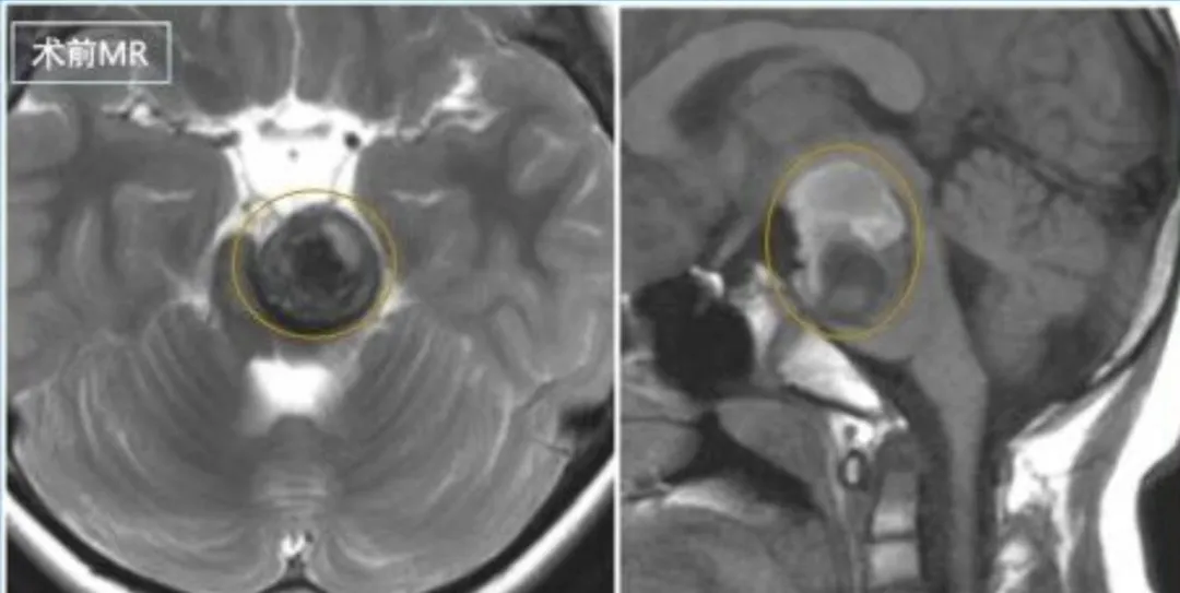
脑干手术成功率多大? 偏瘫、走路不稳、脸歪口斜,我从没想过我的脑干海绵状血管瘤会让我情况如此严重。当医生指着我的影像告诉我,我的血管畸形已经长得非常大时。看着那个感觉都要...

无症状脑海绵状血管瘤的治疗该何去何从? 欧女士就曾面临这样棘手的问题,对她而言,做手术,风险很大;不做手术,可能会引发癫痫万一哪天出差时犯癫痫,在飞机上、或者在在客户面前...

当孩子确诊脑干海绵状血管瘤那天,我感觉天都塌了。 直到现在,我还能清晰想起2020年那个初秋的下午,医生把CT片递到我手里时的场景窗外的阳光明明很暖,我却觉得浑身发冷,手里的片子...

为什么运动对脑血管如此重要? 在我们的大脑中,有着密密麻麻的血管网络,这些血管为大脑输送氧气和营养,维持着我们的思维、记忆和意识活动。 随着年龄增长,这些血管会逐渐老化、变...

在生命最灿烂的时刻,遭遇突如其来的疾病,是一种怎样的体验? 作为一名才华横溢的设计师,38岁的张先生正处在人生巅峰作品获业内认可,家庭幸福美满。然而一阵莫名头晕和右手不受控的...

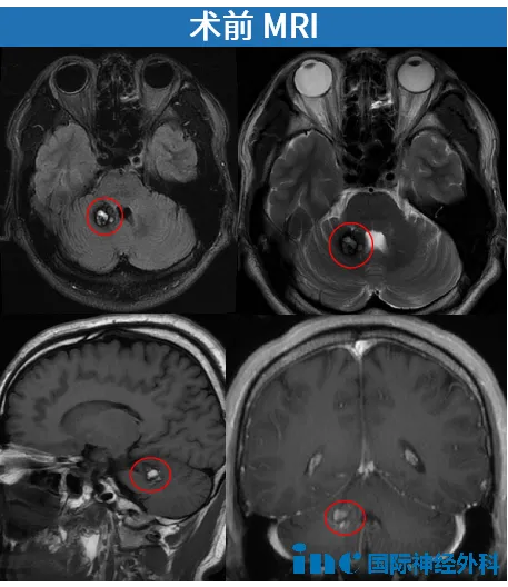
当延髓占位性病变大出血ICU这些冰冷的医学词汇,突然与自己的生命绑定,那种恐惧与无助,或许只有亲历过的人才懂。 Lisa自2009年查出患有延髓脑桥海绵状血管瘤时因为没有症状所以选择了保...

人生步入巅峰是一种怎样的体验?27岁的凯文和朋友创业,成功挣到了人生的第一桶金,但在这光辉的背后,却是熬夜编程、废寝忘食、过度劳累。10年后,曾今的小公司已经成长为行业内知名...

还有人受困于三十而立吗?30岁了,该有体面的工作、有房子、有结婚对象,但,必须这样吗? 30岁了,我好像一切都没有变好,脑子里面还查出两个海绵状血管瘤。人家都是好运加倍,我这不...