
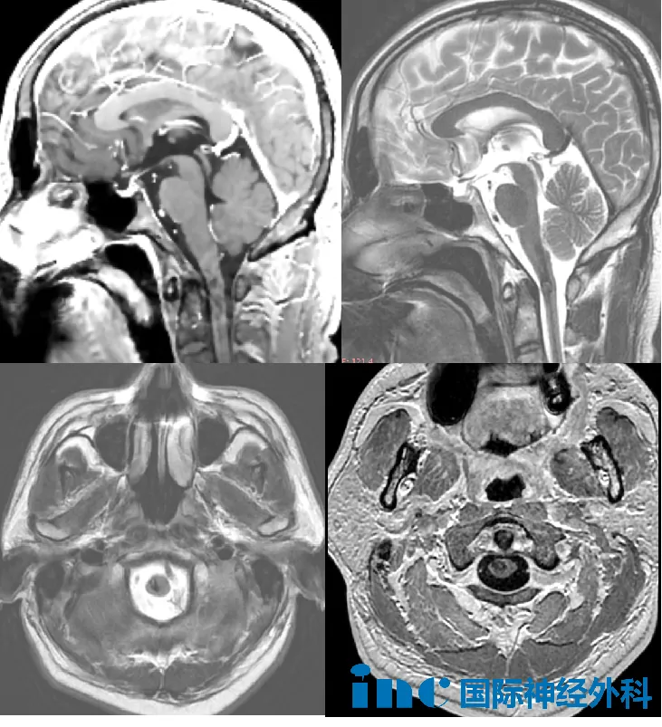
凌晨两点的急诊室,郑先生躺在病床上,身体像被灌了水泥,连抬一下手指都做不到。妻子递来的温水,他含在嘴里却咽不下去这种想动不能动、想咽咽不下的绝望,源于一场毫无预兆的颈痛。...

要么等出血丧命,要么手术有概率瘫痪,一颗深埋于生命禁区的炸弹让王女士曾站在这样的绝境里进退不得。 从2008年起,她隐忍,她挣扎,直至2021年,一场跨越国界的手术为她破局。四年后的...

舌头、手脚发麻、晨起天旋地转,以为是年纪大了的小毛病,没想到差点瘫在病床上回想两年前的那段经历,柯阿姨仍心有余悸。 柯阿姨68岁, 右侧基底节海绵状血管瘤 反反复复的小毛病 竟是...

5年内,她两次脑干出血,整个人从上到下,几乎没有舒服的。我真是被脑干出血害惨了!可罪魁祸首,真的仅仅是脑干出血吗?殊不知,造成这一切的,是一个直径不到2厘米的纽扣海绵状血管...

我怎么突然就这样了?小雨拿着诊断书难过又无助。 前天因为视野狭窄变模糊和持续性头痛,小雨和家人紧急就医,诊断结果却令一家人陷入绝望丘脑海绵状血管瘤伴少量出血。这个陌生的病...

凌晨三点的ICU,心电监护仪的滴声是唯一的节奏。黄女士的气管插管连接着呼吸机,每一次机械送气都带动着她单薄的胸膛起伏。 在中国,脑干出血的死亡率高达60%-70%。而黄女士,已经经历了...

正在和朋友玩耍的小琪突然四肢紧绷、双眼上翻,全身肌肉剧烈抽搐。这半年来已经数不清有多少次癫痫发作了。而折磨小琪的元凶,竟是一个深藏在她大脑左额叶、直径达5厘米的巨大海绵状...

呼啸而过的救护车在医院门口紧急停下,抬出一位病情危急的年轻女孩:让一让!脑干出血,快送ICU!人群自动排开一条通道,纷纷为这名病情危急的女孩捏一把汗。 然而,直到医生及家属看...

头痛、复视、右肢无力两次脑干出血,让19岁的身体被迫进入瘫痪倒计时。是保守治疗?还是手术? 在翻阅无数脑干海绵状血管瘤文献资料后,有个名字如同晨曦照亮她的眼睛, 如果赌注是瘫痪...

8年了,医生一直跟我说 手术会瘫痪,我才不得不保守观察 ,没想到这期间4次脑干出血,直接把我弄成了残疾人。今天, 我终于彻底摆脱这个肿瘤,能正常行走 ,再也不用坐在轮椅上了! 这是...