孩子长时间坐在电视电脑前,家长普遍都会担心孩子的视力问题,聪聪爸爸也不例外。一开始,眼科医生也怀疑孩子的斜视问题是看电视看多了,没想到,真相却令家人大惊失色:不到2岁的聪聪脑袋中竟有一颗形如桑葚的瘤子!

01.
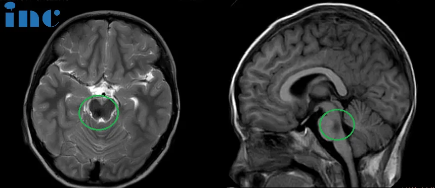
桑葚样的脑干海绵状血管瘤
被发现的契机竟是看电视
在苏州大学附属儿童医院,不到2岁的聪聪即将迎来人生第一次开颅手术。全家人焦急地等待着手术结果,作为主刀医生的巴特朗菲教授必须全切脑干海绵状血管瘤,才能为聪聪争取到最好的预后——但这绝非易事。“从核磁上可见脑桥血肿,大约16 x 22 x 21mm,第四脑室受压变窄。同时,由于脑干出血,患儿已经出现了双眼斜视、面瘫、不自主扭头、走路不稳等症状,但家属可以放心,我有信心安全全切。”

说起一个多月前的事情,聪聪父亲仍记忆犹新。起因是太太在孩子看电视时拍摄的一个视频,可以明显观察到儿子的斜视。为保险起见,两人带孩子挂了眼科,医生猜测可能是因为电视看多了,才造成了斜视。
就在这件事逐渐被淡忘时,在一次聊天中,聪聪父亲向医生友人偶然提起,于是,朋友建议他带孩子做一个脑部筛查,真相就此揭开。“我们在医院做了一个核磁共振,拍出来果然是脑部的问题。当时我都惊呆了,我以为是胶质瘤,结果医生告诉我是脑干海绵状血管瘤。”
此时的孩子除了斜视,还出现了更加明显的异常:面瘫、不自主扭头、走路不稳……尽管此时聪聪已住院等待治疗,但一家人心头的担忧不减反增:“我们也咨询了一些其他的医生,告诉我这个风险特别高,很难两全。什么叫两全呢?就是既能把东西移除,又能取得不错的身体机能。”
住院期间,家人也并没有停止咨询,最终在病友的推荐和二人的了解下,聪聪家人决定联系巴特朗菲教授,这才有了开头的手术。
经过漫长的等待,手术取得巨大成功,不仅全切病灶,术后第二天转回普通病房时,聪聪术前症状基本消失。

“孩子大概在医院待了一个星期就出院了,当时他在我车的后座里面就比较活泼,蹦蹦跳跳。除了还没拆线,后面也不用吃药,也不用康复治疗。我觉得这已经是最大的幸福了。”
术后4年多过去,已经上幼儿园中班的聪聪热爱运动、喜欢交朋友,俨然是校园里的小明星。聪聪家人十分感慨:“孩子现在运动功能完全没有影响,而且他在同龄人里面运动能力算是比较好的。他特别喜欢打篮球、做运动、交朋友,什么都喜欢。这个事基本算是过去了。”
02.
孩子出现这些症状
家长更要引起重视
海绵状血管瘤(CMs)是一种可导致反复出血的血管性病变,可能引起严重的神经功能损害甚至死亡。脑干海绵状血管瘤占颅内海绵状血管瘤的20%,且已知其年出血率显著高于其他颅内海绵状血管瘤。脑干出血一旦超过一瓶盖的量,孩子就极有可能死亡,因此,早期诊治十分重要,家长快看看自家孩子有没有出现以下症状:
(1)运动障碍:肢体无力或瘫痪、行走不稳、动作协调性差、肌肉张力异常,影响肢体正常运动。
(2)感觉异常:面部、四肢或躯干出现麻木感、针刺感或烧灼感;对触摸、冷热等刺激的感知能力下降;可能出现局部或放射性疼痛。
(3)眼部症状:眼球偏斜、复视、眼球震颤,影响视力和视觉协调。瞳孔大小不等、对光反射迟钝或消失。
(4)平衡与眩晕:频繁眩晕,常伴有恶心、呕吐。站立或行走时难以保持平衡,易向一侧倾倒。
(5)呼吸与心率异常:呼吸困难,严重时危及生命。心跳过快、过慢或心跳节律异常。
(6)语言与吞咽障碍:说话含糊不清、语速缓慢或发音困难、吞咽困难。
(7)意识与精神障碍:嗜睡、昏迷、记忆力减退、注意力不集中、思维迟缓、焦虑、抑郁、烦躁或情绪波动大。
(8)头痛与呕吐:持续性或间歇性头痛、喷射性呕吐。
03.
JNS研究报道
首次出血后尽快手术可获益
2025年1月3日,意大利ASST Cremona神经外科等团队合作在神经外科领域知名学术期刊《Journal of Neurosurgery》上报道了32例出血性脑干海绵状血管畸形患者预后情况,并提出了此领域的手术规划实用指南。
这项研究结果表明,在首次出血后尽早进行手术可带来良好的手术效果和功能预后。在出血≥3次以及慢性期进行手术时,研究者实现了次全切除,但不得不保留病变的钙化或含铁血黄素沉积的残余部分。此外,术后神经学和功能结果与出血次数和手术时间呈负相关,这表明在出血次数尽可能少的情况下尽早手术的患者具有更高的恢复潜力。

- 文章标题:长时间看电视竟会导致脑出血?快看看你家孩子有没有这些症状!
- 更新时间:2026-01-21 10:20:16
400-029-0925




