一阵急促、嘈杂的脚步声响起,我被推着冲向急诊室。那时的我已经无法站立、情况危急。我整个人像被钉在床上,世界是倾斜而模糊的,家人焦急地跟在后面。
后来我才知道,这样的场景在神经外科,尤其是脑血管疾病中并不罕见。这里躺着的多数人,几乎都只有一只手挂在生命的悬崖边,摇摇欲坠之际,是医护人员全力以赴,一次次将他们从悬崖边拉回。
45岁这年,我的生活被脑干里一个破裂的海绵状血管瘤击得粉碎。我一度以为这个良性的海绵状血管瘤并不需要过于担心,起码不会严重出血。
但是,当我躺在那里,下不了床,身体一半不听使唤,脸是歪的——我才意识这个问题的严重性。
后来家人告诉我,我当时面部歪斜,两眼通红,眉毛一高一低,连眼睛都看起来明显的一大一小。最可怕的是,因为吞咽困难,我连一口水都咽不下去,一根鼻饲管成了我活下去的通道,维持我的营养。

医生告诉我,如果不尽快手术,我极有可能因误吸引发肺炎而危及生命——吞咽功能的丧失,使得即便使用胃管,也存在食物返流进入气道的巨大风险。
但医生说,我的病灶长在“手术禁区”,脑桥那个地方,病变已经把桥脑撑的像个气球。

脑桥位于脑干中段,上连中脑,下接延髓,作为大脑、小脑与脊髓之间的关键枢纽,承担着至关重要的沟通功能。其腹侧面明显隆起,表面沟壑纵横,内部有大量横向神经纤维延伸至小脑,负责协调大脑与小脑之间的信息传递;背侧则参与构成第四脑室底的上部,内含多个颅神经核团(如三叉神经核、展神经核等)以及上下行纤维束,共同调控面部感觉、眼球运动、听觉和平衡等多项生理功能。
此外,脑桥深部还分布有网状结构等生命中枢,对维持意识清醒、睡眠节律和呼吸功能具有重要作用。由于脑桥结构极为复杂,手术操作常需毫米级精度,过去一直被视为“手术禁区”。


好在我是幸运的,巴特朗菲教授接下了我这场“悬崖边”的手术。他为我精细清除血肿及血管畸形的同时,特别注意保护脑桥后部实质及外展神经、面神经的完整性。

术后一年,明显可以看到我的面神经和外展神经功能已基本恢复,真正的、发自内心的笑。我终于回到了从前的样子,那种摇摇欲坠的恐惧,正在被稳稳踩在脚下的踏实感取代。我知道,是教授那双神奇的手,把几乎坠崖的我,一点点拉了回来。

上述真实案例及图片来自于INC巴特朗菲教授课程演讲。
01、无法手术的脑干,巴教授如何操作?
1974年,当INC巴特朗菲教授还是一名医学生时,便对脑干的解剖结构产生了浓厚兴趣——如此狭小的区域,竟承载着如此众多的功能。自此,他与脑干结缘近五十载,并专注于脑干手术领域三十余年。

截至2025年上半年,巴教授已成功完成371例脑干海绵状血管瘤手术。患者中女性215人,男性156人,年龄从1岁到69岁不等。从病变位置分布来看,104例位于中脑,215例位于桥脑,52例位于延髓。
点击阅读:INC巴教授2025学术沙龙|370+例脑干海绵状血管瘤的前沿治疗策略

巴教授强调,手术入路的选择至关重要。针对桥脑海绵状血管瘤,他根据不同病变类型个体化选择手术入路,并在切除过程中力求保留外展神经和面神经功能。
基于桥脑解剖结构与病变复杂关系,他总结出五大手术入路,包括:经髓帆入路、经桥脑臂入路、远外侧入路、小脑上外侧入路和颞下经天幕入路。具体入路方案需结合患者实际情况及主刀医生的专业知识与临床经验综合决定。

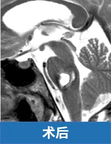
桥脑海绵状血管瘤案例

02、伽马刀可以预防海绵状血管瘤出血吗?
对于部分患者,会有这样的疑问,既然手术风险这么大,脑干海绵状血管瘤难道没有非手术的办法预防出血吗?
目前,脑干海绵状血管瘤的治疗仍完全依赖于手术干预。
多项研究指出该疗法伴随较高风险,包括再出血、永久性神经功能损伤以及辐射相关副作用。
INC巴特朗菲教授也在其研究中明确表示,目前并无明确证据支持SRS的有效性。针对患者的疑问,他明确指出:“伽马刀治疗对患者而言是一个极不理想的选择。它不仅可能带来一系列副作用,而且无法预防未来再出血——这一点已在我多个病例经验和科学文献中得到证实。因此,我可以非常明确地告诉这位患者,他不应考虑伽马刀治疗。”
此外,这种治疗方式还存在辐射诱发新发病变的显著风险,已有充分证据表明此类情况可能发生。家族性脑海绵状血管瘤或合并静脉畸形的患者尤其应谨慎对待放射治疗。
综上,目前放射治疗在脑海绵状血管瘤管理中的效果与安全性,仍需更多高质量研究予以验证。
点击阅读:丘脑海绵状血管瘤放疗竟引发出血、形成多处脑血管病变?
脑干海绵状血管瘤早期手术干预能有效消除病变未来再出血的风险。手术的全切程度与神经外科医生的经验密切相关——对于解剖的深入了解、灵活的手术策略、精湛的显微操作技巧,以及对多种手术入路的熟练掌握,均是实现安全全切的关键因素。
- 文章标题:“面瘫卧床”到“喜笑颜开”:我在脑干出血的悬崖边,被“勒马”救回!
- 更新时间:2026-01-21 09:48:59
400-029-0925




